• 文献检索
  • 文档翻译
  • 深度研究
  • 学术资讯
  • Suppr Zotero 插件Zotero 插件
  • 邀请有礼
  • 套餐&价格
  • 历史记录
应用&插件
Suppr Zotero 插件Zotero 插件浏览器插件Mac 客户端Windows 客户端微信小程序
定价
高级版会员购买积分包购买API积分包
服务
文献检索文档翻译深度研究API 文档MCP 服务
关于我们
关于 Suppr公司介绍联系我们用户协议隐私条款
关注我们

Suppr 超能文献

核心技术专利:CN118964589B侵权必究
粤ICP备2023148730 号-1Suppr @ 2026

文献检索

告别复杂PubMed语法,用中文像聊天一样搜索,搜遍4000万医学文献。AI智能推荐,让科研检索更轻松。

立即免费搜索

文件翻译

保留排版,准确专业,支持PDF/Word/PPT等文件格式,支持 12+语言互译。

免费翻译文档

深度研究

AI帮你快速写综述,25分钟生成高质量综述,智能提取关键信息,辅助科研写作。

立即免费体验

RAD51 调控真核生物染色质在无 DNA 损伤情况下的运动。

RAD51 regulates eukaryotic chromatin motions in the absence of DNA damage.

机构信息

Institut de Cancérologie de l'Ouest, Angers F-49055, France.

Department of Physics, Indiana University-Purdue University Indianapolis, Indianapolis, IN 46202.

出版信息

Mol Biol Cell. 2024 Nov 1;35(11):ar136. doi: 10.1091/mbc.E24-04-0188. Epub 2024 Sep 18.

DOI:10.1091/mbc.E24-04-0188
PMID:39292916
原文链接:https://pmc.ncbi.nlm.nih.gov/articles/PMC11617103/
Abstract

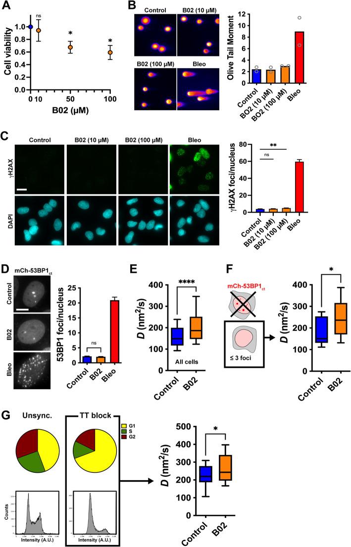
In yeasts and higher eukaryotes, chromatin motions may be tuned to genomic functions, with transcriptional activation and the DNA damage response both leading to profound changes in chromatin dynamics. The RAD51 recombinase is a key mediator of chromatin mobility following DNA damage. As functions of RAD51 beyond DNA repair are being discovered, we asked whether RAD51 modulates chromatin dynamics in the absence of DNA damage and found that inhibition or depletion of RAD51 alters chromatin motions in undamaged cells. Inhibition of RAD51 increased nucleosome clustering. Predictions from polymer models are that chromatin clusters reduce chain mobility and, indeed, we measured reduced motion of individual chromatin loci in cells treated with a RAD51 inhibitor. This effect was conserved in mammalian cells, yeasts, and plant cells. In contrast, RAD51 depletion or inhibition increased global chromatin motions at the microscale. The results uncover a role for RAD51 in regulating local and global chromatin dynamics independently from DNA damage and highlight the importance of considering different physical scales when studying chromatin dynamics.

摘要

在酵母和高等真核生物中,染色质运动可能与基因组功能相协调,转录激活和 DNA 损伤反应都会导致染色质动力学的深刻变化。RAD51 重组酶是 DNA 损伤后染色质流动性的关键介质。随着 RAD51 超越 DNA 修复功能的发现,我们想知道 RAD51 是否会在没有 DNA 损伤的情况下调节染色质动力学,并发现 RAD51 的抑制或耗竭会改变未受损细胞中的染色质运动。RAD51 的抑制会增加核小体聚集。聚合物模型的预测是,染色质簇会降低链的流动性,实际上,我们在用 RAD51 抑制剂处理的细胞中测量到单个染色质位点的运动减少。这种效应在哺乳动物细胞、酵母和植物细胞中都是保守的。相比之下,RAD51 的耗竭或抑制会增加微尺度上的整体染色质运动。研究结果揭示了 RAD51 在独立于 DNA 损伤调节局部和全局染色质动力学方面的作用,并强调了在研究染色质动力学时考虑不同物理尺度的重要性。

https://cdn.ncbi.nlm.nih.gov/pmc/blobs/f09e/11617103/196c72a6b719/mbc-35-ar136-g005.jpg
https://cdn.ncbi.nlm.nih.gov/pmc/blobs/f09e/11617103/98754f6d8212/mbc-35-ar136-g001.jpg
https://cdn.ncbi.nlm.nih.gov/pmc/blobs/f09e/11617103/5d7f09714c92/mbc-35-ar136-g002.jpg
https://cdn.ncbi.nlm.nih.gov/pmc/blobs/f09e/11617103/18efee1204b6/mbc-35-ar136-g003.jpg
https://cdn.ncbi.nlm.nih.gov/pmc/blobs/f09e/11617103/3c62ebf54f9b/mbc-35-ar136-g004.jpg
https://cdn.ncbi.nlm.nih.gov/pmc/blobs/f09e/11617103/196c72a6b719/mbc-35-ar136-g005.jpg
https://cdn.ncbi.nlm.nih.gov/pmc/blobs/f09e/11617103/98754f6d8212/mbc-35-ar136-g001.jpg
https://cdn.ncbi.nlm.nih.gov/pmc/blobs/f09e/11617103/5d7f09714c92/mbc-35-ar136-g002.jpg
https://cdn.ncbi.nlm.nih.gov/pmc/blobs/f09e/11617103/18efee1204b6/mbc-35-ar136-g003.jpg
https://cdn.ncbi.nlm.nih.gov/pmc/blobs/f09e/11617103/3c62ebf54f9b/mbc-35-ar136-g004.jpg
https://cdn.ncbi.nlm.nih.gov/pmc/blobs/f09e/11617103/196c72a6b719/mbc-35-ar136-g005.jpg

相似文献

1
RAD51 regulates eukaryotic chromatin motions in the absence of DNA damage.RAD51 调控真核生物染色质在无 DNA 损伤情况下的运动。
Mol Biol Cell. 2024 Nov 1;35(11):ar136. doi: 10.1091/mbc.E24-04-0188. Epub 2024 Sep 18.
2
Glu-108 in Saccharomyces cerevisiae Rad51 Is Critical for DNA Damage-Induced Nuclear Function.酵母酿酒酵母 Rad51 中的 Glu-108 对 DNA 损伤诱导的核功能至关重要。
mSphere. 2019 Mar 20;4(2):e00082-19. doi: 10.1128/mSphere.00082-19.
3
Rad51 polymerization reveals a new chromatin remodeling mechanism.Rad51聚合揭示了一种新的染色质重塑机制。
PLoS One. 2008;3(11):e3643. doi: 10.1371/journal.pone.0003643. Epub 2008 Nov 4.
4
Chromatin remodelling at a DNA double-strand break site in Saccharomyces cerevisiae.酿酒酵母中DNA双链断裂位点处的染色质重塑
Nature. 2005 Nov 17;438(7066):379-83. doi: 10.1038/nature04148.
5
Characterization of the interaction between the Saccharomyces cerevisiae Rad51 recombinase and the DNA translocase Rdh54.鉴定酿酒酵母 Rad51 重组酶与 DNA 转位酶 Rdh54 之间的相互作用
J Biol Chem. 2013 Jul 26;288(30):21999-2005. doi: 10.1074/jbc.M113.480475. Epub 2013 Jun 24.
6
Rad54 protein possesses chromatin-remodeling activity stimulated by the Rad51-ssDNA nucleoprotein filament.Rad54蛋白具有由Rad51-ssDNA核蛋白丝刺激的染色质重塑活性。
Nat Struct Biol. 2003 Mar;10(3):182-6. doi: 10.1038/nsb901.
7
Checkpoint kinases and the INO80 nucleosome remodeling complex enhance global chromatin mobility in response to DNA damage.检查点激酶和 INO80 核小体重塑复合物增强了对 DNA 损伤的全局染色质流动性。
Genes Dev. 2013 Sep 15;27(18):1999-2008. doi: 10.1101/gad.222992.113. Epub 2013 Sep 12.
8
ATP-dependent chromatin remodeling by the Saccharomyces cerevisiae homologous recombination factor Rdh54.酿酒酵母同源重组因子Rdh54介导的ATP依赖型染色质重塑
J Biol Chem. 2008 Apr 18;283(16):10445-52. doi: 10.1074/jbc.M800082200. Epub 2008 Feb 20.
9
Cryo-EM structures of RAD51 assembled on nucleosomes containing a DSB site.RAD51 组装在含有 DSB 位点的核小体上的冷冻电镜结构。
Nature. 2024 Apr;628(8006):212-220. doi: 10.1038/s41586-024-07196-4. Epub 2024 Mar 20.
10
DNA repair: tails of histones lost.DNA修复:组蛋白尾巴缺失。
Nature. 2006 Jan 26;439(7075):406-7. doi: 10.1038/439406a.

引用本文的文献

1
Transcriptional activity generates chromatin motion that drives nuclear blebbing.转录活性产生染色质运动,进而驱动核泡化。
bioRxiv. 2025 May 21:2025.05.20.655131. doi: 10.1101/2025.05.20.655131.

本文引用的文献

1
RAD51-mediated R-loop formation acts to repair transcription-associated DNA breaks driving antigenic variation in .RAD51 介导的 R 环形成可修复与转录相关的 DNA 断裂,从而驱动 中的抗原变异。
Proc Natl Acad Sci U S A. 2023 Nov 28;120(48):e2309306120. doi: 10.1073/pnas.2309306120. Epub 2023 Nov 21.
2
CTCF and R-loops are boundaries of cohesin-mediated DNA looping.CTCF 和 R 环是黏连蛋白介导的 DNA 环的边界。
Mol Cell. 2023 Aug 17;83(16):2856-2871.e8. doi: 10.1016/j.molcel.2023.07.006. Epub 2023 Aug 2.
3
The plant-specific DDR factor SOG1 increases chromatin mobility in response to DNA damage.
植物特异性 DDR 因子 SOG1 响应 DNA 损伤增加染色质流动性。
EMBO Rep. 2022 Dec 6;23(12):e54736. doi: 10.15252/embr.202254736. Epub 2022 Oct 24.
4
Global chromatin mobility induced by a DSB is dictated by chromosomal conformation and defines the HR outcome.由 DSB 诱导的全局染色质流动性由染色体构象决定,并定义了 HR 结果。
Elife. 2022 Sep 20;11:e78015. doi: 10.7554/eLife.78015.
5
Double-stranded DNA binding function of RAD51 in DNA protection and its regulation by BRCA2.RAD51在DNA保护中的双链DNA结合功能及其受BRCA2的调控
Mol Cell. 2022 Oct 6;82(19):3553-3565.e5. doi: 10.1016/j.molcel.2022.08.014. Epub 2022 Sep 6.
6
DNA damage reduces heterogeneity and coherence of chromatin motions.DNA 损伤降低染色质运动的异质性和相干性。
Proc Natl Acad Sci U S A. 2022 Jul 19;119(29):e2205166119. doi: 10.1073/pnas.2205166119. Epub 2022 Jul 12.
7
Single-nucleosome imaging reveals steady-state motion of interphase chromatin in living human cells.单核小体成像揭示活体细胞中染色质的相分离稳态运动。
Sci Adv. 2022 Jun 3;8(22):eabn5626. doi: 10.1126/sciadv.abn5626.
8
The Dynamic Behavior of Chromatin in Response to DNA Double-Strand Breaks.染色质对 DNA 双链断裂的动态反应
Genes (Basel). 2022 Jan 25;13(2):215. doi: 10.3390/genes13020215.
9
New RAD51 Inhibitors to Target Homologous Recombination in Human Cells.新型 RAD51 抑制剂靶向人细胞中的同源重组。
Genes (Basel). 2021 Jun 16;12(6):920. doi: 10.3390/genes12060920.
10
Epigenomic Analysis of RAD51 ChIP-seq Data Reveals -regulatory Elements Associated with Autophagy in Cancer Cell Lines.RAD51染色质免疫沉淀测序数据的表观基因组分析揭示了与癌细胞系自噬相关的调控元件。
Cancers (Basel). 2021 May 22;13(11):2547. doi: 10.3390/cancers13112547.