• 文献检索
  • 文档翻译
  • 深度研究
  • 学术资讯
  • Suppr Zotero 插件Zotero 插件
  • 邀请有礼
  • 套餐&价格
  • 历史记录
应用&插件
Suppr Zotero 插件Zotero 插件浏览器插件Mac 客户端Windows 客户端微信小程序
定价
高级版会员购买积分包购买API积分包
服务
文献检索文档翻译深度研究API 文档MCP 服务
关于我们
关于 Suppr公司介绍联系我们用户协议隐私条款
关注我们

Suppr 超能文献

核心技术专利:CN118964589B侵权必究
粤ICP备2023148730 号-1Suppr @ 2026

文献检索

告别复杂PubMed语法,用中文像聊天一样搜索,搜遍4000万医学文献。AI智能推荐,让科研检索更轻松。

立即免费搜索

文件翻译

保留排版,准确专业,支持PDF/Word/PPT等文件格式,支持 12+语言互译。

免费翻译文档

深度研究

AI帮你快速写综述,25分钟生成高质量综述,智能提取关键信息,辅助科研写作。

立即免费体验

印度人群腰椎终板尺寸的放射学评估及其与不同腰椎融合技术中椎间融合器放置/长度的相关性。

Radiological Evaluation of Lumbar Endplate Dimensions in the Indian Population and Their Correlation With Cage Placement/Length in Diverse Lumbar Fusion Techniques.

作者信息

Pisal Tushar, Deshmukh Ashwin, Agrawal Rahul, Gurnani Sagar, Barosani Ankit

机构信息

Orthopaedics, Dr. D. Y. Patil Medical College, Hospital & Research Centre, Dr. D. Y. Patil Vidyapeeth (Deemed to be University), Pune, IND.

出版信息

Cureus. 2024 Jul 29;16(7):e65631. doi: 10.7759/cureus.65631. eCollection 2024 Jul.

DOI:10.7759/cureus.65631
PMID:39205725
原文链接:https://pmc.ncbi.nlm.nih.gov/articles/PMC11357736/
Abstract

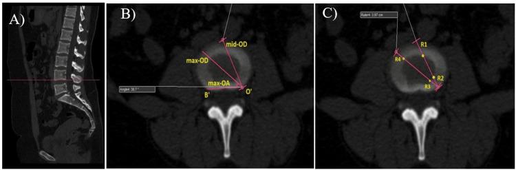
Background Lumbar fusion techniques are vital for treating various spinal conditions by promoting vertebral fusion to alleviate pain and restore stability. Given the anatomical uniqueness of the Indian skeletal structure, this study evaluates the radiological dimensions of lumbar endplates in the Indian population and their correlation with the placement and length of interbody cages used in various lumbar fusion techniques such as oblique lateral lumbar interbody fusion (OLIF), transforaminal lumbar interbody fusion (TLIF), and anterior lumbar interbody fusion (ALIF). This study aimed to conduct radiological measurements of lumbar endplates in the Indian population and correlate them with cage placement and length in lumbar fusion techniques. Methods This prospective study was conducted at the orthopaedic ward of a tertiary care center in Western Maharashtra, India. Healthy individuals (aged >18 years, either gender) selected with a 95% confidence level using Philip Core Integrity software (Amsterdam, Netherlands) were included in the study. We excluded those with a history of low back pain, previous lumbar spine surgeries, fractures, tuberculosis, tumors, deformities, degenerative diseases, or lesions affecting the lumbar spine. Quantitative measurements such as oblique and sagittal diameters, apophyseal ring widths, and interbody cage lengths were calculated using multiplanar reformatting with specific imaging parameters. Results A total of 150 individuals with an average age of 39.83 ± 14.17 years, ranging from 20 to 65 years. Among the study population, 68 were males and 82 were females. Among the male study population, oblique parameters such as Angle AOB and Mid-OD (oblique diameter) show considerable variability, with Angle AOB ranging from 51.43 ± 2.40 mm (L2 inferior) to 31.59 ± 4.25 mm (L5 inferior) and Mid-OD ranging from 41.59 ± 2.59 mm (L3 superior) to 34.38 ± 2.26 mm (S1 superior). Side-sagittal dimensions vary from 32.11 ± 2.50 mm (S1 superior) to 36.48 ±3.26 mm (L3 superior), emphasizing the need for tailored surgical planning. In contrast, females in the study population exhibit distinct anatomical profiles, with Angle AOB ranging from 52.15 ± 2.43 mm (L2 inferior) to 20.45 ± 5.45 mm (S1 superior) and Mid-OD from 33.48 ± 2.15 mm (L3 inferior) to 42.45 ± 2.59 mm (L3 superior). These findings underscore gender-specific anatomical differences crucial for individualized clinical evaluation and treatment strategies. Conclusion This study comprehensively analyzes oblique, side-sagittal, transverse, and midsagittal anatomic parameters across various vertebral levels in men and women, highlighting significant anatomical variations crucial for clinical assessments and surgical interventions.

摘要

背景 腰椎融合技术通过促进椎体融合以减轻疼痛并恢复稳定性,对治疗各种脊柱疾病至关重要。鉴于印度骨骼结构的解剖学独特性,本研究评估了印度人群腰椎终板的放射学尺寸,以及它们与各种腰椎融合技术(如斜外侧腰椎椎间融合术(OLIF)、经椎间孔腰椎椎间融合术(TLIF)和前路腰椎椎间融合术(ALIF))中使用的椎间融合器的放置和长度的相关性。本研究旨在对印度人群的腰椎终板进行放射学测量,并将其与腰椎融合技术中融合器的放置和长度相关联。方法 本前瞻性研究在印度马哈拉施特拉邦西部一家三级医疗中心的骨科病房进行。使用飞利浦Core Integrity软件(荷兰阿姆斯特丹)以95%的置信水平选取的健康个体(年龄>18岁,不限性别)纳入本研究。我们排除了有腰痛病史、既往腰椎手术史、骨折、结核、肿瘤、畸形、退行性疾病或影响腰椎的病变的个体。使用具有特定成像参数的多平面重组计算诸如斜径和矢状径、骨突环宽度和椎间融合器长度等定量测量值。结果 共有150名个体,平均年龄为39.83±14.17岁,年龄范围为20至65岁。在研究人群中,男性68名,女性82名。在男性研究人群中,诸如AOB角和中间外径(斜径)等斜向参数显示出相当大的变异性,AOB角范围从51.43±2.40毫米(L2下终板)到31.59±4.25毫米(L5下终板),中间外径范围从41.59±2.59毫米(L3上终板)到34.38±2.26毫米(S1上终板)。侧矢状径尺寸从32.11±2.50毫米(S1上终板)到36.48±3.26毫米(L3上终板)不等,强调了定制手术规划的必要性。相比之下,研究人群中的女性表现出不同的解剖学特征,AOB角范围从52.15±2.43毫米(L2下终板)到20.45±5.45毫米(S1上终板),中间外径从33.48±2.15毫米(L3下终板)到42.45±2.59毫米(L3上终板)。这些发现强调了性别特异性解剖学差异对个体化临床评估和治疗策略至关重要。结论 本研究全面分析了男性和女性不同椎体水平的斜向、侧矢状、横向和矢状中解剖参数,突出了对临床评估和手术干预至关重要的显著解剖学变异。

https://cdn.ncbi.nlm.nih.gov/pmc/blobs/a96c/11357736/1939edc297c4/cureus-0016-00000065631-i04.jpg
https://cdn.ncbi.nlm.nih.gov/pmc/blobs/a96c/11357736/33e90060bab4/cureus-0016-00000065631-i01.jpg
https://cdn.ncbi.nlm.nih.gov/pmc/blobs/a96c/11357736/289b9a481f5c/cureus-0016-00000065631-i02.jpg
https://cdn.ncbi.nlm.nih.gov/pmc/blobs/a96c/11357736/b4e07b0eb323/cureus-0016-00000065631-i03.jpg
https://cdn.ncbi.nlm.nih.gov/pmc/blobs/a96c/11357736/1939edc297c4/cureus-0016-00000065631-i04.jpg
https://cdn.ncbi.nlm.nih.gov/pmc/blobs/a96c/11357736/33e90060bab4/cureus-0016-00000065631-i01.jpg
https://cdn.ncbi.nlm.nih.gov/pmc/blobs/a96c/11357736/289b9a481f5c/cureus-0016-00000065631-i02.jpg
https://cdn.ncbi.nlm.nih.gov/pmc/blobs/a96c/11357736/b4e07b0eb323/cureus-0016-00000065631-i03.jpg
https://cdn.ncbi.nlm.nih.gov/pmc/blobs/a96c/11357736/1939edc297c4/cureus-0016-00000065631-i04.jpg

相似文献

1
Radiological Evaluation of Lumbar Endplate Dimensions in the Indian Population and Their Correlation With Cage Placement/Length in Diverse Lumbar Fusion Techniques.印度人群腰椎终板尺寸的放射学评估及其与不同腰椎融合技术中椎间融合器放置/长度的相关性。
Cureus. 2024 Jul 29;16(7):e65631. doi: 10.7759/cureus.65631. eCollection 2024 Jul.
2
Length of Lumbar Interbody Cage Using Radiological Measurements of Chinese Endplates and the Apophyseal Ring.利用中国终板和骨突环的影像学测量确定腰椎椎间融合器的长度
World Neurosurg. 2018 Aug;116:e1204-e1213. doi: 10.1016/j.wneu.2018.05.234. Epub 2018 Jun 7.
3
MRI-Based Morphometric Study Regarding Operative Windows of Oblique Lumbar Interbody Fusion in Indian Population.基于MRI的印度人群斜外侧腰椎椎间融合术手术窗口形态学研究
Indian J Orthop. 2021 Apr 7;55(Suppl 2):366-373. doi: 10.1007/s43465-021-00393-7. eCollection 2021 Jul.
4
[Case-control study on endplate injury of lumbar spine with two different intervertebral fusion methods].[两种不同椎间融合方法治疗腰椎终板损伤的病例对照研究]
Zhongguo Gu Shang. 2022 Oct 25;35(10):933-42. doi: 10.12200/j.issn.1003-0034.2022.10.006.
5
Do expandable cage size and number of cages matter in transforaminal lumbar interbody fusion at L5-S1? A comparative biomechanical analysis using finite element modeling.可扩张 cage 的大小和数量在 L5-S1 经椎间孔腰椎体间融合中是否重要?使用有限元建模的比较生物力学分析。
J Neurosurg Spine. 2024 May 24;41(2):209-215. doi: 10.3171/2024.2.SPINE231116. Print 2024 Aug 1.
6
Multicenter assessment of outcomes and complications associated with transforaminal versus anterior lumbar interbody fusion for fractional curve correction.多中心评估经椎间孔与前路腰椎体间融合术治疗节段性脊柱侧凸的疗效和并发症。
J Neurosurg Spine. 2021 Aug 20;35(6):729-742. doi: 10.3171/2020.11.SPINE201915. Print 2021 Dec 1.
7
[Comparison of clinical effect and muscle injury imaging between oblique lateral lumbar interbody fusion and transforaminal lumbar interbody fusion in the treatment of single-segment degenerative lumbar spinal stenosis].斜外侧腰椎椎间融合术与经椎间孔腰椎椎间融合术治疗单节段退变性腰椎管狭窄症的临床疗效及肌肉损伤影像学比较
Zhongguo Gu Shang. 2023 May 25;36(5):420-7. doi: 10.12200/j.issn.1003-0034.2023.05.005.
8
Minimally Invasive Transforaminal Lumbar Interbody Fusion with Expandable Cages.使用可扩张椎间融合器的微创经椎间孔腰椎椎间融合术
JBJS Essent Surg Tech. 2023 May 15;13(2). doi: 10.2106/JBJS.ST.21.00062. eCollection 2023 Apr-Jun.
9
Comparison of surgical outcomes between oblique lateral interbody fusion (OLIF) and anterior lumbar interbody fusion (ALIF).斜外侧椎间融合术(OLIF)与前路腰椎间融合术(ALIF)的手术效果比较。
Clin Neurol Neurosurg. 2021 Oct;209:106901. doi: 10.1016/j.clineuro.2021.106901. Epub 2021 Aug 21.
10
Evaluation of the location of intervertebral cages during oblique lateral interbody fusion surgery to achieve sagittal correction.斜外侧椎间融合手术中椎间融合器位置的评估以实现矢状面矫正。
Spine Surg Relat Res. 2017 Nov 27;1(4):197-202. doi: 10.22603/ssrr.1.2017-0001. eCollection 2017.

本文引用的文献

1
Comparison between OLIF and MISTLIF in degenerative lumbar stenosis: an age-, sex-, and segment-matched cohort study.OLIF 与 MISTLIF 治疗退变性腰椎狭窄症的比较:一项年龄、性别和节段匹配的队列研究。
Sci Rep. 2023 Aug 14;13(1):13188. doi: 10.1038/s41598-023-40533-7.
2
A novel method of assessment of BMD using CBCT for implant placement: A retrospective study.一种使用 CBCT 评估骨密度以用于种植体植入的新方法:一项回顾性研究。
Medicine (Baltimore). 2023 Jul 7;102(27):e34203. doi: 10.1097/MD.0000000000034203.
3
Anatomical characteristics affecting the surgical approach of oblique lateral lumbar interbody fusion: an MR-based observational study.
影响斜外侧腰椎椎间融合术入路的解剖学特征:一项基于磁共振的观察性研究。
J Orthop Surg Res. 2022 Sep 24;17(1):426. doi: 10.1186/s13018-022-03322-y.
4
Risk Factors for Subsidence Following Anterior Lumbar Interbody Fusion.腰椎前路椎间融合术后沉降的危险因素。
Global Spine J. 2024 Jan;14(1):257-264. doi: 10.1177/21925682221103588. Epub 2022 May 20.
5
Trends in lumbar spinal fusion-a literature review.腰椎融合术的发展趋势——文献综述
J Spine Surg. 2020 Dec;6(4):752-761. doi: 10.21037/jss-20-492.
6
Zygapophyseal Joint Orientation and Facet Tropism and Their Association with Lumbar Disc Prolapse.关节突关节方向、小关节面斜度及其与腰椎间盘突出症的关联
Asian Spine J. 2018 Oct;12(5):902-909. doi: 10.31616/asj.2018.12.5.902. Epub 2018 Sep 10.
7
Length of Lumbar Interbody Cage Using Radiological Measurements of Chinese Endplates and the Apophyseal Ring.利用中国终板和骨突环的影像学测量确定腰椎椎间融合器的长度
World Neurosurg. 2018 Aug;116:e1204-e1213. doi: 10.1016/j.wneu.2018.05.234. Epub 2018 Jun 7.
8
Morphometric study of the orientation of lumbar zygapophyseal joints in a South Indian population.印度南部人群腰椎关节突关节方向的形态测量研究。
J Orthop Surg (Hong Kong). 2017 Sep-Dec;25(3):2309499017739483. doi: 10.1177/2309499017739483.
9
The importance of loading the periphery of the vertebral endplate.加载椎体终板周边的重要性。
J Spine Surg. 2016 Sep;2(3):178-184. doi: 10.21037/jss.2016.09.08.
10
Lumbar interbody fusion: techniques, indications and comparison of interbody fusion options including PLIF, TLIF, MI-TLIF, OLIF/ATP, LLIF and ALIF.腰椎椎间融合术:技术、适应证以及椎间融合选择的比较,包括后路腰椎椎间融合术(PLIF)、经椎间孔腰椎椎间融合术(TLIF)、改良经椎间孔腰椎椎间融合术(MI-TLIF)、斜外侧腰椎椎间融合术/前斜外侧腰椎椎间融合术(OLIF/ATP)、侧方腰椎椎间融合术(LLIF)和前路腰椎椎间融合术(ALIF)
J Spine Surg. 2015 Dec;1(1):2-18. doi: 10.3978/j.issn.2414-469X.2015.10.05.