Ren Mingyuan, He Yijia, Zhang Jianzhong, Zhang Jinfang, Zhang Guoqiang
Department of Dermatology, the First Hospital of Hebei Medical University, Shijiazhuang, People's Republic of China.
Hebei Technical Innovation Center for Dermatology and Medical Cosmetology Technology, Shijiazhuang, People's Republic of China.
Clin Cosmet Investig Dermatol. 2024 Sep 2;17:1975-1979. doi: 10.2147/CCID.S484441. eCollection 2024.
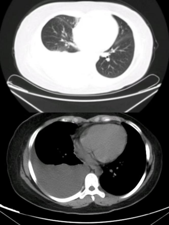
Tjalma's syndrome is a benign combination of ascites, pleural effusion, and elevated CA-125 occurring in patients with systemic lupus erythematosus. Reports of Tjalma's syndrome are scarce. An elevated CA-125 level often suggests the possibility of the presence of a malignant tumor. We report a case of generalised erythema and blisters with pruritus, massive unilateral pleural effusion and elevated CA-125. This patient was finally diagnosed with bullous systemic lupus erythematosus after exclusion of tumour and other maculopapular disorders. We hope that this particular case may provide a more comprehensive and novel diagnostic idea of systemic lupus erythematosus and pleural effusion, avoiding unnecessary anxiety, laboratory tests and surgical interventions.
塔尔马综合征是系统性红斑狼疮患者出现的腹水、胸腔积液和CA-125升高的一种良性组合。关于塔尔马综合征的报道很少。CA-125水平升高通常提示存在恶性肿瘤的可能性。我们报告一例伴有瘙痒的全身性红斑和水疱、大量单侧胸腔积液及CA-125升高的病例。该患者在排除肿瘤及其他斑丘疹性疾病后最终被诊断为大疱性系统性红斑狼疮。我们希望这个特殊病例能为系统性红斑狼疮和胸腔积液提供更全面、新颖的诊断思路,避免不必要的焦虑、实验室检查和手术干预。