Suppr超能文献

聚合酶链反应检测到 DNA 存在于角膜和结膜的 Parinaud 眼-腺综合征一例。

A Case of Parinaud Oculoglandular Syndrome in Which DNA Was Detected in the Cornea and Conjunctiva by Polymerase Chain Reaction.

机构信息

Department of Ophthalmology and Visual Sciences, Graduate School of Biomedical Sciences, Nagasaki University, 1-7-1 Sakamoto, Nagasaki 852-8501, Nagasaki, Japan.

Department of Infectious Diseases, Nagasaki University Hospital, 1-7-1 Sakamoto, Nagasaki 852-8102, Nagasaki, Japan.

出版信息

Medicina (Kaunas). 2024 Aug 31;60(9):1425. doi: 10.3390/medicina60091425.

Abstract

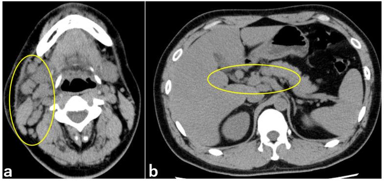
: Parinaud oculoglandular syndrome (POS) is unilateral granulomatous follicular conjunctivitis with ipsilateral afferent lymphadenopathy, primarily caused by cat-scratch disease, tularemia, and sporotrichosis. We report a case of POS in which DNA was detected using polymerase chain reaction (PCR) in corneal and conjunctival specimens. : A 29-year-old man, who started keeping a stray cat two months prior, became aware of right preauricular lymphadenopathy and right ocular conjunctival hyperemia one month prior. Subsequently, he developed a fever of approximately 37.9 °C, with a purulent ocular discharge appearing 1 week before being referred to our department for a detailed ophthalmological examination. The patient's right eye showed hyperemia and edema in the bulbar conjunctiva, along with palpebral conjunctival hyperemia, follicles, and white ulcers. Two weeks later, his serum IgM titer for was 1:20, and DNA was detected by PCR in the corneal and conjunctival specimens. Based on these findings, the patient was diagnosed with POS caused by cat-scratch disease (CSD). Oral doxycycline, rifampicin, topical gatifloxacin, betamethasone phosphate, and erythromycin eye ointments were prescribed. : After 2 weeks of oral treatment and 2 months of eye drop treatment, the deterioration of the cornea and conjunctiva improved when the patient recovered good visual acuity. : PCR assays of corneal and conjunctival specimens are useful for the diagnosis of CSD presenting with POS. These results suggested that may be directly involved in the ocular surface pathogenesis of POS.

摘要

腺性眼弓蛔虫综合征(POS)是单侧肉芽肿性滤泡性结膜炎伴同侧输入性淋巴结病,主要由猫抓病、野兔热和孢子丝菌病引起。我们报告了一例 POS 病例,通过聚合酶链反应(PCR)在角膜和结膜标本中检测到 DNA。

一名 29 岁男子,两个月前开始收养一只流浪猫,一个月前发现右耳前淋巴结肿大和右眼结膜充血。随后,他出现约 37.9°C 的发热,1 周前出现脓性眼分泌物,随后到我院进行详细眼科检查。患者右眼球结膜充血水肿,伴有睑结膜充血、滤泡和白色溃疡。两周后,其血清 IgM 滴度为 1:20,PCR 检测到角膜和结膜标本中的 DNA。根据这些发现,患者被诊断为猫抓病(CSD)引起的 POS。给予口服多西环素、利福平、局部加替沙星、磷酸倍他米松和红霉素眼膏。

经过 2 周的口服治疗和 2 个月的滴眼治疗,患者视力恢复良好,角膜和结膜恶化情况改善。

PCR 检测角膜和结膜标本对诊断表现为 POS 的 CSD 很有用。这些结果表明,可能直接参与 POS 的眼表发病机制。

https://cdn.ncbi.nlm.nih.gov/pmc/blobs/a679/11433750/188f5e6943c3/medicina-60-01425-g001.jpg

文献检索

告别复杂PubMed语法,用中文像聊天一样搜索,搜遍4000万医学文献。AI智能推荐,让科研检索更轻松。

立即免费搜索

文件翻译

保留排版,准确专业,支持PDF/Word/PPT等文件格式,支持 12+语言互译。

免费翻译文档

深度研究

AI帮你快速写综述,25分钟生成高质量综述,智能提取关键信息,辅助科研写作。

立即免费体验