Suppr超能文献

一名32岁甲状腺丛状神经鞘瘤男性患者:病例报告

A 32-year-old man with plexiform schwannoma of the thyroid gland: a case report.

作者信息

Park Il Rae, Kim Min Chong, Chung Seung Min, Song Si Youn

机构信息

Division of Endocrinology and Metabolism, Department of Internal Medicine, Yeungnam University College of Medicine, Daegu, Korea.

Department of Pathology, Yeungnam University College of Medicine, Daegu, Korea.

出版信息

J Yeungnam Med Sci. 2024 Oct;41(4):312-317. doi: 10.12701/jyms.2024.00556. Epub 2024 Sep 10.

Abstract

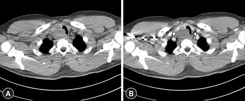
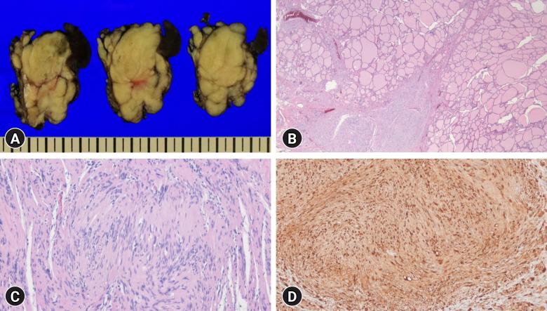
Plexiform schwannomas representing a rare subset, comprise 5% of all schwannomas. However, their occurrence in the thyroid gland is exceptionally rare. A 32-year-old male presented with an incidentally discovered, asymptomatic thyroid mass. Imaging revealed an approximately 5 cm heterogeneous solid mass on the right thyroid lobe extending to the upper mediastinum and directly invading the upper trachea. Under the suspicion of thyroid malignancy, the patient underwent right thyroidectomy. Histological examination confirmed a plexiform schwannoma with S100-positive spindle cells. Currently, the patient is undergoing outpatient follow-up, with no reported complications. To our knowledge, this is the first documented case of plexiform schwannoma of the thyroid gland within the English literature. This case highlights the diverse and unpredictable clinical manifestations of thyroid masses, emphasizing the importance of a multidisciplinary approach for diagnosing and managing rare entities, such as thyroid gland schwannomas.

摘要

丛状神经鞘瘤是一种罕见的亚型,占所有神经鞘瘤的5%。然而,它们在甲状腺中的发生极为罕见。一名32岁男性因偶然发现的无症状甲状腺肿块就诊。影像学检查显示右侧甲状腺叶有一个约5 cm的不均匀实性肿块,延伸至上纵隔并直接侵犯上段气管。因怀疑为甲状腺恶性肿瘤,患者接受了右侧甲状腺切除术。组织学检查证实为丛状神经鞘瘤,S100阳性梭形细胞。目前,患者正在门诊随访,未报告并发症。据我们所知,这是英文文献中首例有记录的甲状腺丛状神经鞘瘤病例。该病例突出了甲状腺肿块多样且不可预测的临床表现,强调了多学科方法对诊断和管理罕见实体(如甲状腺神经鞘瘤)的重要性。

https://cdn.ncbi.nlm.nih.gov/pmc/blobs/d3a4/11534414/52448c007e8a/jyms-2024-00556f1.jpg

文献检索

告别复杂PubMed语法,用中文像聊天一样搜索,搜遍4000万医学文献。AI智能推荐,让科研检索更轻松。

立即免费搜索

文件翻译

保留排版,准确专业,支持PDF/Word/PPT等文件格式,支持 12+语言互译。

免费翻译文档

深度研究

AI帮你快速写综述,25分钟生成高质量综述,智能提取关键信息,辅助科研写作。

立即免费体验