Suppr超能文献

海姆立克急救法导致的胃破裂:一例报告

Gastric Rupture Secondary to a Heimlich Maneuver: A Case Report.

作者信息

Kleytman Nathaniel, Satoskar Savni, Riera Gonzalez Cesar, Tedla Abenezer, John Nithyla, Thite Sania, Farkas Daniel T

机构信息

General Surgery, BronxCare Health System, Bronx, New York, USA.

General Surgery, St. George's University School of Medicine, True Blue, GRD.

出版信息

Cureus. 2024 Aug 8;16(8):e66466. doi: 10.7759/cureus.66466. eCollection 2024 Aug.

Abstract

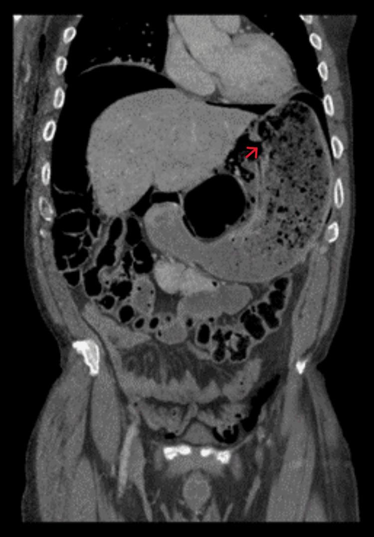
A gastric rupture resulting from abdominal trauma is a rare occurrence with a frequency of less than 2% of blunt abdominal injuries. Furthermore, gastric perforation secondary to the Heimlich maneuver is even rarer, with only a handful of cases reported in the literature. Here, we present a case of isolated gastric rupture following a successful Heimlich maneuver. Laparotomy revealed a large perforation along the lesser curvature of the stomach. The perforation was repaired by primary closure and reinforced with omental patching.

摘要

腹部创伤导致的胃破裂是一种罕见的情况,在钝性腹部损伤中发生率不到2%。此外,海姆立克急救法继发的胃穿孔更为罕见,文献中仅报道了少数病例。在此,我们报告一例成功实施海姆立克急救法后发生孤立性胃破裂的病例。剖腹探查发现胃小弯处有一个大穿孔。穿孔通过一期缝合修复,并用网膜补片加固。

https://cdn.ncbi.nlm.nih.gov/pmc/blobs/4d2a/11380564/ec91a2b7fd4b/cureus-0016-00000066466-i01.jpg

文献检索

告别复杂PubMed语法,用中文像聊天一样搜索,搜遍4000万医学文献。AI智能推荐,让科研检索更轻松。

立即免费搜索

文件翻译

保留排版,准确专业,支持PDF/Word/PPT等文件格式,支持 12+语言互译。

免费翻译文档

深度研究

AI帮你快速写综述,25分钟生成高质量综述,智能提取关键信息,辅助科研写作。

立即免费体验