• 文献检索
  • 文档翻译
  • 深度研究
  • 学术资讯
  • Suppr Zotero 插件Zotero 插件
  • 邀请有礼
  • 套餐&价格
  • 历史记录
应用&插件
Suppr Zotero 插件Zotero 插件浏览器插件Mac 客户端Windows 客户端微信小程序
定价
高级版会员购买积分包购买API积分包
服务
文献检索文档翻译深度研究API 文档MCP 服务
关于我们
关于 Suppr公司介绍联系我们用户协议隐私条款
关注我们

Suppr 超能文献

核心技术专利:CN118964589B侵权必究
粤ICP备2023148730 号-1Suppr @ 2026

文献检索

告别复杂PubMed语法,用中文像聊天一样搜索,搜遍4000万医学文献。AI智能推荐,让科研检索更轻松。

立即免费搜索

文件翻译

保留排版,准确专业,支持PDF/Word/PPT等文件格式,支持 12+语言互译。

免费翻译文档

深度研究

AI帮你快速写综述,25分钟生成高质量综述,智能提取关键信息,辅助科研写作。

立即免费体验

手足口病相关单侧急性特发性黄斑病变中杆菌层脱离与脉络膜血流不足的相关性:一例报告

The Relevance of Bacillary Layer Detachment and Choroidal flow Insufficiency in Unilateral Acute Idiopathic Maculopathy Associated with Hand, Foot, and Mouth Disease: A Case Report.

作者信息

Thakur Rashim, Guleser Umit Yasar, Kesim Cem, Kapran Ziya, Tugal-Tutkun Ilknur, Hasanreisoglu Murat

机构信息

Department of Ophthalmology, Koc University, Faculty of Medicine, Istanbul, Türkiye.

Neoretina Eye Clinic, İstanbul, Türkiye.

出版信息

Beyoglu Eye J. 2024 Sep 1;9(3):165-171. doi: 10.14744/bej.2024.76093. eCollection 2024.

DOI:10.14744/bej.2024.76093
PMID:39239626
原文链接:https://pmc.ncbi.nlm.nih.gov/articles/PMC11372403/
Abstract

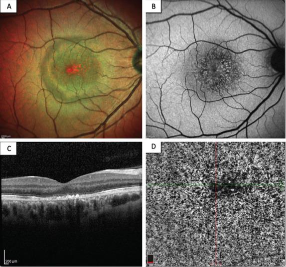
In a case of unilateral acute idiopathic maculopathy (UAIM) following hand, foot, and mouth disease, we aim to discuss the decreased perfusion of choriocapillaris secondary to systemic inflammation as shown by optical coherence tomography angiography (OCTA) and to assess the prognostic significance of bacillary layer detachment (BALAD). A 33-year-old male presented with a decrease of vision in the right eye (OD) for 5 days preceding viral prodromal symptoms and vesicular lesions on bilateral palms and soles along with vesicles and ulcers on the oral mucosa. The best-corrected visual acuity was finger counting at 1 meter distance in OD and 20/20 in his left eye (OS). Dilated fundus examination revealed a circular white-grey dome-shaped elevated lesion at the macula indicative of serous retinal detachment in OD. Spectral-domain optical coherence tomography demonstrated BALAD associated with adjacent subretinal and intraretinal fluid along with pigment epithelium detachment and disruption of ellipsoid and interdigitation zones. OCTA showed decreased choriocapillaris perfusion. All the investigations were normal in OS. The resolution of BALAD occurred during the first 2 days, which was followed by gradual improvement of choriocapillaris flow that lasted 2 months. UAIM is associated with hand, foot, and mouth disease. OCTA demonstrates both qualitative and quantitative data by detecting alterations in the choriocapillaris flow, which could be monitored during the disease course.

摘要

在一例手足口病后发生的单侧急性特发性黄斑病变(UAIM)中,我们旨在探讨光学相干断层扫描血管造影(OCTA)所显示的继发于全身炎症的脉络膜毛细血管灌注减少情况,并评估视网膜色素上皮层脱离(BALAD)的预后意义。一名33岁男性,在出现病毒前驱症状及双侧手掌和脚底水疱性病变以及口腔黏膜水疱和溃疡前5天,右眼(OD)视力下降。最佳矫正视力在OD为1米处指数,左眼(OS)为20/20。散瞳眼底检查发现OD黄斑区有一个圆形灰白色圆顶状隆起病变,提示浆液性视网膜脱离。频域光学相干断层扫描显示BALAD伴有相邻的视网膜下和视网膜内液体积聚,以及色素上皮脱离和椭圆体带及指状交叉带破坏。OCTA显示脉络膜毛细血管灌注减少。OS的所有检查均正常。BALAD在最初2天内消退,随后脉络膜毛细血管血流逐渐改善,持续2个月。UAIM与手足口病有关。OCTA通过检测脉络膜毛细血管血流变化来显示定性和定量数据,可在病程中进行监测。

https://cdn.ncbi.nlm.nih.gov/pmc/blobs/bc20/11372403/cf025d854126/BEJ-9-165-g004.jpg
https://cdn.ncbi.nlm.nih.gov/pmc/blobs/bc20/11372403/7152fa0fea67/BEJ-9-165-g001.jpg
https://cdn.ncbi.nlm.nih.gov/pmc/blobs/bc20/11372403/e21cec1f73d9/BEJ-9-165-g002.jpg
https://cdn.ncbi.nlm.nih.gov/pmc/blobs/bc20/11372403/78bf4e860d56/BEJ-9-165-g003.jpg
https://cdn.ncbi.nlm.nih.gov/pmc/blobs/bc20/11372403/cf025d854126/BEJ-9-165-g004.jpg
https://cdn.ncbi.nlm.nih.gov/pmc/blobs/bc20/11372403/7152fa0fea67/BEJ-9-165-g001.jpg
https://cdn.ncbi.nlm.nih.gov/pmc/blobs/bc20/11372403/e21cec1f73d9/BEJ-9-165-g002.jpg
https://cdn.ncbi.nlm.nih.gov/pmc/blobs/bc20/11372403/78bf4e860d56/BEJ-9-165-g003.jpg
https://cdn.ncbi.nlm.nih.gov/pmc/blobs/bc20/11372403/cf025d854126/BEJ-9-165-g004.jpg

相似文献

1
The Relevance of Bacillary Layer Detachment and Choroidal flow Insufficiency in Unilateral Acute Idiopathic Maculopathy Associated with Hand, Foot, and Mouth Disease: A Case Report.手足口病相关单侧急性特发性黄斑病变中杆菌层脱离与脉络膜血流不足的相关性:一例报告
Beyoglu Eye J. 2024 Sep 1;9(3):165-171. doi: 10.14744/bej.2024.76093. eCollection 2024.
2
BACILLARY LAYER DETACHMENT OVERLYING REDUCED CHORIOCAPILLARIS FLOW IN ACUTE IDIOPATHIC MACULOPATHY.急性特发性黄斑病变中脉络膜毛细血管血流减少上方的杆菌层脱离
Retin Cases Brief Rep. 2022 Jan 1;16(1):59-66. doi: 10.1097/ICB.0000000000000943.
3
Case Report: Improved Choroidal Circulation in a Patient with Unilateral Acute Idiopathic Maculopathy.病例报告:单侧急性特发性黄斑病变患者脉络膜循环改善。
Optom Vis Sci. 2022 Sep 1;99(9):730-734. doi: 10.1097/OPX.0000000000001931. Epub 2022 Aug 2.
4
Unilateral acute maculopathy related to hand, foot, and mouth disease: OCT and fluorescein angiography findings of a very rare disease.手足口病相关的单侧急性黄斑病变:一种罕见疾病的光学相干断层扫描和荧光素血管造影结果
Eur J Ophthalmol. 2014 Jan-Feb;24(1):131-3. doi: 10.5301/ejo.5000288. Epub 2013 Apr 15.
5
Multimodal Imaging of Unilateral Acute Maculopathy Associated with Hand, Foot, and Mouth Disease: A Case Series.手足口病相关单侧急性黄斑病变的多模态成像:病例系列
Case Rep Ophthalmol. 2022 Aug 16;13(2):617-625. doi: 10.1159/000525940. eCollection 2022 May-Aug.
6
Bacillary Layer Detachment in Unilateral Acute Idiopathic Maculopathy: A Report of 2 Cases.单侧急性特发性黄斑病变中杆菌层脱离:2 例报告。
Ocul Immunol Inflamm. 2023 Jan;31(1):3-6. doi: 10.1080/09273948.2021.1903934. Epub 2021 May 11.
7
Acute unilateral maculopathy associated with adult onset of hand, foot and mouth disease: a case report.成人手足口病相关的急性单侧黄斑病变:一例报告
BMC Ophthalmol. 2019 May 7;19(1):104. doi: 10.1186/s12886-019-1111-4.
8
A review of unilateral acute idiopatic maculopathy related to hand-foot-mouth disease with a representative case.以一个典型病例回顾与手足口病相关的单侧急性特发性黄斑病变。
Int Ophthalmol. 2016 Jun;36(3):445-52. doi: 10.1007/s10792-015-0147-6. Epub 2015 Oct 22.
9
Multimodality diagnostic imaging in unilateral acute idiopathic maculopathy.单侧急性特发性黄斑病变的多模态诊断成像
Arch Ophthalmol. 2012 Jan;130(1):50-6. doi: 10.1001/archophthalmol.2011.359.
10
Bilateral idiopathic retinal vasculitis following coxsackievirus A4 infection: a case report.柯萨奇病毒A4感染后双侧特发性视网膜血管炎:一例报告
BMC Ophthalmol. 2017 Jul 19;17(1):128. doi: 10.1186/s12886-017-0523-2.

本文引用的文献

1
Current status of hand-foot-and-mouth disease.手足口病现状。
J Biomed Sci. 2023 Feb 24;30(1):15. doi: 10.1186/s12929-023-00908-4.
2
Multimodal Imaging of Unilateral Acute Maculopathy Associated with Hand, Foot, and Mouth Disease: A Case Series.手足口病相关单侧急性黄斑病变的多模态成像:病例系列
Case Rep Ophthalmol. 2022 Aug 16;13(2):617-625. doi: 10.1159/000525940. eCollection 2022 May-Aug.
3
Case Report: Improved Choroidal Circulation in a Patient with Unilateral Acute Idiopathic Maculopathy.病例报告:单侧急性特发性黄斑病变患者脉络膜循环改善。
Optom Vis Sci. 2022 Sep 1;99(9):730-734. doi: 10.1097/OPX.0000000000001931. Epub 2022 Aug 2.
4
Bacillary Layer Detachment in Unilateral Acute Idiopathic Maculopathy: A Report of 2 Cases.单侧急性特发性黄斑病变中杆菌层脱离:2 例报告。
Ocul Immunol Inflamm. 2023 Jan;31(1):3-6. doi: 10.1080/09273948.2021.1903934. Epub 2021 May 11.
5
Choroidal Vascular Changes in Acute Idiopathic Maculopathy as Demonstrated by Multimodal Imaging including Optical Coherence Tomography Angiography.多模态成像(包括光学相干断层扫描血管造影)显示的急性特发性黄斑病变中的脉络膜血管变化
Case Rep Ophthalmol Med. 2021 Apr 6;2021:6680020. doi: 10.1155/2021/6680020. eCollection 2021.
6
BACILLARY LAYER DETACHMENT IN ACUTE VOGT-KOYANAGI-HARADA DISEASE: A Novel Swept-Source Optical Coherence Tomography Analysis.急性 Vogt-小柳原田病中细菌层脱离:一种新型扫频源光相干断层扫描分析。
Retina. 2021 Apr 1;41(4):774-783. doi: 10.1097/IAE.0000000000002914.
7
Presumed Unilateral Acute Idiopathic Maculopathy following H1N1 Vaccination.疑似 H1N1 疫苗接种后单侧急性特发性黄斑病变。
Ocul Immunol Inflamm. 2021 Aug 18;29(6):1151-1153. doi: 10.1080/09273948.2020.1734213. Epub 2020 Mar 11.
8
BACILLARY LAYER DETACHMENT OVERLYING REDUCED CHORIOCAPILLARIS FLOW IN ACUTE IDIOPATHIC MACULOPATHY.急性特发性黄斑病变中脉络膜毛细血管血流减少上方的杆菌层脱离
Retin Cases Brief Rep. 2022 Jan 1;16(1):59-66. doi: 10.1097/ICB.0000000000000943.
9
Unilateral acute idiopathic maculopathy secondary to yellow fever disease: a case report.黄热病继发单侧急性特发性黄斑病变:一例报告
Am J Ophthalmol Case Rep. 2019 May 9;15:100464. doi: 10.1016/j.ajoc.2019.100464. eCollection 2019 Sep.
10
Acute unilateral maculopathy associated with adult onset of hand, foot and mouth disease: a case report.成人手足口病相关的急性单侧黄斑病变:一例报告
BMC Ophthalmol. 2019 May 7;19(1):104. doi: 10.1186/s12886-019-1111-4.