• 文献检索
  • 文档翻译
  • 深度研究
  • 学术资讯
  • Suppr Zotero 插件Zotero 插件
  • 邀请有礼
  • 套餐&价格
  • 历史记录
应用&插件
Suppr Zotero 插件Zotero 插件浏览器插件Mac 客户端Windows 客户端微信小程序
定价
高级版会员购买积分包购买API积分包
服务
文献检索文档翻译深度研究API 文档MCP 服务
关于我们
关于 Suppr公司介绍联系我们用户协议隐私条款
关注我们

Suppr 超能文献

核心技术专利:CN118964589B侵权必究
粤ICP备2023148730 号-1Suppr @ 2026

文献检索

告别复杂PubMed语法,用中文像聊天一样搜索,搜遍4000万医学文献。AI智能推荐,让科研检索更轻松。

立即免费搜索

文件翻译

保留排版,准确专业,支持PDF/Word/PPT等文件格式,支持 12+语言互译。

免费翻译文档

深度研究

AI帮你快速写综述,25分钟生成高质量综述,智能提取关键信息,辅助科研写作。

立即免费体验

外耳道纤维上皮息肉:一例意外病例报告。

Fibroepithelial polyp as an unexpected pathology in the external auditory canal: a case report.

机构信息

Division of Neurotology, Otolaryngology Department, Taleghani Hospital, Shahid Beheshti University of Medical Sciences, Tehran, Iran.

Otolaryngology Department, Taleghani Hospital, Shahid Beheshti University of Medical Sciences, Tehran, Iran.

出版信息

J Med Case Rep. 2024 Sep 27;18(1):466. doi: 10.1186/s13256-024-04756-0.

DOI:10.1186/s13256-024-04756-0
PMID:39334512
原文链接:https://pmc.ncbi.nlm.nih.gov/articles/PMC11429670/
Abstract

INTRODUCTION AND IMPORTANCE

Fibroepithelial polyps are rare benign lesions with uncertain origins. They are commonly found in the skin and genitourinary system. Fibroepithelial polyps in the external auditory canal are infrequent.

CASE PRESENTATION

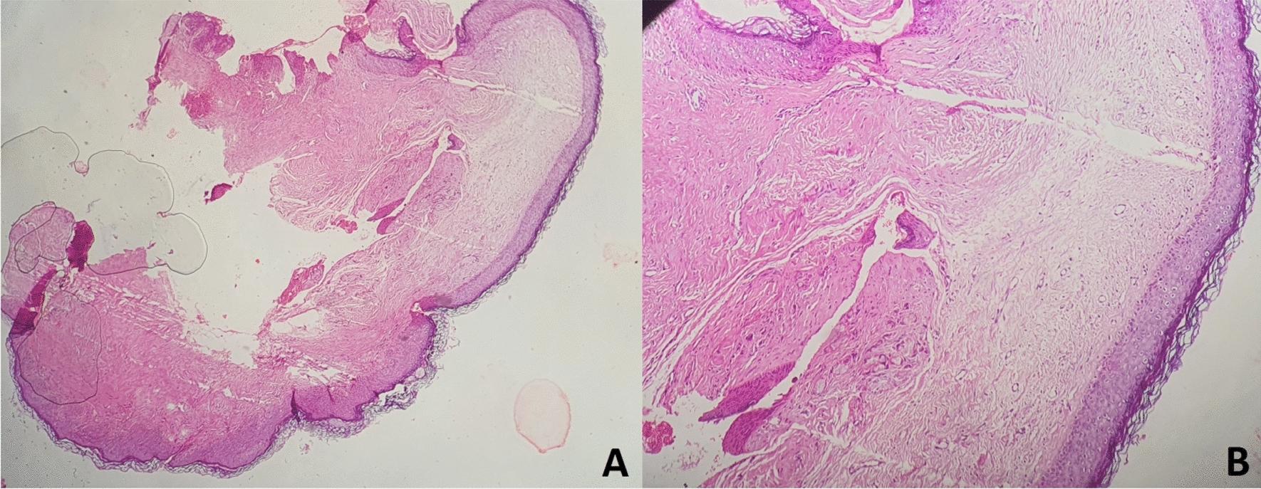
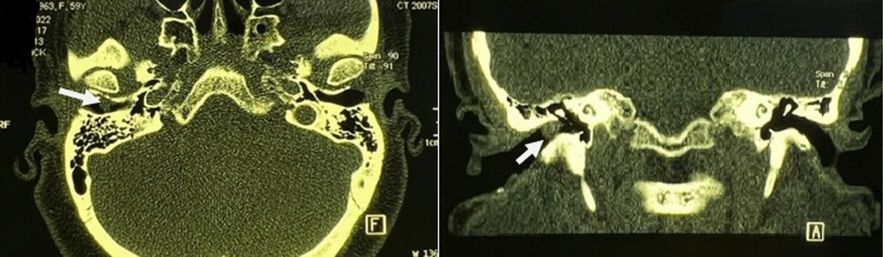
We report a 60-year-old Persian woman with an incidentally discovered painless fibroepithelial polyp in the right external auditory canal. Microscopic transcanal surgery confirmed the diagnosis after temporal computed tomography imaging showed a soft tissue mass.

CLINICAL DISCUSSION

Fibroepithelial polyps have an uncertain etiology and are typically asymptomatic. Surgical resection is the preferred treatment, and the prognosis following resection is generally favorable, with low recurrence rates.

CONCLUSION

This case highlights the rarity of fibroepithelial polyps in the external auditory canal and underscores the importance of considering them in the differential diagnosis of external auditory canal lesions.

摘要

引言和重要性

纤维上皮息肉是一种起源不明的罕见良性病变。它们常见于皮肤和泌尿生殖系统。外耳道纤维上皮息肉较为罕见。

病例介绍

我们报告了一例 60 岁的波斯女性,在右侧外耳道偶然发现无痛性纤维上皮息肉。颞骨计算机断层扫描成像显示软组织肿块后,经经耳道显微镜手术确诊。

临床讨论

纤维上皮息肉的病因不确定,通常无症状。手术切除是首选治疗方法,切除后的预后通常较好,复发率低。

结论

本病例强调了外耳道纤维上皮息肉的罕见性,并强调了在鉴别诊断外耳道病变时考虑这些病变的重要性。

https://cdn.ncbi.nlm.nih.gov/pmc/blobs/0b77/11429670/f7685899b572/13256_2024_4756_Fig2_HTML.jpg
https://cdn.ncbi.nlm.nih.gov/pmc/blobs/0b77/11429670/86fe84c2b219/13256_2024_4756_Fig1_HTML.jpg
https://cdn.ncbi.nlm.nih.gov/pmc/blobs/0b77/11429670/f7685899b572/13256_2024_4756_Fig2_HTML.jpg
https://cdn.ncbi.nlm.nih.gov/pmc/blobs/0b77/11429670/86fe84c2b219/13256_2024_4756_Fig1_HTML.jpg
https://cdn.ncbi.nlm.nih.gov/pmc/blobs/0b77/11429670/f7685899b572/13256_2024_4756_Fig2_HTML.jpg

相似文献

1
Fibroepithelial polyp as an unexpected pathology in the external auditory canal: a case report.外耳道纤维上皮息肉:一例意外病例报告。
J Med Case Rep. 2024 Sep 27;18(1):466. doi: 10.1186/s13256-024-04756-0.
2
Fibroepithelial Polyp of the External Auditory Canal in a 2-Year-Old Child.外耳道纤维上皮息肉:2 岁患儿病例报告
Ear Nose Throat J. 2022 Jan;101(1):NP10-NP12. doi: 10.1177/0145561320943343. Epub 2020 Jul 20.
3
Primary malignant melanoma of the external auditory canal: a case report with presentation as an aural polyp.外耳道原发性恶性黑色素瘤:一例以耳息肉形式表现的病例报告
Am J Otol. 1992 Mar;13(2):194-6.
4
Schwannoma with chondroid metaplasia of the external auditory canal - a rare finding in a rare location: a case report.外耳道软骨化生的神经鞘瘤——罕见部位的罕见发现:一例报告
J Med Case Rep. 2018 Mar 13;12(1):66. doi: 10.1186/s13256-018-1584-4.
5
Schwannoma of the external auditory canal.外耳道神经鞘瘤
Auris Nasus Larynx. 2005 Mar;32(1):77-9. doi: 10.1016/j.anl.2004.09.001. Epub 2004 Nov 11.
6
[Extracranial meningioma presenting as a polyp of the outer ear canal].[表现为外耳道息肉的颅外脑膜瘤]
Acta Otorrinolaringol Esp. 1999 May;50(4):316-20.
7
[Polyps of the external auditory canal and cholesteatoma].[外耳道息肉与胆脂瘤]
Acta Otorrinolaringol Esp. 1997 Aug-Sep;48(6):447-51.
8
Bronchial fibroepithelial polyp: a case report and review of the literature.支气管纤维上皮息肉:一例病例报告及文献综述
Intern Med. 2013;52(3):373-6. doi: 10.2169/internalmedicine.52.8864. Epub 2013 Feb 1.
9
Transcanal endoscopic resection for leiomyoma of the external auditory canal and a review of the literature.经耳道内镜下切除外耳道平滑肌瘤并文献复习
Auris Nasus Larynx. 2016 Feb;43(1):97-9. doi: 10.1016/j.anl.2015.05.003. Epub 2015 Jun 17.
10
Fibroepithelial polyp of palatine tonsil: a case report.腭扁桃体纤维上皮息肉:病例报告。
Pan Afr Med J. 2021 Aug 27;39:276. doi: 10.11604/pamj.2021.39.276.31057. eCollection 2021.

本文引用的文献

1
The SCARE 2023 guideline: updating consensus Surgical CAse REport (SCARE) guidelines.SCARE 2023 指南:更新共识外科病例报告(SCARE)指南。
Int J Surg. 2023 May 1;109(5):1136-1140. doi: 10.1097/JS9.0000000000000373.
2
Fibroepithelial polyp in the external auditory canal.外耳道纤维上皮性息肉。
Eur Ann Otorhinolaryngol Head Neck Dis. 2022 May;139(3):168-169. doi: 10.1016/j.anorl.2021.10.007. Epub 2021 Dec 23.
3
Fibroepithelial Polyp of the External Auditory Canal in a 2-Year-Old Child.外耳道纤维上皮息肉:2 岁患儿病例报告
Ear Nose Throat J. 2022 Jan;101(1):NP10-NP12. doi: 10.1177/0145561320943343. Epub 2020 Jul 20.
4
Fibroepithelial Polyp Arising From the Nasal Vestibule.起源于鼻前庭的纤维上皮性息肉
Ear Nose Throat J. 2021 Sep;100(5_suppl):590S-591S. doi: 10.1177/0145561319892456. Epub 2019 Dec 23.
5
Large Fibroepithelial Polyp of the Palatine Tonsil.腭扁桃体大纤维上皮性息肉
Ear Nose Throat J. 2020 May;99(4):247-248. doi: 10.1177/0145561319841203. Epub 2019 Apr 18.
6
Fibroepithelial polyp of external auditory canal.外耳道纤维上皮性息肉
Eur Ann Otorhinolaryngol Head Neck Dis. 2017 Apr;134(2):141-142. doi: 10.1016/j.anorl.2016.01.015. Epub 2016 Dec 6.
7
A case of sensorineural hearing loss involving a fibroepithelial polyp of the middle ear.一例涉及中耳纤维上皮息肉的感音神经性听力损失病例。
Am J Otolaryngol. 2015 May-Jun;36(3):475-8. doi: 10.1016/j.amjoto.2015.01.021. Epub 2015 Jan 30.
8
Fibroepithelial polyp of the epiglottis.会厌纤维上皮性息肉
Am J Case Rep. 2014 Aug 14;15:340-2. doi: 10.12659/AJCR.890924.
9
Fibroepithelial polyp of the external auditory canal: a case report and a literature review.外耳道纤维上皮性息肉:一例报告及文献复习
Case Rep Otolaryngol. 2013;2013:818197. doi: 10.1155/2013/818197. Epub 2013 May 29.
10
Retroperitoneoscopic treatment of ureteral invagination caused by a long fibroepithelial polyp protruding into the bladder: report of a case.经腹膜后镜治疗长纤维上皮息肉突入膀胱致输尿管内陷:病例报告。
Surg Today. 2011 Aug;41(8):1117-21. doi: 10.1007/s00595-010-4422-x. Epub 2011 Jul 20.