Suppr超能文献

肝门周围胆管癌切除术后免疫性血小板减少性紫癜的药物性缓解:一例报告

Drug-free remission of immune thrombocytopenic purpura following resection of perihilar cholangiocarcinoma: a case report.

作者信息

Sakuma Masayoshi, Takahashi Daigoro, Kamei Keitaro, Takayama Yuichi, Takahashi Takamasa, Aoyama Hiroki, Hosoi Takahiro, Maeda Atsuyuki

机构信息

Department of Surgery, Ogaki Municipal Hospital, 4-86, Minaminokawa-cho, Ogaki city, Gifu, Japan.

出版信息

J Surg Case Rep. 2024 Sep 26;2024(9):rjae607. doi: 10.1093/jscr/rjae607. eCollection 2024 Sep.

Abstract

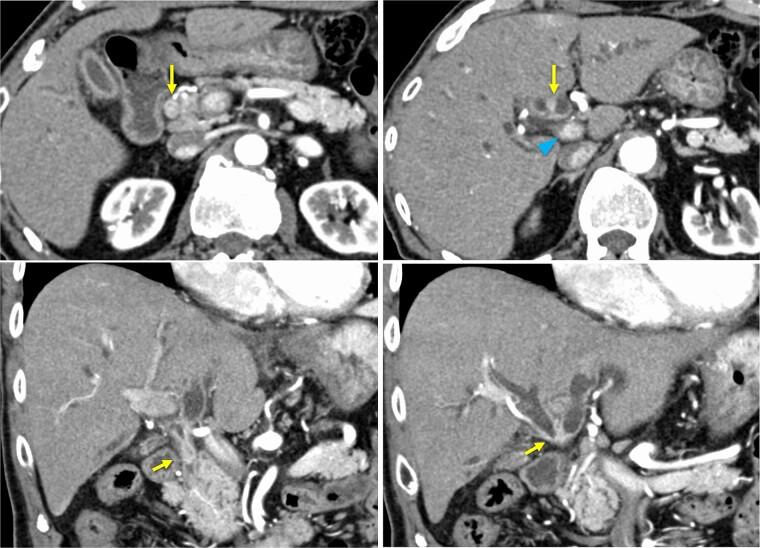
Immune thrombocytopenic purpura (ITP) is a rare autoimmune disorder. Although secondary ITP, caused by various underlying diseases, including some malignant tumors, has been reported, instances of ITP resolving after successful treatment of the underlying cause are uncommon and noteworthy. Herein, we present a case of a patient with perihilar cholangiocarcinoma (pCCA) and ITP who achieved drug-free remission of ITP following tumor resection. A 76-year-old man presented with pCCA complicated by ITP. Prednisolone treatment successfully managed his thrombocytopenia, allowing for a left hepatopancreatoduodenectomy. ITP relapse did not occur after discontinuation of prednisolone postoperatively. This case suggests that surgical resection of the underlying malignancy may induce remission of secondary ITP associated with pCCA.

摘要

免疫性血小板减少性紫癜(ITP)是一种罕见的自身免疫性疾病。虽然已经报道了由各种潜在疾病(包括一些恶性肿瘤)引起的继发性ITP,但在成功治疗潜在病因后ITP缓解的病例并不常见且值得关注。在此,我们报告一例肝门周围胆管癌(pCCA)合并ITP的患者,该患者在肿瘤切除后实现了ITP的无药缓解。一名76岁男性患者表现为pCCA合并ITP。泼尼松龙治疗成功控制了他的血小板减少症,从而得以进行左肝胰十二指肠切除术。术后停用泼尼松龙后未发生ITP复发。该病例表明,手术切除潜在恶性肿瘤可能会使与pCCA相关的继发性ITP缓解。

https://cdn.ncbi.nlm.nih.gov/pmc/blobs/761e/11427118/1954c35f441a/rjae607f1.jpg

文献检索

告别复杂PubMed语法,用中文像聊天一样搜索,搜遍4000万医学文献。AI智能推荐,让科研检索更轻松。

立即免费搜索

文件翻译

保留排版,准确专业,支持PDF/Word/PPT等文件格式,支持 12+语言互译。

免费翻译文档

深度研究

AI帮你快速写综述,25分钟生成高质量综述,智能提取关键信息,辅助科研写作。

立即免费体验