Suppr超能文献

无高凝状态的低风险患者美容手术后的静脉血栓栓塞

Venous thromboembolism after aesthetic surgeries in low-risk patients without hypercoagulability.

作者信息

Palacios Huatuco René M, Giovanardi Gabriel, Coloccini Alejandro, Ramírez Mariano F, Sala Hernán F, Mayer Horacio F

机构信息

Department of Plastic and Reconstructive Surgery, Hospital Italiano de Buenos Aires, University of Buenos Aires Medical School, University of the Hospital Italiano de Buenos Aires, 4190 Peron St., 1st floor (C1991ABB), Buenos Aires, Argentina.

出版信息

J Surg Case Rep. 2024 Sep 23;2024(9):rjae604. doi: 10.1093/jscr/rjae604. eCollection 2024 Sep.

Abstract

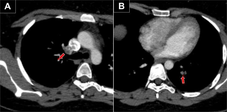
Venous thromboembolism (VTE) is a serious but rare complication of aesthetic surgery, with an incidence of 0.017% for liposuction and 0.01%-0.02% for augmentation mammoplasty. Despite the low incidence and appropriate patient selection, we present two cases of VTE in low-risk patients without hypercoagulability undergoing aesthetic procedures. In the first case, a 45-year-old woman with a history of anemia developed bilateral pulmonary embolism after ultrasound-assisted liposuction. In the second case, a 33-year-old woman with a history of oral contraceptive use developed deep vein thrombosis in the right upper extremity after augmentation mammoplasty. The patients were treated early and fully recovered after 12 months. This report highlights the importance of early diagnosis and treatment of VTE in aesthetic surgery, even in low-risk patients.

摘要

静脉血栓栓塞症(VTE)是美容手术中一种严重但罕见的并发症,抽脂术的发生率为0.017%,隆胸术的发生率为0.01% - 0.02%。尽管发生率较低且患者选择合适,但我们仍报告了两例在接受美容手术的无高凝状态的低风险患者中发生VTE的病例。第一例中,一名有贫血病史的45岁女性在超声辅助抽脂术后发生双侧肺栓塞。第二例中,一名有口服避孕药史的33岁女性在隆胸术后右上肢发生深静脉血栓形成。患者得到了早期治疗,并在12个月后完全康复。本报告强调了在美容手术中早期诊断和治疗VTE的重要性,即使是在低风险患者中。

https://cdn.ncbi.nlm.nih.gov/pmc/blobs/5d7d/11419311/eca6c1512dd2/rjae604f1.jpg

文献AI研究员

20分钟写一篇综述,助力文献阅读效率提升50倍。

立即体验

用中文搜PubMed

大模型驱动的PubMed中文搜索引擎

马上搜索

文档翻译

学术文献翻译模型,支持多种主流文档格式。

立即体验