• 文献检索
  • 文档翻译
  • 深度研究
  • 学术资讯
  • Suppr Zotero 插件Zotero 插件
  • 邀请有礼
  • 套餐&价格
  • 历史记录
应用&插件
Suppr Zotero 插件Zotero 插件浏览器插件Mac 客户端Windows 客户端微信小程序
定价
高级版会员购买积分包购买API积分包
服务
文献检索文档翻译深度研究API 文档MCP 服务
关于我们
关于 Suppr公司介绍联系我们用户协议隐私条款
关注我们

Suppr 超能文献

核心技术专利:CN118964589B侵权必究
粤ICP备2023148730 号-1Suppr @ 2026

文献检索

告别复杂PubMed语法,用中文像聊天一样搜索,搜遍4000万医学文献。AI智能推荐,让科研检索更轻松。

立即免费搜索

文件翻译

保留排版,准确专业,支持PDF/Word/PPT等文件格式,支持 12+语言互译。

免费翻译文档

深度研究

AI帮你快速写综述,25分钟生成高质量综述,智能提取关键信息,辅助科研写作。

立即免费体验

骨膜蒂移植治疗牙龈退缩缺损的愈合:一项在兔身上的组织学研究。

Healing of periosteal pedicle graft in the treatment of gingival recession defects: A histological study in rabbits.

作者信息

Singh Asi Kanwarjit, Mahajan Ajay, Rayast Deepa

机构信息

Department of Periodontology, Himachal Pradesh Government Dental College and Hospital, Shimla, Himachal Pradesh, India.

Department of Dental Surgery, Raipur Institute of Medical Science, Chhattisgarh, India.

出版信息

Natl J Maxillofac Surg. 2024 May-Aug;15(2):283-287. doi: 10.4103/njms.njms_187_22. Epub 2024 Jul 24.

DOI:10.4103/njms.njms_187_22
PMID:39234136
原文链接:https://pmc.ncbi.nlm.nih.gov/articles/PMC11371282/
Abstract

PURPOSE

Various surgical techniques are described in the literature to manage gingival recession defects but the histopathologic evidence to support the current available techniques, is scarce. Recently periosteal pedicle graft (PPG) has proven to be an effective treatment option to treat gingival recession defects (GRD) with results comparable to subepithelial connective tissue graft (SCTG).

OBJECTIVE

The present histopathological study was done to evaluate the healing pattern of periosteal pedicle autogenous graft along with coronally advanced flap in the treatment of gingival recession defects.

MATERIALS AND METHODS

The present study was performed on 10 sites in 5 rabbits. Two sites were selected in each animal and gingival recession defects were surgically created and then treated using periosteal pedicle pedicle graft along with coronally advanced flap procedure. Healing pattern was assessed histopathologically at pre-defined intervals till 6 months.

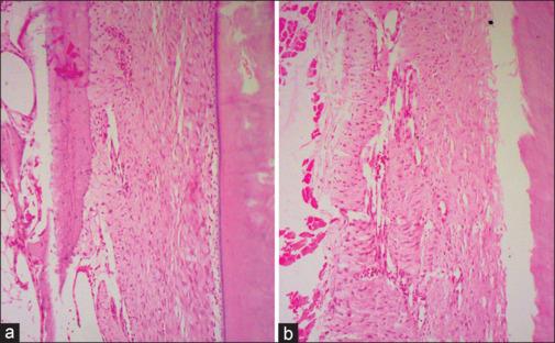
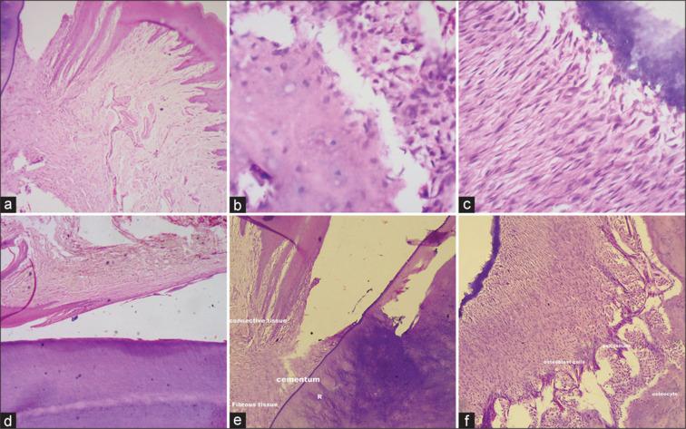
RESULTS

On the 7th day of healing, dilated blood vessels with inflammatory cells were seen, while rudimentary rete-pegs appeared on 14th day. Between 3 months to 6 months, advanced histological repair with connective tissue organization with initiation of junctional epithelium, cementum and bone formation were observed.

CONCLUSION

Gingival recession defects treated with PPG had evidences of regeneration of cementum, bone and periodontal ligament fibers with new connective tissue attachment.

摘要

目的

文献中描述了多种治疗牙龈退缩缺损的手术技术,但支持当前可用技术的组织病理学证据很少。最近,骨膜蒂移植(PPG)已被证明是治疗牙龈退缩缺损(GRD)的一种有效治疗选择,其结果与上皮下结缔组织移植(SCTG)相当。

目的

进行本组织病理学研究以评估骨膜蒂自体移植联合冠向推进瓣治疗牙龈退缩缺损的愈合模式。

材料与方法

本研究在5只兔子的10个部位进行。每只动物选择两个部位,手术制造牙龈退缩缺损,然后使用骨膜蒂移植联合冠向推进瓣手术进行治疗。在预定的间隔时间直至6个月时,通过组织病理学评估愈合模式。

结果

在愈合的第7天,可见血管扩张并有炎症细胞,而在第14天出现了原始的 rete 嵴。在3个月至6个月之间,观察到具有结缔组织组织的高级组织学修复,并开始形成结合上皮、牙骨质和骨。

结论

用PPG治疗的牙龈退缩缺损有牙骨质、骨和牙周韧带纤维再生以及新的结缔组织附着的证据。

https://cdn.ncbi.nlm.nih.gov/pmc/blobs/354d/11371282/64e65cd4b3b5/NJMS-15-283-g006.jpg
https://cdn.ncbi.nlm.nih.gov/pmc/blobs/354d/11371282/062d8c821466/NJMS-15-283-g001.jpg
https://cdn.ncbi.nlm.nih.gov/pmc/blobs/354d/11371282/5fca74856a04/NJMS-15-283-g002.jpg
https://cdn.ncbi.nlm.nih.gov/pmc/blobs/354d/11371282/4d04573d54fd/NJMS-15-283-g003.jpg
https://cdn.ncbi.nlm.nih.gov/pmc/blobs/354d/11371282/4b0774b94bb6/NJMS-15-283-g004.jpg
https://cdn.ncbi.nlm.nih.gov/pmc/blobs/354d/11371282/459267031108/NJMS-15-283-g005.jpg
https://cdn.ncbi.nlm.nih.gov/pmc/blobs/354d/11371282/64e65cd4b3b5/NJMS-15-283-g006.jpg
https://cdn.ncbi.nlm.nih.gov/pmc/blobs/354d/11371282/062d8c821466/NJMS-15-283-g001.jpg
https://cdn.ncbi.nlm.nih.gov/pmc/blobs/354d/11371282/5fca74856a04/NJMS-15-283-g002.jpg
https://cdn.ncbi.nlm.nih.gov/pmc/blobs/354d/11371282/4d04573d54fd/NJMS-15-283-g003.jpg
https://cdn.ncbi.nlm.nih.gov/pmc/blobs/354d/11371282/4b0774b94bb6/NJMS-15-283-g004.jpg
https://cdn.ncbi.nlm.nih.gov/pmc/blobs/354d/11371282/459267031108/NJMS-15-283-g005.jpg
https://cdn.ncbi.nlm.nih.gov/pmc/blobs/354d/11371282/64e65cd4b3b5/NJMS-15-283-g006.jpg

相似文献

1
Healing of periosteal pedicle graft in the treatment of gingival recession defects: A histological study in rabbits.骨膜蒂移植治疗牙龈退缩缺损的愈合:一项在兔身上的组织学研究。
Natl J Maxillofac Surg. 2024 May-Aug;15(2):283-287. doi: 10.4103/njms.njms_187_22. Epub 2024 Jul 24.
2
Periosteal pedicle graft for the treatment of gingival recession defects current status and future prospects: What the evidence suggests?骨膜蒂移植治疗牙龈退缩缺损的现状与未来前景:证据表明了什么?
J Indian Soc Periodontol. 2016 Mar-Apr;20(2):220-1. doi: 10.4103/0972-124X.170850.
3
Clinical efficacy of periosteal pedicle graft with subepithelial connective tissue graft in gingival recession coverage.骨膜蒂移植联合上皮下结缔组织移植覆盖牙龈退缩的临床疗效
J Indian Soc Periodontol. 2019 Sep-Oct;23(5):442-447. doi: 10.4103/jisp.jisp_676_18.
4
Evaluation of human recession defects treated with coronally advanced flaps and either purified recombinant human platelet-derived growth factor-BB with beta tricalcium phosphate or connective tissue: a histologic and microcomputed tomographic examination.评估采用冠向推进瓣联合纯化重组人血小板衍生生长因子-BB与β-磷酸三钙或结缔组织治疗的人类退缩性缺损:一项组织学和显微计算机断层扫描检查。
Int J Periodontics Restorative Dent. 2009 Feb;29(1):7-21.
5
Growth factor-mediated treatment of recession defects: a randomized controlled trial and histologic and microcomputed tomography examination.生长因子介导治疗牙龈退缩缺损:一项随机对照试验以及组织学和微型计算机断层扫描检查
J Periodontol. 2009 Apr;80(4):550-64. doi: 10.1902/jop.2009.080502.
6
Split-mouth evaluation of connective tissue graft with or without enamel matrix derivative for the treatment of isolated gingival recession defects in dogs.分侧评价结缔组织移植联合或不联合釉基质衍生物治疗犬孤立性牙龈退缩的疗效。
Clin Oral Investig. 2019 Aug;23(8):3339-3349. doi: 10.1007/s00784-018-2750-1. Epub 2018 Dec 1.
7
Periosteal pedicle graft with coronally advanced flap and its comparison with modified coronally advanced flap in the treatment of multiple adjacent gingival recessions-a randomized clinical trial.带骨膜蒂移植术联合冠向复位瓣及其与改良冠向复位瓣治疗多个相邻牙龈退缩的比较——一项随机临床试验
J Oral Biol Craniofac Res. 2021 Apr-Jun;11(2):99-106. doi: 10.1016/j.jobcr.2020.12.003. Epub 2021 Jan 6.
8
Comparison of periosteal pedicle graft and subepithelial connective tissue graft for the treatment of gingival recession defects.骨膜瓣移植与黏膜下结缔组织移植治疗牙龈退缩的对比研究。
Aust Dent J. 2012 Mar;57(1):51-7. doi: 10.1111/j.1834-7819.2011.01648.x.
9
Healing of experimental gingival recession defects treated with amnion allograft: Histologic and histometric analysis in dogs.羊膜同种异体移植治疗实验性牙龈退缩缺损的愈合:犬的组织学和组织计量学分析
J Oral Biosci. 2022 Mar;64(1):93-99. doi: 10.1016/j.job.2022.01.006. Epub 2022 Jan 22.
10
Evaluation of human recession defects treated with coronally advanced flaps and either enamel matrix derivative or connective tissue. Part 2: Histological evaluation.用冠向推进瓣联合釉基质衍生物或结缔组织治疗人类牙龈退缩缺损的评估。第2部分:组织学评估。
J Periodontol. 2003 Aug;74(8):1126-35. doi: 10.1902/jop.2003.74.8.1126.

本文引用的文献

1
Clinical efficacy of periosteal pedicle graft with subepithelial connective tissue graft in gingival recession coverage.骨膜蒂移植联合上皮下结缔组织移植覆盖牙龈退缩的临床疗效
J Indian Soc Periodontol. 2019 Sep-Oct;23(5):442-447. doi: 10.4103/jisp.jisp_676_18.
2
A Comparison of Acellular Dermal Matrix Allograft and Periosteal Pedicle Graft Covered by Coronally Advanced Flap in the Treatment of Gingival Recession: 1-Year Follow-Up Study.脱细胞真皮基质同种异体移植物与带蒂骨膜瓣覆盖的冠向推进瓣治疗牙龈退缩的比较:1年随访研究
Int J Periodontics Restorative Dent. 2016 Jul-Aug;36(4):e67-75. doi: 10.11607/prd.2461.
3
Multiple Gingival Recession Defects Treated with Coronally Advanced Flap and Either the VISTA Technique Enhanced with GEM 21S or Periosteal Pedicle Graft: A 9-Month Clinical Study.
采用冠向推进瓣联合VISTA技术并用GEM 21S增强或骨膜蒂移植治疗多处牙龈退缩缺损:一项为期9个月的临床研究。
Int J Periodontics Restorative Dent. 2016 Mar-Apr;36(2):231-7. doi: 10.11607/prd.2533.
4
Animal models for periodontal regeneration and peri-implant responses.用于牙周再生和种植体周围反应的动物模型。
Periodontol 2000. 2015 Jun;68(1):66-82. doi: 10.1111/prd.12052.
5
Periosteal pedicle graft: A novel root coverage approach.骨膜蒂移植:一种新型的牙根覆盖方法。
J Indian Soc Periodontol. 2015 Jan-Feb;19(1):99-102. doi: 10.4103/0972-124X.145828.
6
Periodontal soft tissue root coverage procedures: a systematic review from the AAP Regeneration Workshop.牙周软组织根面覆盖手术:来自美国牙周病学会再生研讨会的系统评价
J Periodontol. 2015 Feb;86(2 Suppl):S8-51. doi: 10.1902/jop.2015.130674.
7
Efficacy of acellular dermal matrix and coronally advanced flaps for the treatment of induced gingival recession defects: a histomorphometric study in dogs.脱细胞真皮基质与冠向推进瓣治疗诱导性牙龈退缩的效果:一项犬的组织形态计量学研究。
J Periodontol. 2013 Aug;84(8):1172-9. doi: 10.1902/jop.2012.120380. Epub 2012 Oct 22.
8
Predictability of surgical techniques used for coverage of multiple adjacent gingival recessions--A systematic review.用于覆盖多个相邻牙龈退缩的手术技术的可预测性——一项系统评价。
Quintessence Int. 2012 Jul-Aug;43(7):545-54.
9
Periosteal pedicle graft for the treatment of gingival recession defects: a novel technique.骨膜蒂移植术治疗牙龈退缩缺损:一种新技术
Aust Dent J. 2009 Sep;54(3):250-4. doi: 10.1111/j.1834-7819.2009.01128.x.
10
Fenestration defects in the rabbit jaw: an inadequate model for studying periodontal regeneration.兔颌骨开窗缺陷:牙周再生研究的不充分模型。
Tissue Eng Part C Methods. 2010 Feb;16(1):133-40. doi: 10.1089/ten.TEC.2009.0191.