Laxton Steven J, Woods Dexter
Emergency Medicine, Ascension St Thomas Hospital, Murfreesboro, USA.
Cureus. 2024 Aug 23;16(8):e67628. doi: 10.7759/cureus.67628. eCollection 2024 Aug.
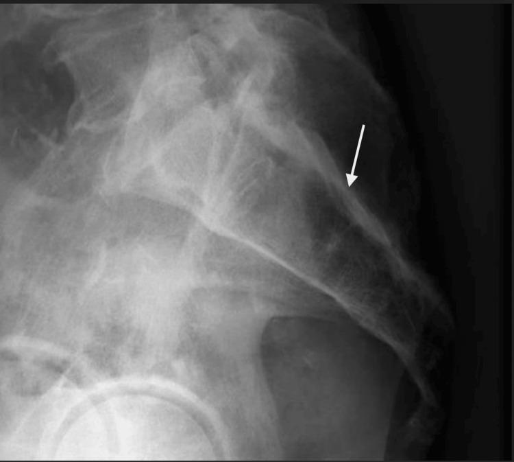
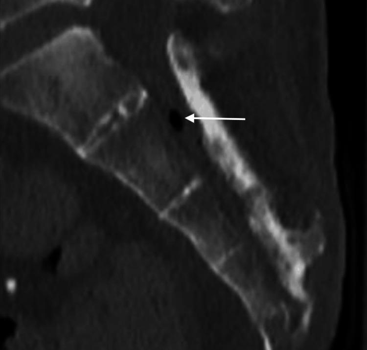
Sacral osteomyelitis is an infection of the bone that extends posterior to the pelvis at the base of the spine. This condition typically occurs in elderly or bedbound/immobile patients and is treated with wound debridement, wound care, surgery, and antibiotic therapy. In this report, a case is presented of a rare complication of sacral osteomyelitis where the infection extended through the bone into the spinal canal causing an ascending spinal canal infection. This report is meant to provide an individual example of this rare complication which can hopefully be used to improve surveillance, treatment, and outcomes of this rare condition.
骶骨骨髓炎是一种发生在脊柱底部、骨盆后方的骨感染。这种病症通常发生在老年人或卧床/行动不便的患者身上,治疗方法包括伤口清创、伤口护理、手术和抗生素治疗。在本报告中,呈现了一例骶骨骨髓炎罕见并发症的病例,感染通过骨骼蔓延至椎管,导致椎管上行性感染。本报告旨在提供这一罕见并发症的个别实例,有望用于改善对这种罕见病症的监测、治疗及治疗效果。