National Key Laboratory of Veterinary Public Health Security, College of Veterinary Medicine, China Agricultural University, Beijing, China.
Key Laboratory of Animal Epidemiology and Zoonosis of Ministry of Agriculture and Rural Affairs, College of Veterinary Medicine, China Agricultural University, Beijing, China.
Front Immunol. 2024 Aug 16;15:1435702. doi: 10.3389/fimmu.2024.1435702. eCollection 2024.
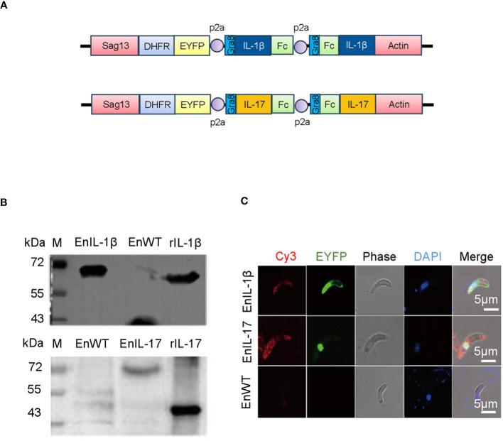
Anticoccidial vaccines comprising living oocysts of , and are used to control coccidiosis. This study explored the potential of IL-1β to act as a molecular adjuvant for enhancing the immunogenicity of and mucosal immunity. We engineered to express a functional chIL-1β (EnIL-1β) and immunized chickens with oocysts of the wild type (EnWT) and tranegenic (EnIL-1β) strains, respectively. The chickens were then challenged with EnWT oocysts to examine the immunogenicity-enhancing potential of chIL-1β. As expected, the oocyst output of EnIL-1β-immunized chickens was significantly reduced compared to those immunized using EnWT. No difference in body weight gain and lesion scores of EnIL-1β and EnWT groups was observed. The parasite load in the small intestine and caeca showed that the invasion and replication of EnIL-1β was not affected. However, the markers of immunogenicity and mucosal barrier, Claudin-1 and avian β-defensin-1, were elevated in EnIL-1β-infected chickens. Ectopic expression of chIL-1β in thus appears to improve its immunogenicity and mucosal immunity, without increasing pathogenicity. Our findings support chIL-1β as a candidate for development of effective live-oocyst-based anticoccidial vaccines.
包含 和 的活卵囊的抗球虫疫苗被用于控制球虫病。本研究探索了 IL-1β 作为一种分子佐剂增强 和黏膜免疫原性的潜力。我们设计了一种表达功能性 chIL-1β(EnIL-1β)的 ,并分别用野生型(EnWT)和转基因(EnIL-1β)卵囊对鸡进行免疫。然后用 EnWT 卵囊对鸡进行攻毒,以检验 chIL-1β 的免疫增强潜力。不出所料,与 EnWT 免疫的鸡相比,用 EnIL-1β 免疫的鸡的卵囊产量显著降低。EnIL-1β 和 EnWT 组的体重增加和病变评分没有差异。小肠和盲肠中的寄生虫负荷表明,EnIL-1β 的入侵和复制不受影响。然而,EnIL-1β 感染鸡的免疫原性和黏膜屏障标志物 Claudin-1 和禽 β-防御素-1 升高。因此,chIL-1β 在 中的异位表达似乎可以提高其免疫原性和黏膜免疫力,而不增加致病性。我们的研究结果支持 chIL-1β 作为有效基于活卵囊的抗球虫疫苗的候选物。