• 文献检索
  • 文档翻译
  • 深度研究
  • 学术资讯
  • Suppr Zotero 插件Zotero 插件
  • 邀请有礼
  • 套餐&价格
  • 历史记录
应用&插件
Suppr Zotero 插件Zotero 插件浏览器插件Mac 客户端Windows 客户端微信小程序
定价
高级版会员购买积分包购买API积分包
服务
文献检索文档翻译深度研究API 文档MCP 服务
关于我们
关于 Suppr公司介绍联系我们用户协议隐私条款
关注我们

Suppr 超能文献

核心技术专利:CN118964589B侵权必究
粤ICP备2023148730 号-1Suppr @ 2026

文献检索

告别复杂PubMed语法,用中文像聊天一样搜索,搜遍4000万医学文献。AI智能推荐,让科研检索更轻松。

立即免费搜索

文件翻译

保留排版,准确专业,支持PDF/Word/PPT等文件格式,支持 12+语言互译。

免费翻译文档

深度研究

AI帮你快速写综述,25分钟生成高质量综述,智能提取关键信息,辅助科研写作。

立即免费体验

γ-氨基丁酸受体基因变异对焦虑抑郁的影响是由杏仁核与额中回之间的功能连接介导的。

The Effects of Variation in the GABA Receptor Gene on Anxious Depression are Mediated by the Functional Connectivity Between the Amygdala and Middle Frontal Gyrus.

作者信息

Qiao Juan, Tao Shiwan, Sun Yurong, Shi Jiabo, Chen Yu, Tian Shui, Yao Zhijian, Lu Qing

机构信息

Department of Psychology, Xuzhou East Hospital Affiliated to Xuzhou Medical University, Xuzhou, People's Republic of China.

Department of Psychiatry, Brain Hospital Affiliated to Nanjing Medical University, Nanjing, People's Republic of China.

出版信息

Neuropsychiatr Dis Treat. 2024 Sep 24;20:1781-1796. doi: 10.2147/NDT.S468290. eCollection 2024.

DOI:10.2147/NDT.S468290
PMID:39346029
原文链接:https://pmc.ncbi.nlm.nih.gov/articles/PMC11438461/
Abstract

BACKGROUND

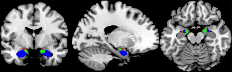
γ-aminobutyric acid (GABA) and its main receptor, the GABA receptor, are implicated in major depressive disorder (MDD). Anxious depression (AD) is deemed to be a primary subtype of MDD. The amygdala and the dorsolateral prefrontal cortex (DLPFC) are key brain regions involved in emotional regulation. These regions contain the most GABA receptors. Although the GABAergic deficit hypothesis of MDD is generally accepted, few studies have demonstrated how GABA receptor gene polymorphisms affect the functions of specific brain regions, in particular, the amygdala and the DLPFC.

METHODS

The sample comprised 83 patients with AD, 70 patients with non-anxious depression (NAD), and 62 healthy controls (HC). All participants underwent genotyping for polymorphisms of GABA receptor subunit genes, followed by a resting-state fMRI scan. The HAMD-17 was used to evaluate the severity of MDD. ANOVA was performed to obtain the difference in the imaging data, GABA receptor multi-locus genetic profile scores (MGPS), and HAMD-17 scores among three groups, then the significant differences between AD and NAD groups were identified. Mediating effect analysis was used to explore the role of functional connectivity (FC) between the amygdala and DLPFC in the association between the GABA receptor gene MGPS and AD clinical features.

RESULTS

Compared with the NAD group, the AD group had a higher GABA receptor MGPS. AD patients exhibited a negative correlation between the MGPS and FC of the right centromedial (CM) subregion, and the right middle frontal gyrus (MFG). A negative correlation was also observed between the MGPS and anxiety/somatic symptoms. More importantly, the right CM and right MFG connectivity mediated the association between the GABA receptor MGPS and anxiety/somatic symptoms in patients with AD.

CONCLUSION

The decreased FC between the right MFG and right CM subregion mediates the association between GABA receptor MGPS and AD.

摘要

背景

γ-氨基丁酸(GABA)及其主要受体GABA受体与重度抑郁症(MDD)有关。焦虑抑郁(AD)被认为是MDD的一种主要亚型。杏仁核和背外侧前额叶皮质(DLPFC)是参与情绪调节的关键脑区。这些区域含有最多的GABA受体。尽管MDD的GABA能缺陷假说已被普遍接受,但很少有研究表明GABA受体基因多态性如何影响特定脑区的功能,特别是杏仁核和DLPFC。

方法

样本包括83例AD患者、70例非焦虑抑郁(NAD)患者和62名健康对照(HC)。所有参与者均接受GABA受体亚基基因多态性的基因分型,随后进行静息态功能磁共振成像扫描。采用汉密尔顿抑郁量表17项版(HAMD-17)评估MDD的严重程度。进行方差分析以获得三组之间成像数据、GABA受体多位点基因谱评分(MGPS)和HAMD-17评分的差异,然后确定AD组和NAD组之间的显著差异。采用中介效应分析探讨杏仁核与DLPFC之间的功能连接(FC)在GABA受体基因MGPS与AD临床特征关联中的作用。

结果

与NAD组相比,AD组的GABA受体MGPS更高。AD患者的MGPS与右侧中央内侧(CM)亚区和右侧额中回(MFG)的FC呈负相关。MGPS与焦虑/躯体症状之间也观察到负相关。更重要的是,右侧CM和右侧MFG连接介导了AD患者GABA受体MGPS与焦虑/躯体症状之间的关联。

结论

右侧MFG和右侧CM亚区之间FC的降低介导了GABA受体MGPS与AD之间的关联。

https://cdn.ncbi.nlm.nih.gov/pmc/blobs/e491/11438461/67bc3f925171/NDT-20-1781-g0007.jpg
https://cdn.ncbi.nlm.nih.gov/pmc/blobs/e491/11438461/839a93571b35/NDT-20-1781-g0001.jpg
https://cdn.ncbi.nlm.nih.gov/pmc/blobs/e491/11438461/681507ff30e5/NDT-20-1781-g0002.jpg
https://cdn.ncbi.nlm.nih.gov/pmc/blobs/e491/11438461/8b61bb9f1be7/NDT-20-1781-g0003.jpg
https://cdn.ncbi.nlm.nih.gov/pmc/blobs/e491/11438461/fe02f0a5be7e/NDT-20-1781-g0004.jpg
https://cdn.ncbi.nlm.nih.gov/pmc/blobs/e491/11438461/205a88c20f63/NDT-20-1781-g0005.jpg
https://cdn.ncbi.nlm.nih.gov/pmc/blobs/e491/11438461/14bd02cdd0db/NDT-20-1781-g0006.jpg
https://cdn.ncbi.nlm.nih.gov/pmc/blobs/e491/11438461/67bc3f925171/NDT-20-1781-g0007.jpg
https://cdn.ncbi.nlm.nih.gov/pmc/blobs/e491/11438461/839a93571b35/NDT-20-1781-g0001.jpg
https://cdn.ncbi.nlm.nih.gov/pmc/blobs/e491/11438461/681507ff30e5/NDT-20-1781-g0002.jpg
https://cdn.ncbi.nlm.nih.gov/pmc/blobs/e491/11438461/8b61bb9f1be7/NDT-20-1781-g0003.jpg
https://cdn.ncbi.nlm.nih.gov/pmc/blobs/e491/11438461/fe02f0a5be7e/NDT-20-1781-g0004.jpg
https://cdn.ncbi.nlm.nih.gov/pmc/blobs/e491/11438461/205a88c20f63/NDT-20-1781-g0005.jpg
https://cdn.ncbi.nlm.nih.gov/pmc/blobs/e491/11438461/14bd02cdd0db/NDT-20-1781-g0006.jpg
https://cdn.ncbi.nlm.nih.gov/pmc/blobs/e491/11438461/67bc3f925171/NDT-20-1781-g0007.jpg

相似文献

1
The Effects of Variation in the GABA Receptor Gene on Anxious Depression are Mediated by the Functional Connectivity Between the Amygdala and Middle Frontal Gyrus.γ-氨基丁酸受体基因变异对焦虑抑郁的影响是由杏仁核与额中回之间的功能连接介导的。
Neuropsychiatr Dis Treat. 2024 Sep 24;20:1781-1796. doi: 10.2147/NDT.S468290. eCollection 2024.
2
Brain functional abnormalities in the amygdala subregions is associated with anxious depression.杏仁核亚区的大脑功能异常与焦虑性抑郁症有关。
J Affect Disord. 2020 Nov 1;276:653-659. doi: 10.1016/j.jad.2020.06.077. Epub 2020 Jul 15.
3
Brain structural and functional abnormalities in affective network are associated with anxious depression.情感网络中的大脑结构和功能异常与焦虑性抑郁症有关。
BMC Psychiatry. 2024 Jul 25;24(1):533. doi: 10.1186/s12888-024-05970-2.
4
Correlation between cognitive deficits and dorsolateral prefrontal cortex functional connectivity in first-episode depression.首发抑郁症患者认知缺陷与背外侧前额叶皮层功能连接的相关性。
J Affect Disord. 2022 Sep 1;312:152-158. doi: 10.1016/j.jad.2022.06.024. Epub 2022 Jun 22.
5
Altered functional interaction hub between affective network and cognitive control network in patients with major depressive disorder.重度抑郁症患者情感网络与认知控制网络之间功能交互枢纽的改变。
Behav Brain Res. 2016 Feb 1;298(Pt B):301-9. doi: 10.1016/j.bbr.2015.10.040. Epub 2015 Oct 28.
6
Regional cerebral metabolism alterations affect resting-state functional connectivity in major depressive disorder.局部脑代谢改变影响重度抑郁症的静息态功能连接。
Quant Imaging Med Surg. 2018 Oct;8(9):910-924. doi: 10.21037/qims.2018.10.05.
7
Reduced Resting State Neural Activity in the Right Orbital Part of Middle Frontal Gyrus in Anxious Depression.焦虑抑郁患者中额回右侧眶部静息态神经活动降低
Front Psychiatry. 2020 Jan 22;10:994. doi: 10.3389/fpsyt.2019.00994. eCollection 2019.
8
Disrupted hemispheric connectivity specialization in patients with major depressive disorder: Evidence from the REST-meta-MDD Project.重度抑郁症患者半球连接专业化中断:来自 REST-meta-MDD 项目的证据。
J Affect Disord. 2021 Apr 1;284:217-228. doi: 10.1016/j.jad.2021.02.030. Epub 2021 Feb 12.
9
Abnormal resting-state functional connectivity in subregions of amygdala in adults and adolescents with major depressive disorder.患有重度抑郁症的成年人和青少年杏仁核亚区域静息态功能连接异常。
BMC Psychiatry. 2024 Jul 31;24(1):540. doi: 10.1186/s12888-024-05977-9.
10
Alterations of functional connectivity of the lateral habenula in subclinical depression and major depressive disorder.亚临床抑郁和重度抑郁障碍中海马旁核功能连接的改变。
BMC Psychiatry. 2022 Sep 5;22(1):588. doi: 10.1186/s12888-022-04221-6.

本文引用的文献

1
Functional connectivity differences in the amygdala are related to the antidepressant efficacy of ketamine in patients with anxious depression.杏仁核的功能连接差异与氯胺酮对焦虑抑郁症患者的抗抑郁疗效相关。
J Affect Disord. 2023 Jan 1;320:29-36. doi: 10.1016/j.jad.2022.09.125. Epub 2022 Sep 28.
2
Long-term changes of parvalbumin- and somatostatin-positive interneurons of the primary motor cortex after chronic social defeat stress depend on individual stress-vulnerability.慢性社会挫败应激后,初级运动皮层中小清蛋白和生长抑素阳性中间神经元的长期变化取决于个体应激易感性。
Front Psychiatry. 2022 Jul 28;13:946719. doi: 10.3389/fpsyt.2022.946719. eCollection 2022.
3
Bottom-Up and Cognitive Top-Down Emotion Regulation: Experiential Emotion Regulation and Cognitive Reappraisal on Stress Relief and Follow-Up Sleep Physiology.
从下到上和从认知到情绪的情绪调节:应激缓解和后续睡眠生理方面的体验性情绪调节和认知重评。
Int J Environ Res Public Health. 2022 Jun 22;19(13):7621. doi: 10.3390/ijerph19137621.
4
Antianhedonic effects of serial intravenous subanaesthetic ketamine in anxious versus nonanxious depression.焦虑和非焦虑抑郁症患者连续静脉注射亚麻醉剂量氯胺酮的抗快感缺失作用。
J Affect Disord. 2022 Sep 15;313:72-76. doi: 10.1016/j.jad.2022.06.081. Epub 2022 Jun 27.
5
Association between the volume of subregions of the amygdala and major depression with suicidal thoughts and anxiety in a Chinese cohort.杏仁核亚区体积与中国队列中伴自杀意念和焦虑的重度抑郁症的相关性。
J Affect Disord. 2022 Sep 1;312:39-45. doi: 10.1016/j.jad.2022.05.122. Epub 2022 Jun 9.
6
The Distinct Characteristics of Somatostatin Neurons in the Human Brain.人脑生长抑素神经元的独特特征。
Mol Neurobiol. 2022 Aug;59(8):4953-4965. doi: 10.1007/s12035-022-02892-6. Epub 2022 Jun 4.
7
Subregions of DLPFC Display Graded yet Distinct Structural and Functional Connectivity.背外侧前额叶皮质的子区显示出分级但不同的结构和功能连接。
J Neurosci. 2022 Apr 13;42(15):3241-3252. doi: 10.1523/JNEUROSCI.1216-21.2022. Epub 2022 Mar 1.
8
A Delphi-method-based consensus guideline for definition of treatment-resistant depression for clinical trials.基于德尔菲法的临床试验中治疗抵抗性抑郁症定义的共识指南。
Mol Psychiatry. 2022 Mar;27(3):1286-1299. doi: 10.1038/s41380-021-01381-x. Epub 2021 Dec 15.
9
Reduced Brain Gray Matter Volume in Patients With First-Episode Major Depressive Disorder: A Quantitative Meta-Analysis.首发重度抑郁症患者脑灰质体积减少:一项定量荟萃分析。
Front Psychiatry. 2021 Jul 1;12:671348. doi: 10.3389/fpsyt.2021.671348. eCollection 2021.
10
Looking for Novelty in an "Old" Receptor: Recent Advances Toward Our Understanding of GABARs and Their Implications in Receptor Pharmacology.探寻“旧”受体中的新发现:我们对GABARs的理解及其在受体药理学中的意义的最新进展
Front Neurosci. 2021 Jan 14;14:616298. doi: 10.3389/fnins.2020.616298. eCollection 2020.