• 文献检索
  • 文档翻译
  • 深度研究
  • 学术资讯
  • Suppr Zotero 插件Zotero 插件
  • 邀请有礼
  • 套餐&价格
  • 历史记录
应用&插件
Suppr Zotero 插件Zotero 插件浏览器插件Mac 客户端Windows 客户端微信小程序
定价
高级版会员购买积分包购买API积分包
服务
文献检索文档翻译深度研究API 文档MCP 服务
关于我们
关于 Suppr公司介绍联系我们用户协议隐私条款
关注我们

Suppr 超能文献

核心技术专利:CN118964589B侵权必究
粤ICP备2023148730 号-1Suppr @ 2026

文献检索

告别复杂PubMed语法,用中文像聊天一样搜索,搜遍4000万医学文献。AI智能推荐,让科研检索更轻松。

立即免费搜索

文件翻译

保留排版,准确专业,支持PDF/Word/PPT等文件格式,支持 12+语言互译。

免费翻译文档

深度研究

AI帮你快速写综述,25分钟生成高质量综述,智能提取关键信息,辅助科研写作。

立即免费体验

增强的全局蛋白乙酰化可降低胆管癌细胞的生长和迁移。

Augmented Global Protein Acetylation Diminishes Cell Growth and Migration of Cholangiocarcinoma Cells.

机构信息

Department of Biochemistry, Faculty of Medicine, Khon Kaen University, Khon Kaen 40002, Thailand.

Division of Hematopoiesis, Joint Research Center for Human Retrovirus Infection and Graduate School Medical Sciences, Kumamoto University, Kumamoto 860-0811, Japan.

出版信息

Int J Mol Sci. 2024 Sep 22;25(18):10170. doi: 10.3390/ijms251810170.

DOI:10.3390/ijms251810170
PMID:39337655
原文链接:https://pmc.ncbi.nlm.nih.gov/articles/PMC11432552/
Abstract

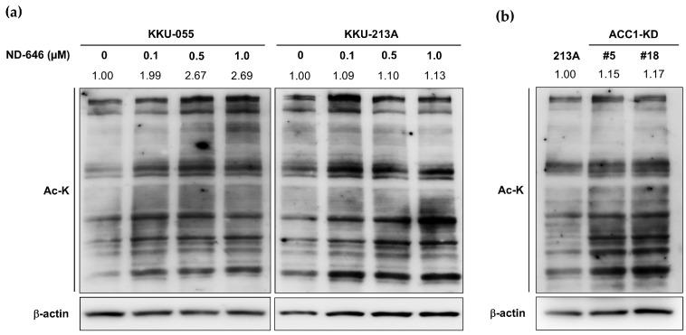
We have previously shown that the overexpression of acetyl-CoA carboxylase 1 (ACC1) was associated with the poor prognosis of cholangiocarcinoma (CCA) patients, and suppression of its expression in CCA cell lines deteriorated cell growth. The present study explored the mechanism by which ACC1 inhibition affects global protein acetylation, using genetic knockdown and pharmacological inhibition with an ACC1 inhibitor ND-646 as models. Both ACC1 knockdown and ACC1-inhibitor-treated cells displayed the hyperacetylation of proteins, accompanied by impaired growth and migration. The immunoprecipitation of hyperacetylated proteins using the anti-acetylated lysine antibody, followed by tandem mass spectrometry, identified three potential verification candidates, namely POTE ankyrin domain family member E, peroxisomal biogenesis factor 1, and heat shock protein 90 beta (HSP90B). HSP90 acetylation was the candidate selected for the verification of protein acetylation. To establish the effects of protein hyperacetylation, treatment with suberoylanilide hydroxamic acid (SAHA), a lysine deacetylase inhibitor, was conducted, and this served as an independent model. Decreased tumor growth but increased acetylated protein levels were observed in ACC1-KD xenograft tumors. Hyperacetylated-alleviated cell growth and migration were consistently observed in the SAHA-treated models. The molecular linkage between protein hyperacetylation and the AKT/GSK3β/Snail pathway was demonstrated. This study highlighted the importance of protein acetylation in CCA progression, suggesting that ACC1 and KDAC are potential targets for CCA treatment.

摘要

我们之前已经表明,乙酰辅酶 A 羧化酶 1(ACC1)的过表达与胆管癌(CCA)患者的预后不良有关,并且在 CCA 细胞系中抑制其表达会恶化细胞生长。本研究通过基因敲低和 ACC1 抑制剂 ND-646 的药理学抑制来探讨 ACC1 抑制影响全局蛋白质乙酰化的机制,作为模型。ACC1 敲低和 ACC1 抑制剂处理的细胞均表现出蛋白质的过度乙酰化,伴随生长和迁移受损。使用抗乙酰化赖氨酸抗体对过度乙酰化蛋白进行免疫沉淀,然后进行串联质谱分析,鉴定出三个潜在的验证候选物,即 POTE 锚蛋白域家族成员 E、过氧化物酶体生物发生因子 1 和热休克蛋白 90β(HSP90B)。HSP90 乙酰化是选择用于验证蛋白质乙酰化的候选物。为了建立蛋白质过度乙酰化的影响,用赖氨酸去乙酰化酶抑制剂 suberoylanilide hydroxamic acid(SAHA)进行处理,作为独立模型。在 ACC1-KD 异种移植肿瘤中观察到肿瘤生长减少但乙酰化蛋白水平增加。在 SAHA 处理的模型中观察到过度乙酰化缓解细胞生长和迁移。证明了蛋白质过度乙酰化与 AKT/GSK3β/Snail 通路之间的分子联系。这项研究强调了蛋白质乙酰化在 CCA 进展中的重要性,表明 ACC1 和 KDAC 是 CCA 治疗的潜在靶点。

https://cdn.ncbi.nlm.nih.gov/pmc/blobs/15f8/11432552/dbf6af91012a/ijms-25-10170-g009.jpg
https://cdn.ncbi.nlm.nih.gov/pmc/blobs/15f8/11432552/7a189a49b7e9/ijms-25-10170-g001.jpg
https://cdn.ncbi.nlm.nih.gov/pmc/blobs/15f8/11432552/e601484b9100/ijms-25-10170-g002.jpg
https://cdn.ncbi.nlm.nih.gov/pmc/blobs/15f8/11432552/1c2558943738/ijms-25-10170-g003.jpg
https://cdn.ncbi.nlm.nih.gov/pmc/blobs/15f8/11432552/eb2c472580e5/ijms-25-10170-g004.jpg
https://cdn.ncbi.nlm.nih.gov/pmc/blobs/15f8/11432552/af02759103b9/ijms-25-10170-g005.jpg
https://cdn.ncbi.nlm.nih.gov/pmc/blobs/15f8/11432552/c3bf0a863427/ijms-25-10170-g006.jpg
https://cdn.ncbi.nlm.nih.gov/pmc/blobs/15f8/11432552/ab2f137c469c/ijms-25-10170-g007.jpg
https://cdn.ncbi.nlm.nih.gov/pmc/blobs/15f8/11432552/bdc22fbc43b5/ijms-25-10170-g008.jpg
https://cdn.ncbi.nlm.nih.gov/pmc/blobs/15f8/11432552/dbf6af91012a/ijms-25-10170-g009.jpg
https://cdn.ncbi.nlm.nih.gov/pmc/blobs/15f8/11432552/7a189a49b7e9/ijms-25-10170-g001.jpg
https://cdn.ncbi.nlm.nih.gov/pmc/blobs/15f8/11432552/e601484b9100/ijms-25-10170-g002.jpg
https://cdn.ncbi.nlm.nih.gov/pmc/blobs/15f8/11432552/1c2558943738/ijms-25-10170-g003.jpg
https://cdn.ncbi.nlm.nih.gov/pmc/blobs/15f8/11432552/eb2c472580e5/ijms-25-10170-g004.jpg
https://cdn.ncbi.nlm.nih.gov/pmc/blobs/15f8/11432552/af02759103b9/ijms-25-10170-g005.jpg
https://cdn.ncbi.nlm.nih.gov/pmc/blobs/15f8/11432552/c3bf0a863427/ijms-25-10170-g006.jpg
https://cdn.ncbi.nlm.nih.gov/pmc/blobs/15f8/11432552/ab2f137c469c/ijms-25-10170-g007.jpg
https://cdn.ncbi.nlm.nih.gov/pmc/blobs/15f8/11432552/bdc22fbc43b5/ijms-25-10170-g008.jpg
https://cdn.ncbi.nlm.nih.gov/pmc/blobs/15f8/11432552/dbf6af91012a/ijms-25-10170-g009.jpg

相似文献

1
Augmented Global Protein Acetylation Diminishes Cell Growth and Migration of Cholangiocarcinoma Cells.增强的全局蛋白乙酰化可降低胆管癌细胞的生长和迁移。
Int J Mol Sci. 2024 Sep 22;25(18):10170. doi: 10.3390/ijms251810170.
2
Diminishing acetyl-CoA carboxylase 1 attenuates CCA migration via AMPK-NF-κB-snail axis.乙酰辅酶 A 羧化酶 1 的减少通过 AMPK-NF-κB-snail 轴减弱 CCA 迁移。
Biochim Biophys Acta Mol Basis Dis. 2023 Jun;1869(5):166694. doi: 10.1016/j.bbadis.2023.166694. Epub 2023 Mar 25.
3
MIR21 Drives Resistance to Heat Shock Protein 90 Inhibition in Cholangiocarcinoma.MIR21驱动胆管癌对热休克蛋白90抑制的抗性。
Gastroenterology. 2018 Mar;154(4):1066-1079.e5. doi: 10.1053/j.gastro.2017.10.043. Epub 2017 Nov 4.
4
Antitumor activity of celastrol by inhibition of proliferation, invasion, and migration in cholangiocarcinoma via PTEN/PI3K/Akt pathway.通过抑制 PTEN/PI3K/Akt 通路,雷公藤红素抑制胆管癌细胞增殖、侵袭和迁移从而发挥抗肿瘤活性。
Cancer Med. 2020 Jan;9(2):783-796. doi: 10.1002/cam4.2719. Epub 2019 Nov 26.
5
A PLCB1-PI3K-AKT Signaling Axis Activates EMT to Promote Cholangiocarcinoma Progression.PLCB1-PI3K-AKT 信号轴激活 EMT 促进胆管癌进展。
Cancer Res. 2021 Dec 1;81(23):5889-5903. doi: 10.1158/0008-5472.CAN-21-1538. Epub 2021 Sep 27.
6
Knockdown of tripartite motif 59 (TRIM59) inhibits proliferation in cholangiocarcinoma via the PI3K/AKT/mTOR signalling pathway.三结构域蛋白 59(TRIM59)的敲低通过 PI3K/AKT/mTOR 信号通路抑制胆管癌细胞的增殖。
Gene. 2019 May 25;698:50-60. doi: 10.1016/j.gene.2019.02.044. Epub 2019 Feb 27.
7
Targeting the PI3K/AKT/mTOR pathway offer a promising therapeutic strategy for cholangiocarcinoma patients with high doublecortin-like kinase 1 expression.针对双皮质素样激酶 1 高表达的胆管癌患者,靶向 PI3K/AKT/mTOR 通路提供了一种有前景的治疗策略。
J Cancer Res Clin Oncol. 2024 Jul 9;150(7):342. doi: 10.1007/s00432-024-05875-3.
8
Low levels of pyruvate induced by a positive feedback loop protects cholangiocarcinoma cells from apoptosis.正反馈循环诱导的低水平丙酮酸可保护胆管癌细胞免于凋亡。
Cell Commun Signal. 2019 Mar 12;17(1):23. doi: 10.1186/s12964-019-0332-8.
9
Knockdown of PSMC2 contributes to suppression of cholangiocarcinoma development by regulating CDK1.敲低 PSMC2 通过调节 CDK1 抑制胆管癌的发展。
Aging (Albany NY). 2021 Sep 9;13(17):21325-21344. doi: 10.18632/aging.203463.
10
RPL35A promotes the progression of cholangiocarcinoma by mediating HSPA8 ubiquitination.RPL35A 通过介导 HSPA8 泛素化促进胆管癌的进展。
Biol Direct. 2024 Feb 23;19(1):16. doi: 10.1186/s13062-024-00453-6.

本文引用的文献

1
Diminishing acetyl-CoA carboxylase 1 attenuates CCA migration via AMPK-NF-κB-snail axis.乙酰辅酶 A 羧化酶 1 的减少通过 AMPK-NF-κB-snail 轴减弱 CCA 迁移。
Biochim Biophys Acta Mol Basis Dis. 2023 Jun;1869(5):166694. doi: 10.1016/j.bbadis.2023.166694. Epub 2023 Mar 25.
2
PubChem 2023 update.PubChem 2023 更新。
Nucleic Acids Res. 2023 Jan 6;51(D1):D1373-D1380. doi: 10.1093/nar/gkac956.
3
Acetyl-CoA Carboxylases and Diseases.乙酰辅酶A羧化酶与疾病
Front Oncol. 2022 Mar 11;12:836058. doi: 10.3389/fonc.2022.836058. eCollection 2022.
4
Hallmarks of Cancer: New Dimensions.癌症的特征:新视角。
Cancer Discov. 2022 Jan;12(1):31-46. doi: 10.1158/2159-8290.CD-21-1059.
5
Histone Modifications and their Role in Epigenetics of Cancer.组蛋白修饰及其在癌症表观遗传学中的作用。
Curr Med Chem. 2022;29(14):2399-2411. doi: 10.2174/0929867328666211108105214.
6
Posttranslational modification and beyond: interplay between histone deacetylase 6 and heat-shock protein 90.翻译后修饰及其他方面:组蛋白去乙酰化酶6与热休克蛋白90之间的相互作用
Mol Med. 2021 Sep 16;27(1):110. doi: 10.1186/s10020-021-00375-3.
7
Five-(Tetradecyloxy)-2-furoic Acid Alleviates Cholangiocarcinoma Growth by Inhibition of Cell-cycle Progression and Induction of Apoptosis.十五烷氧基-2-糠酸通过抑制细胞周期进程和诱导细胞凋亡来缓解胆管癌生长。
Anticancer Res. 2021 Jul;41(7):3389-3400. doi: 10.21873/anticanres.15126.
8
Dissection of Anti-tumor Activity of Histone Deacetylase Inhibitor SAHA in Nasopharyngeal Carcinoma Cells Quantitative Phosphoproteomics.组蛋白去乙酰化酶抑制剂SAHA对鼻咽癌细胞的抗肿瘤活性剖析:定量磷酸化蛋白质组学
Front Cell Dev Biol. 2020 Nov 26;8:577784. doi: 10.3389/fcell.2020.577784. eCollection 2020.
9
The ARRIVE guidelines 2.0: Updated guidelines for reporting animal research.ARRIVE 指南 2.0:报告动物研究的更新指南。
PLoS Biol. 2020 Jul 14;18(7):e3000410. doi: 10.1371/journal.pbio.3000410. eCollection 2020 Jul.
10
In vitro and in vivo Anti-Tumor Effects of Pan-HER Inhibitor Varlitinib on Cholangiocarcinoma Cell Lines.泛 HER 抑制剂伐立替尼对胆管癌细胞系的体内外抗肿瘤作用。
Drug Des Devel Ther. 2020 Jun 11;14:2319-2334. doi: 10.2147/DDDT.S250061. eCollection 2020.