• 文献检索
  • 文档翻译
  • 深度研究
  • 学术资讯
  • Suppr Zotero 插件Zotero 插件
  • 邀请有礼
  • 套餐&价格
  • 历史记录
应用&插件
Suppr Zotero 插件Zotero 插件浏览器插件Mac 客户端Windows 客户端微信小程序
定价
高级版会员购买积分包购买API积分包
服务
文献检索文档翻译深度研究API 文档MCP 服务
关于我们
关于 Suppr公司介绍联系我们用户协议隐私条款
关注我们

Suppr 超能文献

核心技术专利:CN118964589B侵权必究
粤ICP备2023148730 号-1Suppr @ 2026

文献检索

告别复杂PubMed语法,用中文像聊天一样搜索,搜遍4000万医学文献。AI智能推荐,让科研检索更轻松。

立即免费搜索

文件翻译

保留排版,准确专业,支持PDF/Word/PPT等文件格式,支持 12+语言互译。

免费翻译文档

深度研究

AI帮你快速写综述,25分钟生成高质量综述,智能提取关键信息,辅助科研写作。

立即免费体验

儿童博卡病毒感染的危及生命情况——病例系列和文献复习。

Life-Threatening Conditions in Children with Bocavirus Infection-Case Series and Mini Review of the Literature.

机构信息

"Sf. Ioan cel Nou" Emergency Hospital, 720237 Suceava, Romania.

Faculty of Medicine and Biological Sciences, Stefan cel Mare University of Suceava, 720229 Suceava, Romania.

出版信息

Viruses. 2024 Aug 23;16(9):1347. doi: 10.3390/v16091347.

DOI:10.3390/v16091347
PMID:39339824
原文链接:https://pmc.ncbi.nlm.nih.gov/articles/PMC11435620/
Abstract

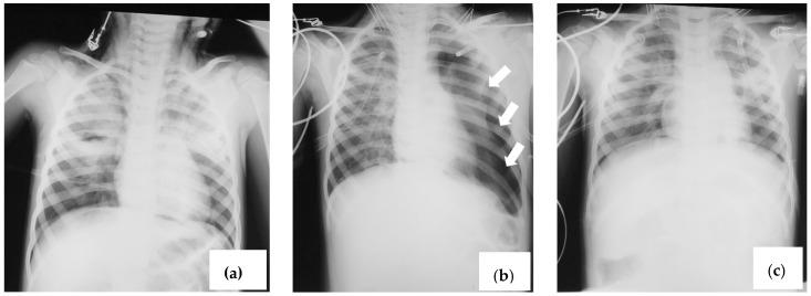
In this study, we present four cases of Human Bocavirus (HBoV) infection in children aged between 1 month and 4 years. Among these cases, two siblings were hospitalized with similar symptoms. Among the four pediatric cases of patients with HBoV infection, three were associated with acute respiratory failure and spontaneous pneumothorax, and two of these presented with subcutaneous emphysema. The presented patients were young children, aged between 1 month and 4 years, two of whom were siblings, suggesting a possible intrafamilial transmission of HBoV1 infection. These cases highlight the importance of considering HBoV as a differential diagnosis in pediatric patients with respiratory and gastrointestinal symptoms. Early recognition and appropriate medical care are important in treating HBoV infection in young children.

摘要

在本研究中,我们报告了 4 例年龄在 1 个月至 4 岁之间的儿童感染 Human Bocavirus(HBoV)的病例。其中,2 名兄弟姐妹出现了类似的症状而住院治疗。在这 4 例 HBoV 感染的儿科病例中,有 3 例与急性呼吸衰竭和自发性气胸有关,其中 2 例伴有皮下气肿。这些患儿年龄均较小,年龄在 1 个月至 4 岁之间,其中 2 例为兄弟姐妹,提示 HBoV1 感染可能存在家族内传播。这些病例强调了在有呼吸道和胃肠道症状的儿科患者中,将 HBoV 视为鉴别诊断的重要性。早期识别和适当的医疗护理对于治疗幼儿的 HBoV 感染非常重要。

https://cdn.ncbi.nlm.nih.gov/pmc/blobs/268a/11435620/e3e390166d5c/viruses-16-01347-g004.jpg
https://cdn.ncbi.nlm.nih.gov/pmc/blobs/268a/11435620/cbe182fc3a9d/viruses-16-01347-g001.jpg
https://cdn.ncbi.nlm.nih.gov/pmc/blobs/268a/11435620/8836658db640/viruses-16-01347-g002.jpg
https://cdn.ncbi.nlm.nih.gov/pmc/blobs/268a/11435620/bee0320bca47/viruses-16-01347-g003.jpg
https://cdn.ncbi.nlm.nih.gov/pmc/blobs/268a/11435620/e3e390166d5c/viruses-16-01347-g004.jpg
https://cdn.ncbi.nlm.nih.gov/pmc/blobs/268a/11435620/cbe182fc3a9d/viruses-16-01347-g001.jpg
https://cdn.ncbi.nlm.nih.gov/pmc/blobs/268a/11435620/8836658db640/viruses-16-01347-g002.jpg
https://cdn.ncbi.nlm.nih.gov/pmc/blobs/268a/11435620/bee0320bca47/viruses-16-01347-g003.jpg
https://cdn.ncbi.nlm.nih.gov/pmc/blobs/268a/11435620/e3e390166d5c/viruses-16-01347-g004.jpg

相似文献

1
Life-Threatening Conditions in Children with Bocavirus Infection-Case Series and Mini Review of the Literature.儿童博卡病毒感染的危及生命情况——病例系列和文献复习。
Viruses. 2024 Aug 23;16(9):1347. doi: 10.3390/v16091347.
2
Detection and phylogenetic analysis of in children diagnosed with acute respiratory tract infection.检测并分析急性呼吸道感染患儿中的 。
J Med Microbiol. 2020 Sep;69(9):1197-1202. doi: 10.1099/jmm.0.001243. Epub 2020 Aug 19.
3
Prevalence and Molecular Characterization of Human Bocavirus Detected in Croatian Children with Respiratory Infection.在克罗地亚患有呼吸道感染的儿童中检测到的人类博卡病毒的流行情况和分子特征。
Viruses. 2021 Aug 31;13(9):1728. doi: 10.3390/v13091728.
4
Human bocavirus-1 infection in hospitalized pediatric patients with acute respiratory tract infections.住院急性呼吸道感染儿科患者中的人博卡病毒1型感染
Microbiol Spectr. 2025 Apr;13(4):e0298524. doi: 10.1128/spectrum.02985-24. Epub 2025 Feb 25.
5
Human bocavirus in children hospitalized for acute respiratory tract infection in Rome.罗马地区因急性呼吸道感染住院的儿童中存在人类博卡病毒。
World J Pediatr. 2020 Jun;16(3):293-298. doi: 10.1007/s12519-019-00324-5. Epub 2019 Nov 27.
6
High human bocavirus viral load is associated with disease severity in children under five years of age.高载量的人博卡病毒与 5 岁以下儿童疾病的严重程度有关。
PLoS One. 2013 Apr 30;8(4):e62318. doi: 10.1371/journal.pone.0062318. Print 2013.
7
Investigation of human bocavirus in pediatric patients with respiratory tract infection.人博卡病毒在儿童呼吸道感染患者中的调查。
J Infect Dev Ctries. 2020 Oct 31;14(10):1191-1196. doi: 10.3855/jidc.12553.
8
Human bocavirus in children with acute respiratory infections in Vietnam.越南急性呼吸道感染儿童中的人博卡病毒
J Med Virol. 2014 Jun;86(6):988-94. doi: 10.1002/jmv.23789. Epub 2013 Oct 12.
9
Human bocavirus (HBoV) in children with respiratory tract infection by enzyme linked immunosorbent assay (ELISA) and qualitative polymerase chain reaction (PCR).酶联免疫吸附试验(ELISA)和定性聚合酶链反应(PCR)检测呼吸道感染患儿的人博卡病毒(HBoV)。
Virol J. 2011 May 19;8:239. doi: 10.1186/1743-422X-8-239.
10
Infections and coinfections by respiratory human bocavirus during eight seasons in hospitalized children.住院儿童八个季节期间人呼吸道博卡病毒的感染及合并感染情况
J Med Virol. 2016 Dec;88(12):2052-2058. doi: 10.1002/jmv.24562. Epub 2016 May 6.

引用本文的文献

1
Molecular epidemiological characterization of human bocavirus (HBoV) in acute respiratory infection (ARI) patients in Yucheng, China.中国禹城急性呼吸道感染(ARI)患者中人博卡病毒(HBoV)的分子流行病学特征
Front Public Health. 2025 Apr 7;13:1548907. doi: 10.3389/fpubh.2025.1548907. eCollection 2025.
2
The Role of Quantitative PCR in Evaluating the Clinical Significance of Human Bocavirus Detection in Children.实时荧光定量 PCR 技术评价人博卡病毒检测在儿童中的临床意义
Viruses. 2024 Oct 19;16(10):1637. doi: 10.3390/v16101637.

本文引用的文献

1
Plastic bronchitis associated with human bocavirus 1 infection in children.儿童感染人博卡病毒 1 相关的塑料支气管症。
Pediatr Pulmonol. 2024 Nov;59(11):2754-2760. doi: 10.1002/ppul.27113. Epub 2024 Jun 13.
2
Human bocavirus in Saudi Arabia: Molecular epidemiology and Co-infections among children with acute respiratory tract infections during 2014-2016.沙特阿拉伯的人博卡病毒:2014 - 2016年期间急性呼吸道感染儿童中的分子流行病学及合并感染情况
Heliyon. 2024 Mar 21;10(7):e28350. doi: 10.1016/j.heliyon.2024.e28350. eCollection 2024 Apr 15.
3
Analysis of a Cohort of 165 Pediatric Patients with Human Bocavirus Infection and Comparison between Mono-Infection and Respiratory Co-Infections: A Retrospective Study.
165例人博卡病毒感染儿科患者队列分析及单一感染与呼吸道合并感染的比较:一项回顾性研究
Pathogens. 2024 Jan 6;13(1):55. doi: 10.3390/pathogens13010055.
4
Case Report: Traumatic Tension Pneumothorax in a Pediatric Patient.病例报告:一名儿科患者的创伤性张力性气胸
J Educ Teach Emerg Med. 2021 Jan 15;6(1):V26-V28. doi: 10.21980/J8ZD1S. eCollection 2021 Jan.
5
Human Bocavirus in Childhood: A True Respiratory Pathogen or a "Passenger" Virus? A Comprehensive Review.儿童人博卡病毒:真正的呼吸道病原体还是“过客”病毒?全面综述。
Microorganisms. 2023 May 9;11(5):1243. doi: 10.3390/microorganisms11051243.
6
Bronchiolitis 2021-2022 epidemic: multicentric analysis of the characteristics and treatment approach in 214 children from different areas in Italy.2021-2022 年毛细支气管炎流行情况:意大利不同地区 214 例患儿特征和治疗方法的多中心分析。
Eur J Pediatr. 2023 Apr;182(4):1921-1927. doi: 10.1007/s00431-023-04853-0. Epub 2023 Feb 20.
7
Human bocavirus 1 epidemiology in children in relation to virus load and codetection.人博卡病毒 1 流行病学与病毒载量和共检测的关系。
Acta Paediatr. 2023 May;112(5):1049-1055. doi: 10.1111/apa.16699. Epub 2023 Feb 15.
8
Respiratory tract infection of fatal severe human bocavirus 1 in a 13-month-old child: A case report and literature review.一名13个月大儿童感染致命性严重人博卡病毒1型所致呼吸道感染:病例报告及文献综述
Front Pediatr. 2022 Dec 20;10:949817. doi: 10.3389/fped.2022.949817. eCollection 2022.
9
Review of risk factors, clinical manifestations, rapid diagnosis, and emergency treatment of neonatal perioperative pneumothorax.新生儿围手术期气胸的危险因素、临床表现、快速诊断及急救治疗综述
World J Clin Cases. 2022 Nov 26;10(33):12066-12076. doi: 10.12998/wjcc.v10.i33.12066.
10
Spontaneous Pneumomediastinum in a 16-Year-Old Patient with SARS-CoV-2 Infection: A North-East Romanian Case.一名感染新型冠状病毒肺炎的16岁患者的自发性纵隔气肿:罗马尼亚东北部病例
Children (Basel). 2022 Oct 27;9(11):1641. doi: 10.3390/children9111641.