Suppr超能文献

经胸超声心动图显示食管贲门失弛缓症压迫左心房并酷似心外肿瘤:一例报告

Esophageal achalasia compressing the left atrium and mimicking an extracardiac tumor on the transthoracic echocardiography: A case report.

作者信息

Le Khoa, Pham Thuy, Ho Cuong, Tran Truc, Pham Vinh, Vu Phuc

机构信息

Cardiovascular Center, Tam Anh General Hospital, 2B Pho Quang, Ward 2, Tan Binh District, Hochiminh City, Vietnam.

Diagnostic Imaging Center, Tam Anh General Hospital, 2B Pho Quang, Ward 2, Tan Binh District, Hochiminh City, Vietnam.

出版信息

Radiol Case Rep. 2024 Aug 9;19(11):4717-4720. doi: 10.1016/j.radcr.2024.07.065. eCollection 2024 Nov.

Abstract

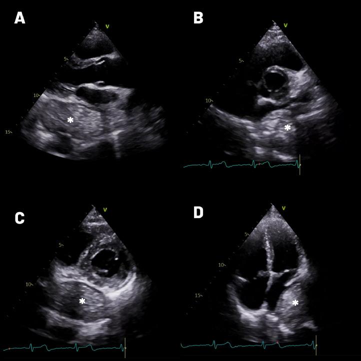
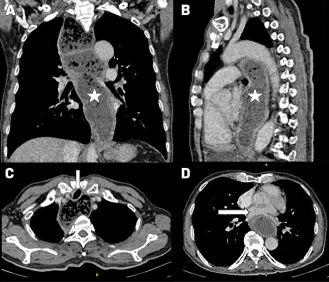
Achalasia is an uncommon disorder affecting esophageal motility. Occasionally, the appearance of a dilated esophagus in achalasia may resemble an extracardiac tumor when observed through transthoracic echocardiography. Left atrial compression due to extensive esophageal dilation is also rare, potentially leading to hemodynamic compromise. Here, we present a rare case involving left atrial compression caused by esophageal dilation in achalasia, with echocardiographic findings mimicking those of an extracardiac tumor.

摘要

贲门失弛缓症是一种影响食管动力的罕见疾病。偶尔,通过经胸超声心动图观察时,贲门失弛缓症中扩张的食管外观可能类似于心外肿瘤。由于广泛的食管扩张导致左心房受压也很罕见,可能会导致血流动力学损害。在此,我们报告一例罕见病例,即贲门失弛缓症中食管扩张引起左心房受压,其超声心动图表现类似于心外肿瘤。

https://cdn.ncbi.nlm.nih.gov/pmc/blobs/879a/11366928/641293c8b02a/gr1.jpg

文献检索

告别复杂PubMed语法,用中文像聊天一样搜索,搜遍4000万医学文献。AI智能推荐,让科研检索更轻松。

立即免费搜索

文件翻译

保留排版,准确专业,支持PDF/Word/PPT等文件格式,支持 12+语言互译。

免费翻译文档

深度研究

AI帮你快速写综述,25分钟生成高质量综述,智能提取关键信息,辅助科研写作。

立即免费体验