Lehrstuhl Zellbiologie, Universität Konstanz, Konstanz, Germany.
Konstanz Research School Chemical Biology, Universität Konstanz, Konstanz, Germany.
PLoS Biol. 2024 Sep 4;22(9):e3002757. doi: 10.1371/journal.pbio.3002757. eCollection 2024 Sep.
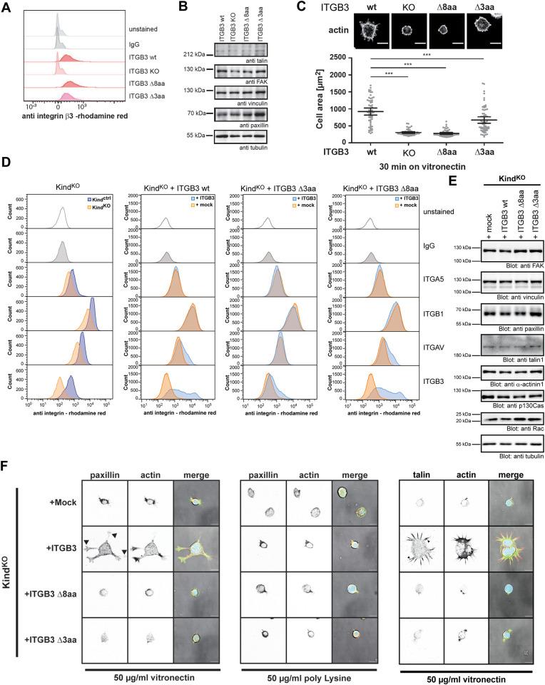
Integrins are fundamental for cell adhesion and the formation of focal adhesions (FA). Accordingly, these receptors guide embryonic development, tissue maintenance, and haemostasis but are also involved in cancer invasion and metastasis. A detailed understanding of the molecular interactions that drive integrin activation, FA assembly, and downstream signalling cascades is critical. Here, we reveal a direct association of paxillin, a marker protein of FA sites, with the cytoplasmic tails of the integrin β1 and β3 subunits. The binding interface resides in paxillin's LIM3 domain, where based on the NMR structure and functional analyses, a flexible, 7-amino acid loop engages the unstructured part of the integrin cytoplasmic tail. Genetic manipulation of the involved residues in either paxillin or integrin β3 compromises cell adhesion and motility of murine fibroblasts. This direct interaction between paxillin and the integrin cytoplasmic domain identifies an alternative, kindlin-independent mode of integrin outside-in signalling particularly important for integrin β3 function.
整合素对于细胞黏附和形成黏着斑(FA)至关重要。因此,这些受体指导胚胎发育、组织维持和止血,但也参与癌症的侵袭和转移。深入了解驱动整合素激活、FA 组装和下游信号级联的分子相互作用至关重要。在这里,我们揭示了黏着斑的标记蛋白桩蛋白与整合素β1 和β3 亚基的细胞质尾巴之间的直接关联。结合界面位于桩蛋白的 LIM3 结构域内,基于 NMR 结构和功能分析,一个灵活的 7 个氨基酸环与整合素细胞质尾巴的无结构部分结合。在桩蛋白或整合素β3 中的涉及残基的遗传操作会损害鼠成纤维细胞的细胞黏附和运动。桩蛋白和整合素细胞质结构域之间的这种直接相互作用确定了整合素外-内信号的替代、kindlin 非依赖性模式,对整合素β3 功能尤为重要。