Karimi Rayhan, Adlakha Arun
Internal Medicine, Edward Via College of Osteopathic Medicine, Spartanburg, USA.
Pulmonology, Carolina Lung Clinic, Piedmont Medical Center, Rock Hill, USA.
Cureus. 2024 Aug 2;16(8):e66004. doi: 10.7759/cureus.66004. eCollection 2024 Aug.
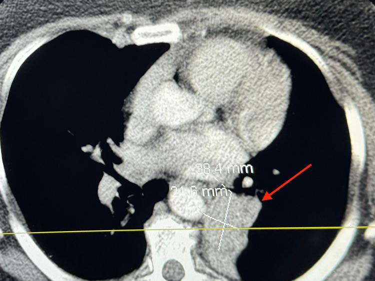
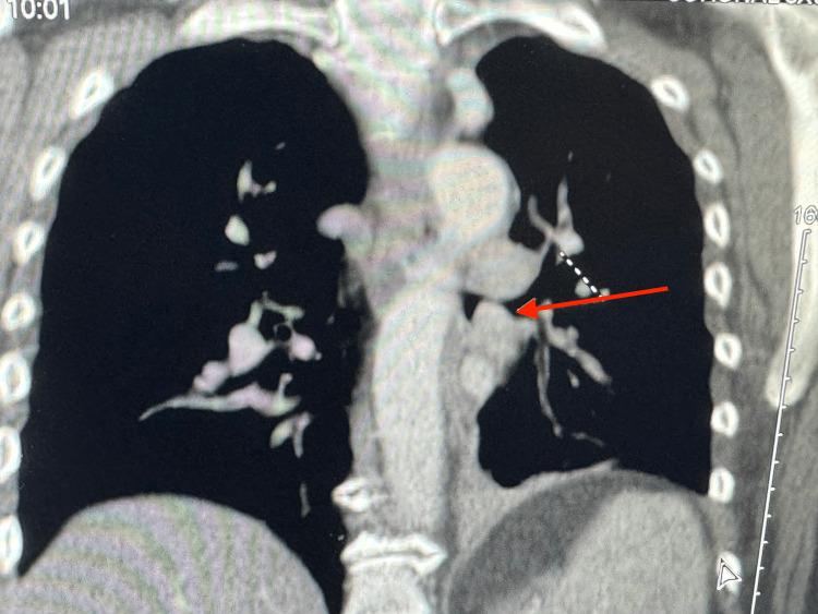
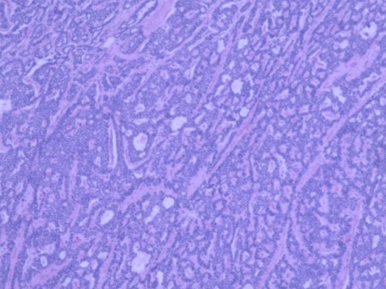
Endobronchial carcinoid tumors, a subset of neuroendocrine tumors, represent a rare but significant entity within pulmonary neoplasms, constituting less than 2% of all lung cancers. Our case report details the clinical presentation, diagnosis, and management of a 56-year-old female patient who presented with intermittent wheezing, mucoid cough, and recurrent pneumonia. Initial imaging and bronchoscopy identified an obstructive mass in the left lower bronchus. Histopathological examination of the bronchoscopic biopsy confirmed the diagnosis of a typical endobronchial carcinoid tumor. The patient underwent a successful left lower lobe lobectomy of the lung through left thoracotomy with regional and mediastinal lymph node dissection. Follow-up evaluations demonstrated no recurrence post-treatment. This case highlights the clinical features, diagnostic challenges, and therapeutic strategies associated with endobronchial carcinoid tumors, emphasizing the efficacy of a multidisciplinary approach in achieving favorable outcomes.
支气管内类癌肿瘤是神经内分泌肿瘤的一个子集,是肺部肿瘤中一种罕见但重要的类型,占所有肺癌的比例不到2%。我们的病例报告详细介绍了一名56岁女性患者的临床表现、诊断和治疗情况,该患者出现间歇性喘息、黏液性咳嗽和反复肺炎。初始影像学检查和支气管镜检查发现左下支气管有阻塞性肿块。支气管镜活检的组织病理学检查确诊为典型的支气管内类癌肿瘤。患者通过左胸切开术成功进行了左下肺叶切除术,并进行了区域和纵隔淋巴结清扫。随访评估显示治疗后无复发。该病例突出了支气管内类癌肿瘤的临床特征、诊断挑战和治疗策略,强调了多学科方法在取得良好治疗效果方面的有效性。