• 文献检索
  • 文档翻译
  • 深度研究
  • 学术资讯
  • Suppr Zotero 插件Zotero 插件
  • 邀请有礼
  • 套餐&价格
  • 历史记录
应用&插件
Suppr Zotero 插件Zotero 插件浏览器插件Mac 客户端Windows 客户端微信小程序
定价
高级版会员购买积分包购买API积分包
服务
文献检索文档翻译深度研究API 文档MCP 服务
关于我们
关于 Suppr公司介绍联系我们用户协议隐私条款
关注我们

Suppr 超能文献

核心技术专利:CN118964589B侵权必究
粤ICP备2023148730 号-1Suppr @ 2026

文献检索

告别复杂PubMed语法,用中文像聊天一样搜索,搜遍4000万医学文献。AI智能推荐,让科研检索更轻松。

立即免费搜索

文件翻译

保留排版,准确专业,支持PDF/Word/PPT等文件格式,支持 12+语言互译。

免费翻译文档

深度研究

AI帮你快速写综述,25分钟生成高质量综述,智能提取关键信息,辅助科研写作。

立即免费体验

一种导致唾液酸贮积症 1 型-肌阵挛综合征的新型点突变及光学相干断层扫描表现。

A novel spot mutation leading to sialidosis type 1-myoclonus syndrome and optical coherence tomography findings.

机构信息

Eye Clinic, Türkoğlu Dr. Kemal Beyazıt Public Hospital, Türkoğlu, Turkey.

Ophthalmology Department, Faculty of Medicine, Van Yuzuncu Yil University, Tusba, Turkey.

出版信息

Arq Bras Oftalmol. 2023 Apr 3;87(5):e20220069. doi: 10.5935/0004-2749.2022-0069. eCollection 2023.

DOI:10.5935/0004-2749.2022-0069
PMID:39298726
原文链接:https://pmc.ncbi.nlm.nih.gov/articles/PMC11623389/
Abstract

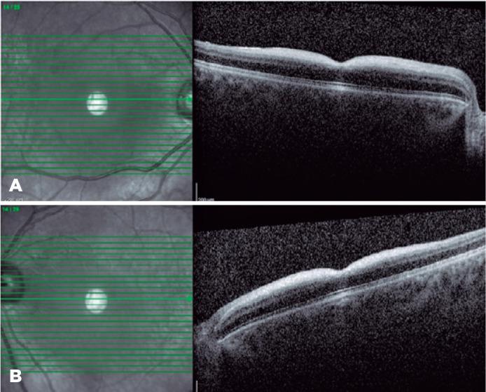
This report presents the optical coherence tomography findings and a new NEU1 mutation in bilateral macular cherry-red spot syndrome associated with sialidosis type 1. A 19-year-old patient with a macular cherry-red spot underwent metabolic and genetic analyses supported by spectral-domain optical coherence tomography. Fundus examination revealed bilateral macular cherry-red spot. Spectral-domain optical coherence tomography revealed increased hyperreflectivity in the retinal inner layers and the photoreceptor layer in the foveal region. The genetic analysis detected a new NEU1 mutation, which caused type I sialidosis. In cases with a macular cherry-red spot, sialidosis should be included in the differential diagnosis, and NEU1 mutation should be screened. Spectral-domain optical coherence tomography alone is not sufficient in the differential diagnosis because childhood metabolic diseases may exhibit similar signs.

摘要

本报告介绍了光学相干断层扫描结果和 1 型神经氨酸酶 1(NEU1)突变与双侧黄斑樱桃红斑点综合征的关系,该综合征与唾液酸贮积症 1 型有关。一名 19 岁患者因黄斑樱桃红斑点接受了代谢和遗传分析,并结合频域光学相干断层扫描进行支持。眼底检查显示双侧黄斑樱桃红斑点。频域光学相干断层扫描显示视网膜内层和黄斑区光感受器层的高反射性增加。基因分析发现了一个新的 NEU1 突变,导致 1 型唾液酸贮积症。在有黄斑樱桃红斑点的病例中,唾液酸贮积症应包括在鉴别诊断中,并应筛查 NEU1 突变。频域光学相干断层扫描本身不足以进行鉴别诊断,因为儿童期代谢疾病可能表现出相似的体征。

https://cdn.ncbi.nlm.nih.gov/pmc/blobs/d9a6/11623389/2f94e29129de/abo-87-05-e2022-0069-g03.jpg
https://cdn.ncbi.nlm.nih.gov/pmc/blobs/d9a6/11623389/a69a82fcdea9/abo-87-05-e2022-0069-g01.jpg
https://cdn.ncbi.nlm.nih.gov/pmc/blobs/d9a6/11623389/c7d64cd77310/abo-87-05-e2022-0069-g02.jpg
https://cdn.ncbi.nlm.nih.gov/pmc/blobs/d9a6/11623389/2f94e29129de/abo-87-05-e2022-0069-g03.jpg
https://cdn.ncbi.nlm.nih.gov/pmc/blobs/d9a6/11623389/a69a82fcdea9/abo-87-05-e2022-0069-g01.jpg
https://cdn.ncbi.nlm.nih.gov/pmc/blobs/d9a6/11623389/c7d64cd77310/abo-87-05-e2022-0069-g02.jpg
https://cdn.ncbi.nlm.nih.gov/pmc/blobs/d9a6/11623389/2f94e29129de/abo-87-05-e2022-0069-g03.jpg

相似文献

1
A novel spot mutation leading to sialidosis type 1-myoclonus syndrome and optical coherence tomography findings.一种导致唾液酸贮积症 1 型-肌阵挛综合征的新型点突变及光学相干断层扫描表现。
Arq Bras Oftalmol. 2023 Apr 3;87(5):e20220069. doi: 10.5935/0004-2749.2022-0069. eCollection 2023.
2
Optical coherence tomography features in a case of Type I sialidosis.I型唾液酸沉积症一例的光学相干断层扫描特征
Taiwan J Ophthalmol. 2017 Apr-Jun;7(2):108-111. doi: 10.4103/tjo.tjo_53_17.
3
Fundus autofluorescence and optical coherence tomography of a macular cherry-red spot in a case report of sialidosis.涎酸贮积症病例报告中黄斑樱桃红斑的眼底自发荧光和光学相干断层扫描
BMC Ophthalmol. 2016 Mar 22;16:30. doi: 10.1186/s12886-016-0201-9.
4
Optical coherence tomography findings in a patient with type 1 sialidosis.1型唾液酸沉积症患者的光学相干断层扫描结果
J Clin Neurosci. 2016 Sep;31:199-201. doi: 10.1016/j.jocn.2016.02.015. Epub 2016 Apr 1.
5
Genetic and clinical characterization of mainland Chinese patients with sialidosis type 1.中国大陆黏脂贮积症 1 型患者的遗传和临床特征。
Mol Genet Genomic Med. 2020 Aug;8(8):e1316. doi: 10.1002/mgg3.1316. Epub 2020 May 26.
6
Sialidosis Type 1 with a Novel Mutation in the Neuraminidase-1 (NEU1) Gene.1型唾液酸沉积症伴神经氨酸酶-1(NEU1)基因新突变
Indian J Pediatr. 2017 May;84(5):403-404. doi: 10.1007/s12098-016-2286-9. Epub 2017 Jan 31.
7
A sialidosis type I cohort and a quantitative approach to multimodal ophthalmic imaging of the macular cherry-red spot.I 型唾液酸贮积症队列和对黄斑樱桃红斑点的多模态眼科成像的定量方法。
Br J Ophthalmol. 2021 Jun;105(6):838-843. doi: 10.1136/bjophthalmol-2020-316826. Epub 2020 Aug 4.
8
Bergmeister's papilla in a young patient with type 1 sialidosis: case report.1型涎酸沉积症年轻患者中的贝格迈斯特乳头:病例报告
BMC Ophthalmol. 2020 Aug 31;20(1):356. doi: 10.1186/s12886-020-01628-1.
9
Type 1 Sialidosis Patient With a Novel Deletion Mutation in the NEU1 Gene: Case Report and Literature Review.1 型唾液酸贮积症患者 NEU1 基因的新型缺失突变:病例报告及文献复习。
Cerebellum. 2019 Jun;18(3):659-664. doi: 10.1007/s12311-019-1005-2.
10
Type I sialidosis, a normosomatic lysosomal disease, in the differential diagnosis of late-onset ataxia and myoclonus: An overview.I 型唾液酸贮积症,一种正常体型溶酶体疾病,在迟发性共济失调和肌阵挛的鉴别诊断中:概述。
Mol Genet Metab. 2020 Feb;129(2):47-58. doi: 10.1016/j.ymgme.2019.09.005. Epub 2019 Oct 31.

本文引用的文献

1
A sialidosis type I cohort and a quantitative approach to multimodal ophthalmic imaging of the macular cherry-red spot.I 型唾液酸贮积症队列和对黄斑樱桃红斑点的多模态眼科成像的定量方法。
Br J Ophthalmol. 2021 Jun;105(6):838-843. doi: 10.1136/bjophthalmol-2020-316826. Epub 2020 Aug 4.
2
Alkaptonuria: A case report.黑尿症:一例病例报告。
Indian J Ophthalmol. 2017 Jun;65(6):518-521. doi: 10.4103/ijo.IJO_337_16.
3
Unilateral visual loss due to central retinal artery occlusion with total ophthalmoplegia following cervical spine surgery in prone position.
俯卧位颈椎手术后因视网膜中央动脉阻塞伴完全性眼肌麻痹导致的单侧视力丧失。
Nepal J Ophthalmol. 2015 Jul;7(14):191-3. doi: 10.3126/nepjoph.v7i2.14978.
4
On the ocular findings in ochronosis: a systematic review of literature.关于褐黄病的眼部表现:系统文献回顾。
BMC Ophthalmol. 2014 Jan 30;14:12. doi: 10.1186/1471-2415-14-12.
5
Central retinal artery occlusion following severe blow-out fracture in young adult.年轻成人严重眼眶爆裂性骨折后发生的视网膜中央动脉阻塞
Clin Ophthalmol. 2009;3:325-8. doi: 10.2147/opth.s5343. Epub 2009 Jun 2.
6
Cherry-red spot.樱桃红斑
J Postgrad Med. 2008 Jan-Mar;54(1):54-7. doi: 10.4103/0022-3859.39196.
7
Acute ocular methanol toxicity: clinical and electrophysiological features.急性眼部甲醇中毒:临床及电生理特征
Aust N Z J Ophthalmol. 1997 Aug;25(3):225-30. doi: 10.1111/j.1442-9071.1997.tb01397.x.
8
Bilateral maculopathy simulating 'cherry-red spot' in a patient with Crohn's disease.一名克罗恩病患者出现双侧黄斑病变,类似“樱桃红斑”。
Br J Ophthalmol. 1981 Mar;65(3):184-8. doi: 10.1136/bjo.65.3.184.
9
Retinal toxicity of intravitreal gentamicin.玻璃体内注射庆大霉素的视网膜毒性
Arch Ophthalmol. 1990 Dec;108(12):1740-4. doi: 10.1001/archopht.1990.01070140094037.
10
Peripheral neuropathy and haemolytic anaemia with cherry red spot on macula in dapsone poisoning.氨苯砜中毒所致的周围神经病变、溶血性贫血及黄斑樱桃红斑
J Assoc Physicians India. 1990 Aug;38(8):564-5.