Suppr超能文献

革新高脂血症治疗:纳米包封辅酶Q10和硒对抗大鼠辛伐他汀诱导的肌病和胰岛素抵抗

Revolutionizing Hyperlipidemia Treatment: Nanoencapsulated CoQ10 and Selenium Combat Simvastatin-Induced Myopathy and Insulin Resistance in Rats.

作者信息

B Abo-Zalam Hagar, El Denshary Ezz El Deen, A Abdalsalam Rania, A Khalil Islam, M Khattab Mahmoud, A Hamzawy Mohamed

机构信息

Department of Pharmacology and Toxicology, Faculty of Pharmacy, 6th of October University, 6th of October, Giza, Egypt.

Department of Pharmacology and Toxicology, Faculty of Pharmacy, Cairo University, Cairo, Egypt.

出版信息

Adv Pharm Bull. 2024 Jul;14(2):364-377. doi: 10.34172/apb.2024.010. Epub 2023 Sep 23.

Abstract

PURPOSE

The objective of this study was to develop a nanoencapsulated platform for coenzyme Q10 nanoparticles (coQNPs) or selenium nanoparticles (SeNPs) and explore their potential therapeutic benefits in treating hyperlipidemia and combating simvastatin (SV)-induced myopathy and adverse reactions in hyperlipidemic rats.

METHODS

The physical and chemical properties of the solid nanoparticles, coQNPs, and SeNPs were characterized, including zeta potential studies. Male Wistar albino rats were treated with various interventions for 112 days, including a nano-vehicle only, high-fat diet (HFD), HFD with SV alone, or with coQNPs or/and SeNPs for the last 30 days.

RESULTS

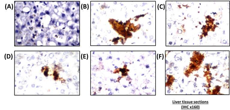
The coQNPs and SeNPs exhibited uniform spherical shapes with high encapsulation efficiency (EE% 91.20±2.14 and 94.89±1.54, respectively). The results demonstrated that coQNPs and SeNPs effectively reduced hyperlipidemia, insulin resistance, SV-induced myopathy, and hepatotoxicity. However, combining SV with coQNPs and SeNPs resulted in severe liver and muscle damage. Treatment with SV and SeNPs or SV and coQNPs alone showed significant improvements compared to SV treatment alone.

CONCLUSION

These findings suggest that the CoQNPs or SeNPs platforms offer advanced relief for hyperlipidemia and insulin resistance while limiting adverse effects such as myopathy and hepatotoxicity.

摘要

目的

本研究的目的是开发一种用于辅酶Q10纳米颗粒(coQNPs)或硒纳米颗粒(SeNPs)的纳米封装平台,并探讨它们在治疗高脂血症以及对抗辛伐他汀(SV)诱导的高脂血症大鼠肌病和不良反应方面的潜在治疗益处。

方法

对固体纳米颗粒、coQNPs和SeNPs的物理和化学性质进行了表征,包括zeta电位研究。雄性Wistar白化大鼠接受了各种干预,为期112天,包括仅使用纳米载体、高脂饮食(HFD)、仅使用SV的HFD,或在最后30天使用coQNPs或/和SeNPs。

结果

coQNPs和SeNPs呈现出均匀的球形,具有高封装效率(分别为EE% 91.20±2.14和94.89±1.54)。结果表明,coQNPs和SeNPs有效降低了高脂血症、胰岛素抵抗、SV诱导的肌病和肝毒性。然而,将SV与coQNPs和SeNPs联合使用会导致严重的肝脏和肌肉损伤。与单独使用SV治疗相比,单独使用SV和SeNPs或SV和coQNPs治疗显示出显著改善。

结论

这些发现表明,CoQNPs或SeNPs平台在缓解高脂血症和胰岛素抵抗的同时,限制了诸如肌病和肝毒性等不良反应。

https://cdn.ncbi.nlm.nih.gov/pmc/blobs/6063/11347742/44a380698383/apb-14-364-g001.jpg

文献AI研究员

20分钟写一篇综述,助力文献阅读效率提升50倍。

立即体验

用中文搜PubMed

大模型驱动的PubMed中文搜索引擎

马上搜索

文档翻译

学术文献翻译模型,支持多种主流文档格式。

立即体验