Suppr超能文献

饥饿对枪虾虎鱼肝脏中与葡萄糖和脂质代谢相关的生化、生理、形态和转录反应的影响()。 (注:原文中括号部分内容缺失,翻译只能按现有内容翻译)

Influence of Starvation on Biochemical, Physiological, Morphological, and Transcriptional Responses Associated with Glucose and Lipid Metabolism in the Liver of Javelin Goby ().

作者信息

Cui Xiangyu, Huang Xiaoyang, Chen Xiangning, Li Honghui, Wu Yanru, Yang Zikui, Liu Zhiyu, Feng Rui, Xu Jianhe, Wei Chaoqing, Ding Zhujin, Cheng Hanliang

机构信息

Jiangsu Key Laboratory of Marine Bioresources and Environment, Jiangsu Key Laboratory of Marine Biotechnology, Jiangsu Ocean University, Lianyungang 222005, China.

Key Laboratory of Cultivation and High-Value Utilization of Marine Organisms, Fisheries Research Institute of Fujian, Xiamen 361000, China.

出版信息

Animals (Basel). 2024 Sep 21;14(18):2734. doi: 10.3390/ani14182734.

Abstract

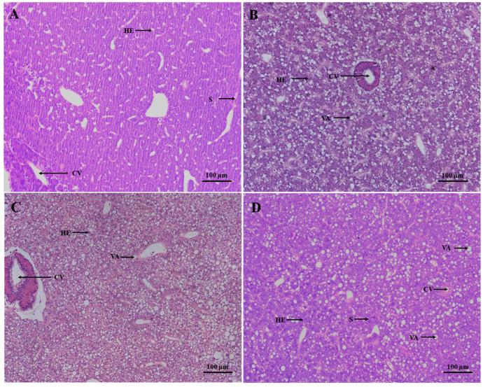
In this study, the influence of fasting on hepatic glucose and lipid metabolism was explored by examining biochemical, antioxidative, and morphological indicators and transcriptional expression in the liver of javelin goby () after 0, 3, 7, or 14 days of starvation. Marked reductions in hepatic glycogen and triglycerides occurred from the seventh day of starvation until the end of the trial ( < 0.05). However, no alterations in hepatic cholesterol or protein were detected throughout the entire experiment ( > 0.05). During fasting, the activities of pyruvate kinase, lactate dehydrogenase, and glycogen phosphorylase a all rose firstly and then fell ( < 0.05). The activities of hepatic fatty acid synthase and acetyl-CoA carboxylase were minimized to their lowest levels at the end of food deprivation ( < 0.05), while lipase was elevated after 7-14 days of fasting ( < 0.05). Catalase, glutathione, and the total antioxidative capacity were increased and maintained their higher values in the later stage of fasting ( < 0.05), whereas malondialdehyde was not significantly changed ( > 0.05). Hepatic vein congestion, remarkable cytoplasmic vacuoles, and irregular cell shape were present in which endured 3-7 days of fasting and were less pronounced when food shortage was prolonged. In terms of genes associated with glucose and lipid metabolism, the hepatic phosphofructokinase gene was constantly up-regulated during fasting ( < 0.05). However, the mRNA levels of glycogen synthase and glucose-6-phosphatase were obviously lower when the food scarcity extended to 7 days or more ( < 0.05). Fatty acid synthase, stearoyl-CoA desaturase 1, and peroxisome proliferator-activated receptor γ were substantially down-regulated in livers after 7-14 days of food deprivation ( < 0.05). However, genes involved in lipolysis and fatty acid transport were transcriptionally enhanced to varying extents and peaked at the end of fasting ( < 0.05). Overall, starvation lasting 7 days or more could concurrently mobilize hepatic carbohydrates and fat as energy resources and diminished their hepatic accumulation by suppressing biosynthesis and enhancing catabolism and transport, ultimately metabolically and structurally perturbing the liver in . This work presents preliminary data on the dynamic characteristics of hepatic glucose and lipid metabolism in in response to starvation, which may shed light on the sophisticated mechanisms of energetic homeostasis in fish facing nutrient unavailability and may benefit the utilization/conservation of .

摘要

在本研究中,通过检测饥饿0、3、7或14天后矛尾复虾虎鱼()肝脏中的生化、抗氧化和形态学指标以及转录表达,探讨了禁食对肝脏葡萄糖和脂质代谢的影响。从饥饿第7天到试验结束,肝糖原和甘油三酯显著减少(<0.05)。然而,在整个实验过程中未检测到肝脏胆固醇或蛋白质的变化(>0.05)。禁食期间,丙酮酸激酶、乳酸脱氢酶和糖原磷酸化酶a的活性均先升高后降低(<0.05)。食物剥夺结束时,肝脏脂肪酸合酶和乙酰辅酶A羧化酶的活性降至最低水平(<0.05),而脂肪酶在禁食7 - 14天后升高(<0.05)。过氧化氢酶、谷胱甘肽和总抗氧化能力在禁食后期增加并维持在较高水平(<0.05),而丙二醛无显著变化(>0.05)。经历3 - 7天禁食的矛尾复虾虎鱼出现肝静脉淤血、明显的细胞质空泡和不规则的细胞形状,食物短缺时间延长时这些变化不那么明显。在与葡萄糖和脂质代谢相关的基因方面,肝脏磷酸果糖激酶基因在禁食期间持续上调(<0.05)。然而,当食物短缺延长至7天或更长时间时,糖原合酶和葡萄糖-6-磷酸酶的mRNA水平明显降低(<0.05)。食物剥夺7 - 14天后,矛尾复虾虎鱼肝脏中的脂肪酸合酶、硬脂酰辅酶A去饱和酶1和过氧化物酶体增殖物激活受体γ显著下调(<0.05)。然而,参与脂肪分解和脂肪酸转运的基因在转录水平上有不同程度的增强,并在禁食结束时达到峰值(<0.05)。总体而言,持续7天或更长时间的饥饿可同时动员肝脏中的碳水化合物和脂肪作为能量来源,并通过抑制生物合成、增强分解代谢和转运来减少它们在肝脏中的积累,最终在代谢和结构上扰乱矛尾复虾虎鱼的肝脏。这项工作提供了矛尾复虾虎鱼肝脏葡萄糖和脂质代谢对饥饿反应的动态特征的初步数据,这可能有助于揭示鱼类在面临营养缺乏时能量稳态的复杂机制,并可能有利于矛尾复虾虎鱼的利用/保护。

https://cdn.ncbi.nlm.nih.gov/pmc/blobs/c218/11429288/3ccad95f1e55/animals-14-02734-g001.jpg

文献AI研究员

20分钟写一篇综述,助力文献阅读效率提升50倍。

立即体验

用中文搜PubMed

大模型驱动的PubMed中文搜索引擎

马上搜索

文档翻译

学术文献翻译模型,支持多种主流文档格式。

立即体验