Suppr超能文献

重度囊性棘球蚴病相关免疫性血小板减少性紫癜:一例报告

Severe Cystic Echinococcosis-Associated Immune Thrombocytopenic Purpura: A Case Report.

作者信息

Bienz Marc, Morin-Ben Abdallah Sami, Greenaway Christina, Pelletier Jean Sebastien, Caplan Stephen, Knecht Hans

机构信息

Division of Hematology, Department of Medicine, Jewish General Hospital, McGill University, Montreal, QC H3T 1E2, Canada.

Division of Infectious Diseases, Department of Medicine, Jewish General Hospital, McGill University, Montreal, QC H3T 1E2, Canada.

出版信息

J Hematol. 2021 Apr;10(2):71-75. doi: 10.14740/jh789. Epub 2021 Apr 27.

Abstract

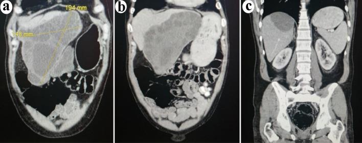
We present a case of immune thrombocytopenic purpura (ITP), which leads to the diagnosis of severe cystic echinococcosis. Our patient presented with platelets of 5 × 10/L, and investigations uncovered multiple large echinococcal hepatic cysts, the largest of which measured 19.4 × 15 × 12 cm, and peritoneal implants. While initially refractory to prednisone and immunoglobulins, the ITP responded to dexamethasone. The echinococcosis was treated with albendazole followed by surgical resection of all lesions. Our patient's disease course has evolved favorable since his initial treatment with an isolated episode of recurrent thrombocytopenia 2 years later, and has remained in remission for the past 2 years. While a causal association between echinococcosis and ITP cannot be confirmed, this case is a reminder of the importance of remaining inquisitive for atypical potential triggers of ITP. We also present a review of the limited literature on the association of parasitic infections and ITP.

摘要

我们报告一例免疫性血小板减少性紫癜(ITP)病例,该病例最终诊断为严重囊性棘球蚴病。我们的患者血小板计数为5×10/L,检查发现多个巨大的肝棘球蚴囊肿,其中最大的囊肿尺寸为19.4×15×12厘米,并且存在腹膜种植转移。虽然最初对泼尼松和免疫球蛋白治疗无效,但ITP对地塞米松有反应。棘球蚴病采用阿苯达唑治疗,随后对所有病灶进行手术切除。自最初治疗以来,我们患者的病程进展良好,仅在2年后出现过一次血小板减少复发,并且在过去2年一直处于缓解状态。虽然棘球蚴病与ITP之间的因果关系无法确定,但该病例提醒我们对于ITP非典型潜在诱因保持探究的重要性。我们还对关于寄生虫感染与ITP关联的有限文献进行了综述。

https://cdn.ncbi.nlm.nih.gov/pmc/blobs/3d5d/8110226/8717282b63eb/jh-10-071-g001.jpg

文献检索

告别复杂PubMed语法,用中文像聊天一样搜索,搜遍4000万医学文献。AI智能推荐,让科研检索更轻松。

立即免费搜索

文件翻译

保留排版,准确专业,支持PDF/Word/PPT等文件格式,支持 12+语言互译。

免费翻译文档

深度研究

AI帮你快速写综述,25分钟生成高质量综述,智能提取关键信息,辅助科研写作。

立即免费体验