Suppr超能文献

食管贲门失弛缓症的三维经胸超声心动图:一例病例描述。

Three-Dimensional Trans-Thoracic Echocardiography of Esophageal Achalasia: Description of a Case.

作者信息

Cacciapuoti Fulvio, Paoli Venere Delli, Scognamiglio Anna, Cacciapuoti Federico

机构信息

Department of Internal Medicine and Geriatry, Second University of Naples, Naples, Italy.

出版信息

J Cardiovasc Echogr. 2014 Apr-Jun;24(2):57-59. doi: 10.4103/2211-4122.135619.

Abstract

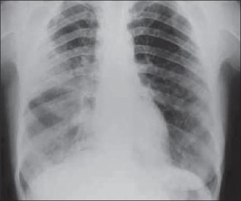
Esophageal achalasia is a motility disorder characterized by impaired relaxation of the lower esophageal sphincter and dilatation of the distal two-thirds of the esophagus. This condition may be a non-frequent reason of extrinsic compression of left atrium. In turn, this can be a cause of some hemodynamic changes such as chest discomfort, dyspnea or reduced exercise tolerance, systemic hypotension and tachycardia. We describe a case of a patient with esophagus achalasia compressing the left atrium and inducing hemodynamic compromise. The diagnostic methods, as chest X-ray, computed tomography (CT), manometry, and 2D-Trans-Thoracic Echocardiography (TTE) demonstrated the esophagus dilation, the impaired relaxation of the lower esophageal sphincter, and its compression on the left atrium. Three-D Trans-Thoracic Echocardiography (3D-TTE) was firstly performed also. This last examination pointed out better than 2D-TTE the extrinsic compression of the left atrium due to the esophagus dilatation. Therefore, 3D-TTE is a true improvement for the echocardiographic diagnosis of the left atrial compression induced by esophageal achalasia.

摘要

食管贲门失弛缓症是一种动力障碍性疾病,其特征为食管下括约肌松弛受损以及食管远端三分之二扩张。这种情况可能是左心房外部受压的一个不常见原因。反过来,这可能导致一些血流动力学变化,如胸部不适、呼吸困难或运动耐量降低、全身性低血压和心动过速。我们描述了一例食管贲门失弛缓症患者压迫左心房并导致血流动力学损害的病例。胸部X线、计算机断层扫描(CT)、测压法和二维经胸超声心动图(TTE)等诊断方法显示了食管扩张、食管下括约肌松弛受损以及其对左心房的压迫。还首次进行了三维经胸超声心动图(3D-TTE)检查。最后这项检查比二维经胸超声心动图更清楚地显示了食管扩张导致的左心房外部压迫。因此,三维经胸超声心动图是食管贲门失弛缓症所致左心房压迫的超声心动图诊断的一项真正进展。

https://cdn.ncbi.nlm.nih.gov/pmc/blobs/2505/5353427/d1212a6ddc4f/JCE-24-57-g001.jpg

文献AI研究员

20分钟写一篇综述,助力文献阅读效率提升50倍。

立即体验

用中文搜PubMed

大模型驱动的PubMed中文搜索引擎

马上搜索

文档翻译

学术文献翻译模型,支持多种主流文档格式。

立即体验