Suppr超能文献

左半肝切除术治疗卵巢癌患者肝圆韧带转移性肿瘤

Left Hemi-Hepatectomy to Resect Metastatic Tumor of Round Ligament of Liver in Patients with Ovarian Cancer.

作者信息

Kim Uisuk, Bae Jae Kyung, Kim Junhwan, Kim Ji Hyun, Kim Seong Hoon, Han Sung-Sik, Park Hyeong Min, Park Sang-Yoon, Lim Myong Cheol

机构信息

Center for Gynecologic Cancer, National Cancer Center, Goyang 10408, Republic of Korea.

Center for Liver and Pancreatobiliary Cancer, National Cancer Center, Goyang 10408, Republic of Korea.

出版信息

Cancers (Basel). 2024 Aug 30;16(17):3036. doi: 10.3390/cancers16173036.

Abstract

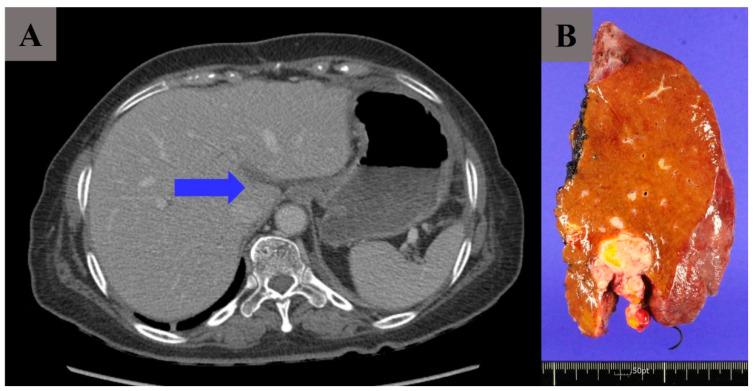
The objective of this study is to investigate the surgical, clinical and pathological outcomes of left hemi-hepatectomy during cytoreductive surgery (CRS) in patients with primary ovarian cancer. The electronic medical charts of patients with primary ovarian cancer who received CRS including left hemi-hepatectomy from 2000 to 2023 were reviewed and retrospectively analyzed. A total of 17 patients underwent left hemi-hepatectomy for resection of a deep peritoneal implant in the round ligament of the liver during primary CRS. Among these 17 patients, hepatic parenchymal invasion was confirmed in 10 patients (58.8%). Tumor distribution of others is as follows: Glisson's capsule, hilum, falciform ligament and gall bladder. Fourteen patients (82.4%) achieved CRS; the remaining three patients had residual tumors less than 1 cm. The median period to subsequent chemotherapy was 21 days (range, 12-35 days). No specific complications related to left hepatectomy were identified such as liver failure or bile leakage. Left hemi-hepatectomy for complete surgical resection of a deep peritoneal implant of the round ligament of the liver is surgically feasible and safe.

摘要

本研究的目的是调查原发性卵巢癌患者在减瘤手术(CRS)期间进行左半肝切除术的手术、临床和病理结果。回顾并回顾性分析了2000年至2023年接受包括左半肝切除术在内的CRS的原发性卵巢癌患者的电子病历。共有17例患者在初次CRS期间接受了左半肝切除术,以切除肝圆韧带中的深部腹膜种植灶。在这17例患者中,10例(58.8%)证实有肝实质侵犯。其他患者的肿瘤分布如下:肝门部、肝门、镰状韧带和胆囊。14例(82.4%)患者实现了CRS;其余3例患者的残留肿瘤小于1 cm。后续化疗的中位时间为21天(范围为12 - 35天)。未发现与左肝切除术相关的特定并发症,如肝衰竭或胆漏。通过左半肝切除术完全切除肝圆韧带的深部腹膜种植灶在手术上是可行且安全的。

https://cdn.ncbi.nlm.nih.gov/pmc/blobs/1beb/11394477/36c0155a8978/cancers-16-03036-g001.jpg

文献检索

告别复杂PubMed语法,用中文像聊天一样搜索,搜遍4000万医学文献。AI智能推荐,让科研检索更轻松。

立即免费搜索

文件翻译

保留排版,准确专业,支持PDF/Word/PPT等文件格式,支持 12+语言互译。

免费翻译文档

深度研究

AI帮你快速写综述,25分钟生成高质量综述,智能提取关键信息,辅助科研写作。

立即免费体验