• 文献检索
  • 文档翻译
  • 深度研究
  • 学术资讯
  • Suppr Zotero 插件Zotero 插件
  • 邀请有礼
  • 套餐&价格
  • 历史记录
应用&插件
Suppr Zotero 插件Zotero 插件浏览器插件Mac 客户端Windows 客户端微信小程序
定价
高级版会员购买积分包购买API积分包
服务
文献检索文档翻译深度研究API 文档MCP 服务
关于我们
关于 Suppr公司介绍联系我们用户协议隐私条款
关注我们

Suppr 超能文献

核心技术专利:CN118964589B侵权必究
粤ICP备2023148730 号-1Suppr @ 2026

文献检索

告别复杂PubMed语法,用中文像聊天一样搜索,搜遍4000万医学文献。AI智能推荐,让科研检索更轻松。

立即免费搜索

文件翻译

保留排版,准确专业,支持PDF/Word/PPT等文件格式,支持 12+语言互译。

免费翻译文档

深度研究

AI帮你快速写综述,25分钟生成高质量综述,智能提取关键信息,辅助科研写作。

立即免费体验

神经影像学对预后不良的副肿瘤性脑脊髓炎的见解:一例霍奇金淋巴瘤患者通过磁共振成像揭示的具有挑战性诊断的病例报告。

Neuroimaging insights into poor prognosis paraneoplastic encephalomyelitis: A case report on a challenging diagnosis revealed by MR imaging in a patient with Hodgkin's lymphoma.

作者信息

Ibenyahia Abderrahmane, Adnor Said, Bigi Soufiane, Bazi Imane, Elmekkaoui Adel, Othmane Benlenda, Hicham Nassik, Wakrim Soukaina

机构信息

Radiology Department, Faculty of Medicine and Pharmacy, University Hospital Center of Souss Massa, Ibn Zohr Agadir University, Agadir, Morocco.

Department of Anesthesia Reanimation, Faculty of Medicine and Pharmacy, University Hospital Center of Souss Massa, Ibn Zohr Agadir University, Agadir, Morocco.

出版信息

Radiol Case Rep. 2024 Aug 17;19(11):4992-4999. doi: 10.1016/j.radcr.2024.07.159. eCollection 2024 Nov.

DOI:10.1016/j.radcr.2024.07.159
PMID:39247480
原文链接:https://pmc.ncbi.nlm.nih.gov/articles/PMC11378097/
Abstract

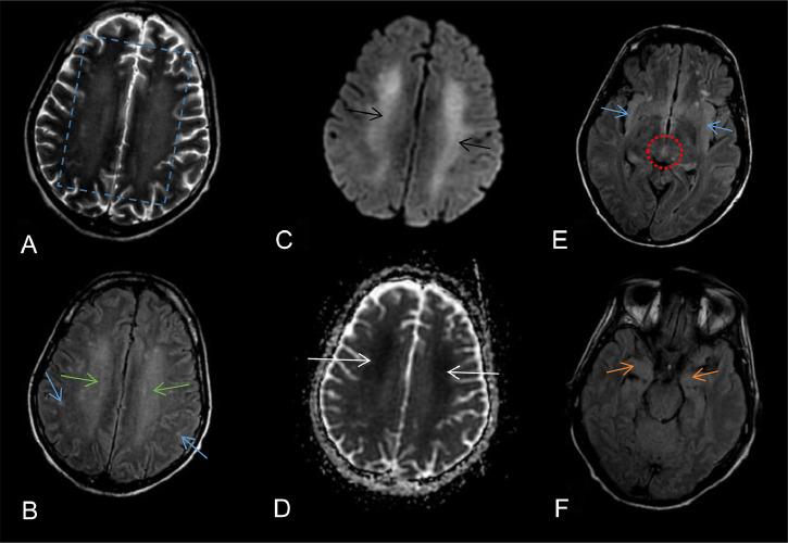
Paraneoplastic encephalomyelitis (PEM) is a rare complication associated with malignancies, often presenting before the cancer diagnosis. A 42-year-old male with a history of chronic smoking presented with acute urinary retention and neurological deficits, all evolving in a febrile context with general deterioration. Laboratory tests were conducted, followed by a cerebral MRI which revealed multiple T2 and FLAIR hyperintense lesions in the periventricular and periaqueductal regions, medial temporal lobes, and bilateral postero-medial thalamus. Enhanced CT scans of the chest and abdomen identified multiple cervical, axillary, and inguinal lymphadenopathies. Subsequently, an ultrasound-guided biopsy of a cervical node was performed. His condition deteriorated rapidly, requiring intubation and sedation. A subsequent MRI revealed worsening cerebral and spinal cord lesions with new contrast enhancement in the brainstem. The differential diagnosis included toxic/metabolic and paraneoplastic causes. Biopsy results confirmed Hodgkin's lymphoma, leading to a diagnosis of progressive paraneoplastic encephalomyelitis (PEM). Despite adequate treatment, the patient's condition worsened, leading to death from pneumonitis and metabolic complications. This case underscores the importance of considering PEM in patients with neurological deficits and malignancy, with MRI playing a crucial role in diagnosis. Early detection and treatment are essential to improving outcomes.

摘要

副肿瘤性脑脊髓炎(PEM)是一种与恶性肿瘤相关的罕见并发症,通常在癌症诊断之前出现。一名有长期吸烟史的42岁男性,出现急性尿潴留和神经功能缺损,所有症状均在发热背景下逐渐发展并伴有全身状况恶化。进行了实验室检查,随后进行了脑部MRI检查,结果显示脑室周围和导水管周围区域、颞叶内侧以及双侧丘脑后内侧出现多个T2加权像和液体衰减反转恢复序列(FLAIR)高信号病变。胸部和腹部增强CT扫描发现多个颈部、腋窝和腹股沟淋巴结肿大。随后,对一个颈部淋巴结进行了超声引导下活检。他的病情迅速恶化,需要插管和镇静。随后的MRI显示脑和脊髓病变恶化,脑干出现新的强化。鉴别诊断包括中毒/代谢性和副肿瘤性病因。活检结果确诊为霍奇金淋巴瘤,从而诊断为进行性副肿瘤性脑脊髓炎(PEM)。尽管进行了充分治疗,患者的病情仍恶化,最终因肺炎和代谢并发症死亡。该病例强调了在有神经功能缺损和恶性肿瘤的患者中考虑PEM的重要性,MRI在诊断中起着关键作用。早期检测和治疗对于改善预后至关重要。

https://cdn.ncbi.nlm.nih.gov/pmc/blobs/3a3d/11378097/e80defa4236c/gr1.jpg
https://cdn.ncbi.nlm.nih.gov/pmc/blobs/3a3d/11378097/e80defa4236c/gr1.jpg
https://cdn.ncbi.nlm.nih.gov/pmc/blobs/3a3d/11378097/e80defa4236c/gr1.jpg

相似文献

1
Neuroimaging insights into poor prognosis paraneoplastic encephalomyelitis: A case report on a challenging diagnosis revealed by MR imaging in a patient with Hodgkin's lymphoma.神经影像学对预后不良的副肿瘤性脑脊髓炎的见解:一例霍奇金淋巴瘤患者通过磁共振成像揭示的具有挑战性诊断的病例报告。
Radiol Case Rep. 2024 Aug 17;19(11):4992-4999. doi: 10.1016/j.radcr.2024.07.159. eCollection 2024 Nov.
2
Severe central and peripheral paraneoplastic demyelination associated with tumours of the ovaries.与卵巢肿瘤相关的严重中枢性和周围性副肿瘤性脱髓鞘病变。
Childs Nerv Syst. 2015 Sep;31(9):1601-6. doi: 10.1007/s00381-015-2731-5. Epub 2015 May 13.
3
Paraneoplastic limbic encephalitis in Hodgkin's disease.
Can J Neurol Sci. 1996 May;23(2):138-40. doi: 10.1017/s0317167100038877.
4
Non-Hodgkin's Lymphoma of the Central Nervous System with N-Methyl-D-Aspartate Receptor Antibody Positivity - A Case Report.中枢神经系统非霍奇金淋巴瘤伴N-甲基-D-天冬氨酸受体抗体阳性——病例报告
Acta Neurol Taiwan. 2024 Jun 30;33(2):86-92.
5
[Acute sensory neuropathy associated with Hodgkin's lymphoma: a case study].[与霍奇金淋巴瘤相关的急性感觉性神经病:病例报告]
Rinsho Shinkeigaku. 2019 Jun 22;59(6):349-355. doi: 10.5692/clinicalneurol.cn-001271. Epub 2019 May 29.
6
Seropositive Neuromyelitis Optica in a Case of Undiagnosed Ankylosing Spondylitis: A Neuro-Rheumatological Conundrum.未确诊的强直性脊柱炎病例中的血清阳性视神经脊髓炎:一个神经风湿病学难题
Qatar Med J. 2022 Jul 7;2022(3):29. doi: 10.5339/qmj.2022.29. eCollection 2022.
7
Hodgkin's lymphoma presenting as a complex paraneoplastic neurological syndrome: a case report.霍奇金淋巴瘤表现为复杂的副肿瘤性神经综合征:一例报告
J Med Case Rep. 2013 Apr 8;7:96. doi: 10.1186/1752-1947-7-96.
8
Coexistence of anti-SOX1 and anti-GABAB receptor antibodies with paraneoplastic limbic encephalitis presenting with seizures and memory impairment in small cell lung cancer: A case report.抗 SOX1 和抗 GABAB 受体抗体共存伴小细胞肺癌副肿瘤性边缘叶脑炎,表现为癫痫发作和记忆障碍:病例报告。
Front Immunol. 2022 Jul 28;13:955170. doi: 10.3389/fimmu.2022.955170. eCollection 2022.
9
[A case of paraneoplastic limbic encephalitis associated with malignant lymphoma presenting with a late-onset bilateral thalamic lesion].[一例与恶性淋巴瘤相关的副肿瘤性边缘叶脑炎,表现为迟发性双侧丘脑病变]
Brain Nerve. 2012 Jan;64(1):71-7.
10
A Case of Paraneoplastic Cerebellar Degeneration that Preceded the Diagnosis of Classical Hodgkin's Lymphoma by 16 Months.16 个月前发生癌旁性小脑变性,随后确诊经典型霍奇金淋巴瘤 1 例。
Am J Case Rep. 2020 Jun 23;21:e922342. doi: 10.12659/AJCR.922342.

本文引用的文献

1
Paraneoplastic Syndromes from Head to Toe: Pathophysiology, Imaging Features, and Workup.从头到脚的副肿瘤综合征:病理生理学、影像学特征和检查。
Radiographics. 2023 Mar;43(3):e220085. doi: 10.1148/rg.220085.
2
Imaging Review of Paraneoplastic Neurologic Syndromes.副肿瘤性神经系统疾病的影像学评价。
AJNR Am J Neuroradiol. 2020 Dec;41(12):2176-2187. doi: 10.3174/ajnr.A6815. Epub 2020 Oct 22.
3
Autoimmune epilepsy: findings on MRI and FDG-PET.自身免疫性癫痫:MRI及FDG-PET检查结果
Br J Radiol. 2019 Jan;92(1093):20170869. doi: 10.1259/bjr.20170869. Epub 2018 Sep 20.
4
Autoimmune Encephalitis: Pathophysiology and Imaging Review of an Overlooked Diagnosis.自身免疫性脑炎:一种被忽视诊断的病理生理学与影像学综述
AJNR Am J Neuroradiol. 2017 Jun;38(6):1070-1078. doi: 10.3174/ajnr.A5086. Epub 2017 Feb 9.
5
Recognizing Autoimmune-Mediated Encephalitis in the Differential Diagnosis of Limbic Disorders.在边缘系统疾病的鉴别诊断中识别自身免疫介导的脑炎。
AJNR Am J Neuroradiol. 2015 Dec;36(12):2196-205. doi: 10.3174/ajnr.A4408. Epub 2015 Sep 17.
6
In reply--Sensitivity of [18F]-fluorodeoxyglucose-positron emission tomography in patients with active myelopathy.
Mayo Clin Proc. 2014 Jun;89(6):859. doi: 10.1016/j.mayocp.2014.03.009.
7
Spectrum of paraneoplastic disease associated with lymphoma.与淋巴瘤相关的副肿瘤性疾病谱。
Neurology. 2011 Feb 22;76(8):705-10. doi: 10.1212/WNL.0b013e31820d62eb.
8
Imaging in the investigation of paraneoplastic syndromes.副肿瘤综合征研究中的影像学检查
Clin Radiol. 2007 Nov;62(11):1021-35. doi: 10.1016/j.crad.2007.06.005. Epub 2007 Sep 12.
9
Recommended diagnostic criteria for paraneoplastic neurological syndromes.副肿瘤性神经系统综合征的推荐诊断标准。
J Neurol Neurosurg Psychiatry. 2004 Aug;75(8):1135-40. doi: 10.1136/jnnp.2003.034447.
10
Paraneoplastic syndromes.副肿瘤综合征
Arch Neurol. 1999 Apr;56(4):405-8. doi: 10.1001/archneur.56.4.405.