• 文献检索
  • 文档翻译
  • 深度研究
  • 学术资讯
  • Suppr Zotero 插件Zotero 插件
  • 邀请有礼
  • 套餐&价格
  • 历史记录
应用&插件
Suppr Zotero 插件Zotero 插件浏览器插件Mac 客户端Windows 客户端微信小程序
定价
高级版会员购买积分包购买API积分包
服务
文献检索文档翻译深度研究API 文档MCP 服务
关于我们
关于 Suppr公司介绍联系我们用户协议隐私条款
关注我们

Suppr 超能文献

核心技术专利:CN118964589B侵权必究
粤ICP备2023148730 号-1Suppr @ 2026

文献检索

告别复杂PubMed语法,用中文像聊天一样搜索,搜遍4000万医学文献。AI智能推荐,让科研检索更轻松。

立即免费搜索

文件翻译

保留排版,准确专业,支持PDF/Word/PPT等文件格式,支持 12+语言互译。

免费翻译文档

深度研究

AI帮你快速写综述,25分钟生成高质量综述,智能提取关键信息,辅助科研写作。

立即免费体验

RBMX的去SUMO化修饰调节外泌体中货物的分选,以促进糖尿病肾病中的肾小管间质纤维化。

DeSUMOylation of RBMX regulates exosomal sorting of cargo to promote renal tubulointerstitial fibrosis in diabetic kidney disease.

作者信息

Yang Yanlin, Ren Shijing, Xue Junyu, Dong Wenhui, He Wei, Luo Jiayi, Li Xiaomin, Xu Haibin, Zheng Zongji, Wang Xiangyu, Wang Ling, Guan Meiping, Jia Yijie, Xue Yaoming

机构信息

Department of Endocrinology & Metabolism, Nanfang Hospital, Southern Medical University, Guangzhou, China; Department of Endocrinology & Metabolism, the Second Affiliated Hospital, Jiangxi Medical College, Nanchang University, Nanchang, China.

Department of Endocrinology & Metabolism, Nanfang Hospital, Southern Medical University, Guangzhou, China.

出版信息

J Adv Res. 2025 Aug;74:175-189. doi: 10.1016/j.jare.2024.09.021. Epub 2024 Sep 26.

DOI:10.1016/j.jare.2024.09.021
PMID:39341454
原文链接:https://pmc.ncbi.nlm.nih.gov/articles/PMC12302726/
Abstract

INTRODUCTION

Diabetic kidney disease (DKD) has become the primary cause of chronic renal failure in China, and renal tubulointerstitial fibrosis plays a central role in DKD progression. Urinary exosomes, which reflect kidney changes, are largely influenced by RNA-binding proteins (RBPs) in their miRNA content.

OBJECTIVES

Our research aimed to determine the effect of the RNA-binding protein RBMX on exosomal miRNA in DKD.

METHODS

We introduced a higher level of Rbmx into diabetic mice using an adenoassociated virus and isolated exosomes from their kidney tissue through advanced centrifugation techniques and specialized kits. We then conducted a series of tests, including qRT-PCR, Western blot, MitoSOX, ATP luminescence, coimmunoprecipitation, SUMOylation assays, RNA immunoprecipitation, and confocal microscopy.

RESULTS

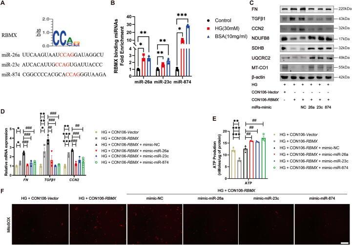
RBMX is found in higher levels in DKD and contributes to worsening kidney fibrosis, mitochondrial damage, and miRNA mismanagement in exosomes. It specifically binds with miR-26a, miR-23c, and miR-874 within the exosomes. This dysfunction may be linked to changes in RBMX SUMOylation. These miRNAs seem to protect against mitochondrial damage in kidney cells by targeting CERS6.

CONCLUSION

DeSUMOylation of RBMX plays a crucial role in determining the makeup of miRNAs in kidney cell exosomes, impacting the protective miRNAs which regulate mitochondrial damage through their interaction with CERS6 mRNA, ultimately affecting mitochondrial health in DKD.

摘要

引言

糖尿病肾病(DKD)已成为中国慢性肾衰竭的主要原因,肾小管间质纤维化在DKD进展中起核心作用。尿液外泌体反映肾脏变化,其微小RNA(miRNA)含量在很大程度上受RNA结合蛋白(RBP)影响。

目的

我们的研究旨在确定RNA结合蛋白RBMX对DKD中外泌体miRNA的影响。

方法

我们使用腺相关病毒将更高水平的Rbmx导入糖尿病小鼠体内,并通过先进的离心技术和专用试剂盒从其肾脏组织中分离外泌体。然后我们进行了一系列测试,包括qRT-PCR、蛋白质免疫印迹、线粒体超氧化物检测、ATP发光检测、免疫共沉淀、SUMO化检测、RNA免疫沉淀和共聚焦显微镜检查。

结果

在DKD中发现RBMX水平较高,并且它会导致肾脏纤维化恶化、线粒体损伤以及外泌体中miRNA管理不善。它在外泌体内与miR-26a、miR-23c和miR-874特异性结合。这种功能障碍可能与RBMX SUMO化的变化有关。这些miRNA似乎通过靶向CERS6来保护肾脏细胞免受线粒体损伤。

结论

RBMX的去SUMO化在决定肾细胞外泌体中miRNA的组成方面起着关键作用,影响通过与CERS6 mRNA相互作用来调节线粒体损伤的保护性miRNA,最终影响DKD中的线粒体健康。

https://cdn.ncbi.nlm.nih.gov/pmc/blobs/ca45/12302726/d5541a9740a4/gr8.jpg
https://cdn.ncbi.nlm.nih.gov/pmc/blobs/ca45/12302726/542ab6833849/ga1.jpg
https://cdn.ncbi.nlm.nih.gov/pmc/blobs/ca45/12302726/654f25319554/gr1.jpg
https://cdn.ncbi.nlm.nih.gov/pmc/blobs/ca45/12302726/87e908f7d588/gr2.jpg
https://cdn.ncbi.nlm.nih.gov/pmc/blobs/ca45/12302726/71156fcc5715/gr3.jpg
https://cdn.ncbi.nlm.nih.gov/pmc/blobs/ca45/12302726/e22f3df2ee18/gr4.jpg
https://cdn.ncbi.nlm.nih.gov/pmc/blobs/ca45/12302726/6e1a0bf08094/gr5.jpg
https://cdn.ncbi.nlm.nih.gov/pmc/blobs/ca45/12302726/c401abf9f71b/gr6.jpg
https://cdn.ncbi.nlm.nih.gov/pmc/blobs/ca45/12302726/2c0e00b3406b/gr7.jpg
https://cdn.ncbi.nlm.nih.gov/pmc/blobs/ca45/12302726/d5541a9740a4/gr8.jpg
https://cdn.ncbi.nlm.nih.gov/pmc/blobs/ca45/12302726/542ab6833849/ga1.jpg
https://cdn.ncbi.nlm.nih.gov/pmc/blobs/ca45/12302726/654f25319554/gr1.jpg
https://cdn.ncbi.nlm.nih.gov/pmc/blobs/ca45/12302726/87e908f7d588/gr2.jpg
https://cdn.ncbi.nlm.nih.gov/pmc/blobs/ca45/12302726/71156fcc5715/gr3.jpg
https://cdn.ncbi.nlm.nih.gov/pmc/blobs/ca45/12302726/e22f3df2ee18/gr4.jpg
https://cdn.ncbi.nlm.nih.gov/pmc/blobs/ca45/12302726/6e1a0bf08094/gr5.jpg
https://cdn.ncbi.nlm.nih.gov/pmc/blobs/ca45/12302726/c401abf9f71b/gr6.jpg
https://cdn.ncbi.nlm.nih.gov/pmc/blobs/ca45/12302726/2c0e00b3406b/gr7.jpg
https://cdn.ncbi.nlm.nih.gov/pmc/blobs/ca45/12302726/d5541a9740a4/gr8.jpg

相似文献

1
DeSUMOylation of RBMX regulates exosomal sorting of cargo to promote renal tubulointerstitial fibrosis in diabetic kidney disease.RBMX的去SUMO化修饰调节外泌体中货物的分选,以促进糖尿病肾病中的肾小管间质纤维化。
J Adv Res. 2025 Aug;74:175-189. doi: 10.1016/j.jare.2024.09.021. Epub 2024 Sep 26.
2
miR-214 and Its Primary Transcript Dnm3os Regulate Fibrosis and Inflammation Through RAGE Signaling in Diabetic Kidney Disease.微小RNA-214及其初级转录本Dnm3os通过晚期糖基化终末产物受体信号通路调控糖尿病肾病中的纤维化和炎症反应。
Diabetes. 2025 Jul 1;74(7):1205-1219. doi: 10.2337/db24-0121.
3
Renal Tissue-Derived Exosomal miRNA-34a in Diabetic Nephropathy Induces Renal Tubular Cell Fibrosis by Promoting the Polarization of M1 Macrophages.肾组织来源的外泌体 miRNA-34a 通过促进 M1 巨噬细胞极化诱导糖尿病肾病肾小管细胞纤维化。
IET Nanobiotechnol. 2024 Apr 17;2024:5702517. doi: 10.1049/2024/5702517. eCollection 2024.
4
The axis of miR-30a/AIF-1/TRPC6/calcineurin A/NFAT2 regulated the death modalities and inflammation of renal tubular epithelial cells in diabetic kidney disease via exosome.miR-30a/AIF-1/TRPC6/钙调神经磷酸酶A/NFAT2轴通过外泌体调节糖尿病肾病中肾小管上皮细胞的死亡方式和炎症反应。
Life Sci. 2025 Sep 15;377:123760. doi: 10.1016/j.lfs.2025.123760. Epub 2025 May 24.
5
Macrophage-derived exosomes promote telomere fragility and senescence in tubular epithelial cells by delivering miR-155.巨噬细胞衍生的外泌体通过递送 miR-155 促进管状上皮细胞端粒脆弱和衰老。
Cell Commun Signal. 2024 Jul 10;22(1):357. doi: 10.1186/s12964-024-01708-5.
6
EphrinB2 alleviates tubulointerstitial fibrosis in diabetic kidney disease.EphrinB2减轻糖尿病肾病中的肾小管间质纤维化。
J Transl Med. 2025 Jul 24;23(1):821. doi: 10.1186/s12967-025-06852-1.
7
Circulating exosome-circRNAs mediated downregulation of FGF9 through ceRNA mechanism aggravates renal fibrosis in diabetic nephropathy.循环外泌体circRNA通过ceRNA机制介导的FGF9下调加重糖尿病肾病中的肾纤维化。
PLoS One. 2025 Jun 17;20(6):e0326217. doi: 10.1371/journal.pone.0326217. eCollection 2025.
8
Expression and diagnostic value evaluation of urinary exosomal miR-142-3p in diabetic nephropathy.尿外泌体miR-142-3p在糖尿病肾病中的表达及诊断价值评估
Sci Rep. 2025 Jul 4;15(1):23991. doi: 10.1038/s41598-025-06002-z.
9
Cancer-Derived Exosomal LINC01615 Induces M2 Polarization of Tumor-Associated Macrophages via RBMX-EZH2 Axis to Promote Colorectal Cancer Progression.癌症来源的外泌体LINC01615通过RBMX-EZH2轴诱导肿瘤相关巨噬细胞的M2极化以促进结直肠癌进展。
Int J Nanomedicine. 2025 Jun 11;20:7343-7358. doi: 10.2147/IJN.S499381. eCollection 2025.
10
Study on the modulation of kidney and liver function of rats with diabetic nephropathy by Huidouba through metabolomics.回豆巴通过代谢组学对糖尿病肾病大鼠肝肾功 能的调节作用研究
J Ethnopharmacol. 2025 Jun 11;351:120136. doi: 10.1016/j.jep.2025.120136.

引用本文的文献

1
m6A modification of non‑coding RNA: Mechanisms, functions and potential values in human diseases (Review).非编码RNA的m6A修饰:机制、功能及在人类疾病中的潜在价值(综述)
Int J Mol Med. 2025 Oct;56(4). doi: 10.3892/ijmm.2025.5605. Epub 2025 Aug 8.
2
Stem cell-derived exosomes in complicated urinary tract infections: immunomodulatory mechanisms and potential therapeutic strategies for urothelial repair.干细胞衍生的外泌体在复杂性尿路感染中的作用:免疫调节机制及尿路上皮修复的潜在治疗策略
Stem Cell Res Ther. 2025 Aug 5;16(1):422. doi: 10.1186/s13287-025-04548-3.
3
Targeting ion channel networks in diabetic kidney disease: from molecular crosstalk to precision therapeutics and clinical innovation.

本文引用的文献

1
N-terminal α-amino SUMOylation of cofilin-1 is critical for its regulation of actin depolymerization.原肌球蛋白-1 的 N 端α-氨基酸 SUMO 化对于其调节肌动蛋白解聚至关重要。
Nat Commun. 2023 Sep 14;14(1):5688. doi: 10.1038/s41467-023-41520-2.
2
SUMOylation of RNF146 results in Axin degradation and activation of Wnt/β-catenin signaling to promote the progression of hepatocellular carcinoma.SUMOylation 修饰 RNF146 导致 Axin 降解,并激活 Wnt/β-catenin 信号通路,从而促进肝细胞癌的进展。
Oncogene. 2023 May;42(21):1728-1740. doi: 10.1038/s41388-023-02689-4. Epub 2023 Apr 7.
3
Genome-wide meta-analysis and omics integration identifies novel genes associated with diabetic kidney disease.
靶向糖尿病肾病中的离子通道网络:从分子串扰到精准治疗与临床创新
Front Med (Lausanne). 2025 Jun 26;12:1607701. doi: 10.3389/fmed.2025.1607701. eCollection 2025.
全基因组荟萃分析和组学整合鉴定出与糖尿病肾病相关的新基因。
Diabetologia. 2022 Sep;65(9):1495-1509. doi: 10.1007/s00125-022-05735-0. Epub 2022 Jun 28.
4
KRAS mutant-driven SUMOylation controls extracellular vesicle transmission to trigger lymphangiogenesis in pancreatic cancer.KRAS 突变驱动的 SUMOylation 控制细胞外囊泡的传递,从而触发胰腺癌中的淋巴管生成。
J Clin Invest. 2022 Jul 15;132(14). doi: 10.1172/JCI157644.
5
hnRNP G/RBMX enhances HPV16 E2 mRNA splicing through a novel splicing enhancer and inhibits production of spliced E7 oncogene mRNAs.hnRNP G/RBMX 通过新型剪接增强子增强 HPV16 E2 mRNA 的剪接,并抑制剪接 E7 致癌基因 mRNA 的产生。
Nucleic Acids Res. 2022 Apr 22;50(7):3867-3891. doi: 10.1093/nar/gkac213.
6
Atorvastatin Restores PPARα Inhibition of Lipid Metabolism Disorders by Downregulating miR-21 Expression to Improve Mitochondrial Function and Alleviate Diabetic Nephropathy Progression.阿托伐他汀通过下调miR-21表达恢复PPARα对脂质代谢紊乱的抑制作用,以改善线粒体功能并减轻糖尿病肾病进展。
Front Pharmacol. 2022 Feb 11;13:819787. doi: 10.3389/fphar.2022.819787. eCollection 2022.
7
Mitochondrial Regulation of Diabetic Kidney Disease.糖尿病肾病的线粒体调控
Front Med (Lausanne). 2021 Sep 27;8:745279. doi: 10.3389/fmed.2021.745279. eCollection 2021.
8
Tumor-derived exosomal miR-19b-3p facilitates M2 macrophage polarization and exosomal LINC00273 secretion to promote lung adenocarcinoma metastasis via Hippo pathway.肿瘤来源的外泌体 miR-19b-3p 促进 M2 巨噬细胞极化和外泌体 LINC00273 的分泌,通过 Hippo 通路促进肺腺癌转移。
Clin Transl Med. 2021 Sep;11(9):e478. doi: 10.1002/ctm2.478.
9
Exosomal miR-21 from tubular cells contributes to renal fibrosis by activating fibroblasts via targeting PTEN in obstructed kidneys.管状细胞来源的外泌体 miR-21 通过靶向 PTEN 激活梗阻肾脏中的成纤维细胞促进肾纤维化。
Theranostics. 2021 Aug 2;11(18):8660-8673. doi: 10.7150/thno.62820. eCollection 2021.
10
Therapeutic potential of pro-resolving mediators in diabetic kidney disease.在糖尿病肾病中促分解介质的治疗潜力。
Adv Drug Deliv Rev. 2021 Nov;178:113965. doi: 10.1016/j.addr.2021.113965. Epub 2021 Sep 8.