• 文献检索
  • 文档翻译
  • 深度研究
  • 学术资讯
  • Suppr Zotero 插件Zotero 插件
  • 邀请有礼
  • 套餐&价格
  • 历史记录
应用&插件
Suppr Zotero 插件Zotero 插件浏览器插件Mac 客户端Windows 客户端微信小程序
定价
高级版会员购买积分包购买API积分包
服务
文献检索文档翻译深度研究API 文档MCP 服务
关于我们
关于 Suppr公司介绍联系我们用户协议隐私条款
关注我们

Suppr 超能文献

核心技术专利:CN118964589B侵权必究
粤ICP备2023148730 号-1Suppr @ 2026

文献检索

告别复杂PubMed语法,用中文像聊天一样搜索,搜遍4000万医学文献。AI智能推荐,让科研检索更轻松。

立即免费搜索

文件翻译

保留排版,准确专业,支持PDF/Word/PPT等文件格式,支持 12+语言互译。

免费翻译文档

深度研究

AI帮你快速写综述,25分钟生成高质量综述,智能提取关键信息,辅助科研写作。

立即免费体验

环状RNA_0114866通过miR-653-5p/MYL6B轴促进非小细胞肺癌的进展和上皮-间质转化

circ_0114866 promotes the progression and EMT of non-small cell lung cancer via miR-653-5p/MYL6B axis.

作者信息

Sun Jinpeng, Zhang Zhenshan, Xia Binghui, Yao Tianyu, Ge Fengyue, Yan Fengmei

机构信息

Department of General Surgery Ward,Cangzhou Hospital of Integrated TCM-WM·Hebei China.

Department of Medical Oncology, Cangzhou Hospital of Integrated TCM-WM·Hebei, China.

出版信息

Heliyon. 2024 Aug 30;10(17):e37062. doi: 10.1016/j.heliyon.2024.e37062. eCollection 2024 Sep 15.

DOI:10.1016/j.heliyon.2024.e37062
PMID:39281569
原文链接:https://pmc.ncbi.nlm.nih.gov/articles/PMC11402247/
Abstract

BACKGROUND

Non-small-cell lung cancer (NSCLC) is the most prevalent form of lung cancer. Circular RNA (circRNA) has emerged as a key player in the development of NSCLC by acting as miRNA sponges. However, the precise role of circ_0114866 in regulating NSCLC process is yet to be elucidated.

METHODS

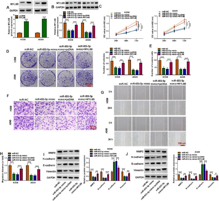
The expression of circ_0114866, miR-653-5p, and MYL6B were assessed by qPCR. Cell viability, proliferation, invasion, and migration were investigated using CCK-8, colony formation, Transwell, and wound healing assays. The protein levels of MYL6B, MMP-2, N-cadherin, E-cadherin, and vimentin were evaluated through Western blot analysis. Xenograft tumor model were selected to analyze the impact of circ_0114866 on NSCLC tumor growth. Through circBank or Starbase databases, the binding interactions between miR-653-5p and circ_0114866 or MYL6B were predicted. Subsequently, these interactions were verified by dual-luciferase reporter assay.

RESULTS

The expression of circ_0114866 and MYL6B were clearly elevated, while miR-653-5p expression was notably reduced in NSCLC tissues and cells. Notably, circ_0114866 knockdown obviously suppressed the proliferation, metastasis, and EMT process in NSCLC cells. Additionally, circ_0114866 functioned as a sponge for miR-653-5p, leading to an increase in MYL6B expression by absorbing miR-653-5p. Furthermore, the inhibitory effects on biological behaviors and EMT process of NSCLC cells induced by circ_0114866 knockdown were reversed by miR-653-5p inhibitor. Moreover, experiments demonstrated that silencing circ_0114866 resulted in a repression of tumor growth.

CONCLUSION

Our findings indicate that circ_0114866 knockdown upregulated MYL6B transcription by sponging miR-653-5p, leading to hinder the progression and EMT process of NSCLC.

摘要

背景

非小细胞肺癌(NSCLC)是肺癌最常见的形式。环状RNA(circRNA)通过充当微小RNA(miRNA)海绵,在NSCLC的发展中成为关键因素。然而,circ_0114866在调控NSCLC进程中的具体作用尚待阐明。

方法

通过qPCR评估circ_0114866、miR-653-5p和MYL6B的表达。使用CCK-8、集落形成、Transwell和伤口愈合试验研究细胞活力、增殖、侵袭和迁移。通过蛋白质印迹分析评估MYL6B、基质金属蛋白酶-2(MMP-2)、N-钙黏蛋白、E-钙黏蛋白和波形蛋白的蛋白质水平。选择异种移植肿瘤模型分析circ_0114866对NSCLC肿瘤生长的影响。通过circBank或Starbase数据库预测miR-653-5p与circ_0114866或MYL6B之间的结合相互作用。随后,通过双荧光素酶报告基因试验验证这些相互作用。

结果

NSCLC组织和细胞中circ_0114866和MYL6B的表达明显升高,而miR-653-5p表达显著降低。值得注意的是,circ_0114866敲低明显抑制NSCLC细胞的增殖、转移和上皮-间质转化(EMT)过程。此外,circ_0114866充当miR-653-5p的海绵,通过吸收miR-653-5p导致MYL6B表达增加。此外,miR-653-5p抑制剂逆转了circ_0114866敲低对NSCLC细胞生物学行为和EMT过程的抑制作用。此外,实验表明沉默circ_0114866导致肿瘤生长受到抑制。

结论

我们的研究结果表明,circ_0114866敲低通过充当miR-653-5p的海绵上调MYL6B转录,导致阻碍NSCLC的进展和EMT过程。

https://cdn.ncbi.nlm.nih.gov/pmc/blobs/c8bb/11402247/75e76e619dd1/gr8.jpg
https://cdn.ncbi.nlm.nih.gov/pmc/blobs/c8bb/11402247/506098ce16da/gr1.jpg
https://cdn.ncbi.nlm.nih.gov/pmc/blobs/c8bb/11402247/82693d8a9796/gr2.jpg
https://cdn.ncbi.nlm.nih.gov/pmc/blobs/c8bb/11402247/b78f1a970b41/gr3.jpg
https://cdn.ncbi.nlm.nih.gov/pmc/blobs/c8bb/11402247/607308361dc8/gr4.jpg
https://cdn.ncbi.nlm.nih.gov/pmc/blobs/c8bb/11402247/11a283b85b64/gr5.jpg
https://cdn.ncbi.nlm.nih.gov/pmc/blobs/c8bb/11402247/ef081445f359/gr6.jpg
https://cdn.ncbi.nlm.nih.gov/pmc/blobs/c8bb/11402247/c9ecd9cf0684/gr7.jpg
https://cdn.ncbi.nlm.nih.gov/pmc/blobs/c8bb/11402247/75e76e619dd1/gr8.jpg
https://cdn.ncbi.nlm.nih.gov/pmc/blobs/c8bb/11402247/506098ce16da/gr1.jpg
https://cdn.ncbi.nlm.nih.gov/pmc/blobs/c8bb/11402247/82693d8a9796/gr2.jpg
https://cdn.ncbi.nlm.nih.gov/pmc/blobs/c8bb/11402247/b78f1a970b41/gr3.jpg
https://cdn.ncbi.nlm.nih.gov/pmc/blobs/c8bb/11402247/607308361dc8/gr4.jpg
https://cdn.ncbi.nlm.nih.gov/pmc/blobs/c8bb/11402247/11a283b85b64/gr5.jpg
https://cdn.ncbi.nlm.nih.gov/pmc/blobs/c8bb/11402247/ef081445f359/gr6.jpg
https://cdn.ncbi.nlm.nih.gov/pmc/blobs/c8bb/11402247/c9ecd9cf0684/gr7.jpg
https://cdn.ncbi.nlm.nih.gov/pmc/blobs/c8bb/11402247/75e76e619dd1/gr8.jpg

相似文献

1
circ_0114866 promotes the progression and EMT of non-small cell lung cancer via miR-653-5p/MYL6B axis.环状RNA_0114866通过miR-653-5p/MYL6B轴促进非小细胞肺癌的进展和上皮-间质转化
Heliyon. 2024 Aug 30;10(17):e37062. doi: 10.1016/j.heliyon.2024.e37062. eCollection 2024 Sep 15.
2
Circular RNA circ_0003028 contributes to tumorigenesis by regulating GOT2 via miR-1298-5p in non-small cell lung cancer.环状 RNA circ_0003028 通过 miR-1298-5p 调控 GOT2 促进非小细胞肺癌的发生。
Bioengineered. 2021 Dec;12(1):2326-2340. doi: 10.1080/21655979.2021.1935064.
3
Circular circRANGAP1 Contributes to Non-small Cell Lung Cancer Progression by Increasing COL11A1 Expression Through Sponging miR-653-5p.环状 circRANGAP1 通过海绵吸附 miR-653-5p 增加 COL11A1 表达促进非小细胞肺癌进展。
Biochem Genet. 2023 Dec;61(6):2580-2598. doi: 10.1007/s10528-023-10393-x. Epub 2023 May 16.
4
Hsa_circRNA_0017620 regulated cell progression of non-small-cell lung cancer via miR-520a-5p/KRT5 axis.Hsa_circRNA_0017620 通过 miR-520a-5p/KRT5 轴调控非小细胞肺癌细胞的进展。
J Clin Lab Anal. 2022 Apr;36(4):e24347. doi: 10.1002/jcla.24347. Epub 2022 Mar 18.
5
Circular RNA hsa_circ_0004396 acts as a sponge of miR-615-5p to promote non-small cell lung cancer progression and radioresistance through the upregulation of P21-Activated Kinase 1.环状 RNA hsa_circ_0004396 通过上调 P21 激活激酶 1 作为 miR-615-5p 的海绵促进非小细胞肺癌的进展和放射抵抗。
J Clin Lab Anal. 2022 Jun;36(6):e24463. doi: 10.1002/jcla.24463. Epub 2022 May 2.
6
Circ_PIP5K1A regulates cisplatin resistance and malignant progression in non-small cell lung cancer cells and xenograft murine model via depending on miR-493-5p/ROCK1 axis.环状 RNA PIP5K1A 通过依赖于 miR-493-5p/ROCK1 轴调控非小细胞肺癌细胞及异种移植鼠模型中的顺铂耐药和恶性进展。
Respir Res. 2021 Sep 18;22(1):248. doi: 10.1186/s12931-021-01840-7.
7
Circ_0020123 promotes non-small cell lung cancer progression via miR-146a-5p mediated regulation of EIF4G2 expression.环状 RNA 0020123 通过 miR-146a-5p 介导的 EIF4G2 表达调控促进非小细胞肺癌进展。
Thorac Cancer. 2024 Jan;15(1):44-56. doi: 10.1111/1759-7714.15159. Epub 2023 Nov 22.
8
Circular RNA circ_0020123 promotes non-small cell lung cancer progression by sponging miR-590-5p to regulate THBS2.环状RNA circ_0020123通过吸附miR-590-5p调节THBS2促进非小细胞肺癌进展。
Cancer Cell Int. 2020 Aug 11;20:387. doi: 10.1186/s12935-020-01444-z. eCollection 2020.
9
Circ_SETD3 regulates gefitinib sensitivity and tumor progression by miR-873-5p-dependent regulation of APPBP2 in non-small cell lung cancer.环状 RNA SETD3 通过 miR-873-5p 依赖调控 APPBP2 影响非小细胞肺癌患者对吉非替尼的敏感性和肿瘤进展。
J Chemother. 2022 Oct;34(6):401-413. doi: 10.1080/1120009X.2021.2009991. Epub 2021 Dec 3.
10
Circ_0072088 promotes the development of non-small cell lung cancer via the miR-377-5p/NOVA2 axis.环状 RNA 0072088 通过 miR-377-5p/NOVA2 轴促进非小细胞肺癌的发展。
Thorac Cancer. 2020 Aug;11(8):2224-2236. doi: 10.1111/1759-7714.13529. Epub 2020 Jun 11.

引用本文的文献

1
Hsa_circ_0002238 promotes the malignant behavior of colorectal cancer.人源环状RNA hsa_circ_0002238促进结直肠癌的恶性行为。
Front Pharmacol. 2025 Jun 13;16:1541820. doi: 10.3389/fphar.2025.1541820. eCollection 2025.

本文引用的文献

1
Circular circRANGAP1 Contributes to Non-small Cell Lung Cancer Progression by Increasing COL11A1 Expression Through Sponging miR-653-5p.环状 circRANGAP1 通过海绵吸附 miR-653-5p 增加 COL11A1 表达促进非小细胞肺癌进展。
Biochem Genet. 2023 Dec;61(6):2580-2598. doi: 10.1007/s10528-023-10393-x. Epub 2023 May 16.
2
Garlic Extract Participates in the Proliferation and Apoptosis of Nonsmall Cell Lung Cancer Cells Via Endoplasmic Reticulum Stress Pathway.大蒜提取物通过内质网应激途径参与非小细胞肺癌细胞的增殖和凋亡。
Evid Based Complement Alternat Med. 2023 Feb 6;2023:4025734. doi: 10.1155/2023/4025734. eCollection 2023.
3
Exploratory Evaluation of EGFR-Targeted Anti-Tumor Drugs for Lung Cancer Based on Lung-on-a-Chip.
基于芯片肺的肺癌中表皮生长因子受体靶向抗肿瘤药物的探索性评估。
Biosensors (Basel). 2022 Aug 9;12(8):618. doi: 10.3390/bios12080618.
4
Circular RNAs in chemotherapy resistance of lung cancer and their potential therapeutic application.环状RNA在肺癌化疗耐药中的作用及其潜在治疗应用
IUBMB Life. 2023 Mar;75(3):225-237. doi: 10.1002/iub.2624. Epub 2022 May 20.
5
Exosome-transmitted circVMP1 facilitates the progression and cisplatin resistance of non-small cell lung cancer by targeting miR-524-5p-METTL3/SOX2 axis.外泌体传递的 circVMP1 通过靶向 miR-524-5p-METTL3/SOX2 轴促进非小细胞肺癌的进展和顺铂耐药性。
Drug Deliv. 2022 Dec;29(1):1257-1271. doi: 10.1080/10717544.2022.2057617.
6
Circulating cell-free circRNA panel predicted tumorigenesis and development of colorectal cancer.循环无细胞 circRNA panel 预测结直肠癌的发生和发展。
J Clin Lab Anal. 2022 May;36(5):e24431. doi: 10.1002/jcla.24431. Epub 2022 Apr 14.
7
CircCDK17 knockdown inhibits tumor progression and cell glycolysis by downregulaing YWHAZ expression through sponging miR-1294 in cervical cancer.环状 RNA CDK17 敲低通过海绵吸附 miR-1294 下调 YWHAZ 表达抑制宫颈癌肿瘤进展和细胞糖酵解。
J Ovarian Res. 2022 Feb 15;15(1):24. doi: 10.1186/s13048-022-00952-y.
8
Long non-coding RNA PRNCR1 promotes ovarian cancer cell proliferation, migration and invasion by targeting the miR-653-5p/ELF2 axis.长非编码 RNA PRNCR1 通过靶向 miR-653-5p/ELF2 轴促进卵巢癌细胞增殖、迁移和侵袭。
Mol Cell Biochem. 2022 May;477(5):1463-1475. doi: 10.1007/s11010-022-04371-x. Epub 2022 Feb 15.
9
Exosomal circRNAs: Emerging Players in Tumor Metastasis.外泌体环状RNA:肿瘤转移中的新兴参与者。
Front Cell Dev Biol. 2021 Dec 8;9:786224. doi: 10.3389/fcell.2021.786224. eCollection 2021.
10
Corrigendum: CircHIPK3 Promotes Metastasis of Gastric Cancer miR-653-5p/miR-338-3p-NRP1 Axis Under a Long-Term Hypoxic Microenvironment.勘误:环状HIPK3在长期低氧微环境下通过miR-653-5p/miR-338-3p-NRP1轴促进胃癌转移。
Front Oncol. 2021 Nov 12;11:783320. doi: 10.3389/fonc.2021.783320. eCollection 2021.