• 文献检索
  • 文档翻译
  • 深度研究
  • 学术资讯
  • Suppr Zotero 插件Zotero 插件
  • 邀请有礼
  • 套餐&价格
  • 历史记录
应用&插件
Suppr Zotero 插件Zotero 插件浏览器插件Mac 客户端Windows 客户端微信小程序
定价
高级版会员购买积分包购买API积分包
服务
文献检索文档翻译深度研究API 文档MCP 服务
关于我们
关于 Suppr公司介绍联系我们用户协议隐私条款
关注我们

Suppr 超能文献

核心技术专利:CN118964589B侵权必究
粤ICP备2023148730 号-1Suppr @ 2026

文献检索

告别复杂PubMed语法,用中文像聊天一样搜索,搜遍4000万医学文献。AI智能推荐,让科研检索更轻松。

立即免费搜索

文件翻译

保留排版,准确专业,支持PDF/Word/PPT等文件格式,支持 12+语言互译。

免费翻译文档

深度研究

AI帮你快速写综述,25分钟生成高质量综述,智能提取关键信息,辅助科研写作。

立即免费体验

转移性肠道腺癌:罕见累及下颌骨病例

Metastatic Intestinal Adenocarcinoma: A Rare Case Involving the Mandible.

机构信息

Department of Oral and Maxillofacial Pathology, Manipal College of Dental Sciences, Manipal, Manipal Academy of Higher Education, Manipal, Karnataka, India.

Department of Oral and Maxillofacial Surgery, Manipal College of Dental Sciences, Manipal, Manipal Academy of Higher Education, Manipal, Karnataka, India.

出版信息

Head Neck Pathol. 2024 Sep 30;18(1):91. doi: 10.1007/s12105-024-01697-4.

DOI:10.1007/s12105-024-01697-4
PMID:39348031
原文链接:https://pmc.ncbi.nlm.nih.gov/articles/PMC11442947/
Abstract

BACKGROUND

Metastatic intestinal adenocarcinoma involving the mandible is rare, posing diagnostic challenges because of its unusual presentation.

CASE PRESENTATION

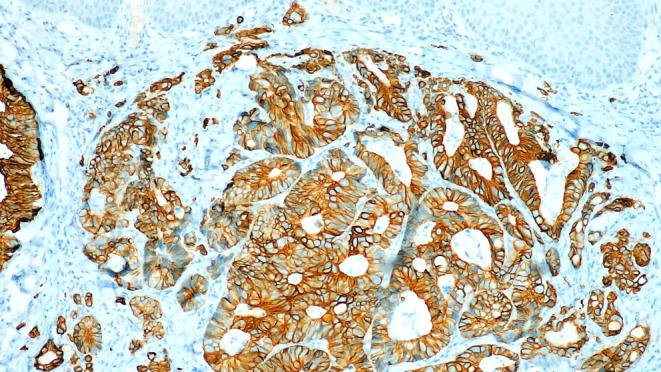
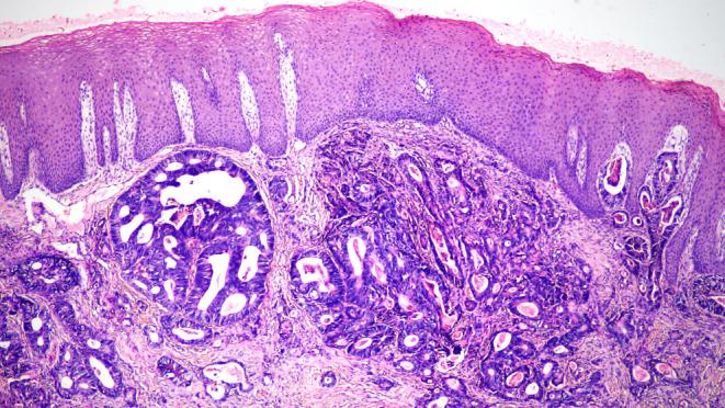
A 55-year-old male presented with a rapidly growing mass in the right mandible, accompanied by facial asymmetry and vestibular obliteration. Histopathological examinations revealed features consistent with adenocarcinoma. Immunohistochemical analysis supported the diagnosis of intestinal adenocarcinoma, with subsequent metastasis confirmed by PET scan findings.

DIAGNOSIS

The lesion was conclusively diagnosed as intestinal adenocarcinoma metastasizing to the mandible.

MANAGEMENT

The patient pursued treatment at a government facility, leading to a loss of follow-up.

摘要

背景

转移性结直肠腺癌累及下颌骨较为罕见,因其表现不典型,故诊断具有挑战性。

病例介绍

一名 55 岁男性因右侧下颌骨迅速生长的肿块、面部不对称和前庭闭塞就诊。组织病理学检查显示符合腺癌的特征。免疫组化分析支持肠腺癌的诊断,随后 PET 扫描结果证实转移。

诊断

该病变最终诊断为转移性结直肠腺癌至下颌骨。

治疗

患者在政府机构接受治疗,随后失去随访。

https://cdn.ncbi.nlm.nih.gov/pmc/blobs/0b2e/11442947/fee420a71d1e/12105_2024_1697_Fig6_HTML.jpg
https://cdn.ncbi.nlm.nih.gov/pmc/blobs/0b2e/11442947/cde475155462/12105_2024_1697_Fig1_HTML.jpg
https://cdn.ncbi.nlm.nih.gov/pmc/blobs/0b2e/11442947/e5f090160abd/12105_2024_1697_Fig2_HTML.jpg
https://cdn.ncbi.nlm.nih.gov/pmc/blobs/0b2e/11442947/b6c754272b2a/12105_2024_1697_Fig3_HTML.jpg
https://cdn.ncbi.nlm.nih.gov/pmc/blobs/0b2e/11442947/10af419ebf8d/12105_2024_1697_Fig4_HTML.jpg
https://cdn.ncbi.nlm.nih.gov/pmc/blobs/0b2e/11442947/c5e6813590dd/12105_2024_1697_Fig5_HTML.jpg
https://cdn.ncbi.nlm.nih.gov/pmc/blobs/0b2e/11442947/fee420a71d1e/12105_2024_1697_Fig6_HTML.jpg
https://cdn.ncbi.nlm.nih.gov/pmc/blobs/0b2e/11442947/cde475155462/12105_2024_1697_Fig1_HTML.jpg
https://cdn.ncbi.nlm.nih.gov/pmc/blobs/0b2e/11442947/e5f090160abd/12105_2024_1697_Fig2_HTML.jpg
https://cdn.ncbi.nlm.nih.gov/pmc/blobs/0b2e/11442947/b6c754272b2a/12105_2024_1697_Fig3_HTML.jpg
https://cdn.ncbi.nlm.nih.gov/pmc/blobs/0b2e/11442947/10af419ebf8d/12105_2024_1697_Fig4_HTML.jpg
https://cdn.ncbi.nlm.nih.gov/pmc/blobs/0b2e/11442947/c5e6813590dd/12105_2024_1697_Fig5_HTML.jpg
https://cdn.ncbi.nlm.nih.gov/pmc/blobs/0b2e/11442947/fee420a71d1e/12105_2024_1697_Fig6_HTML.jpg

相似文献

1
Metastatic Intestinal Adenocarcinoma: A Rare Case Involving the Mandible.转移性肠道腺癌:罕见累及下颌骨病例
Head Neck Pathol. 2024 Sep 30;18(1):91. doi: 10.1007/s12105-024-01697-4.
2
Metastatic adenocarcinoma of the colon presenting as a mass in the mandible.以颌骨肿块为表现的结肠转移性腺癌。
Head Neck. 2005 Aug;27(8):729-32. doi: 10.1002/hed.20224.
3
Metastatic renal cell carcinoma to the mandible: report of case.
J Oral Surg. 1981 Feb;39(2):130-3.
4
Lower lip numbness in a patient with colorectal cancer.一名结直肠癌患者出现下唇麻木。
BMJ Case Rep. 2011 Apr 15;2011:bcr0120113682. doi: 10.1136/bcr.01.2011.3682.
5
Pancreatic adenocarcinoma presenting as mandibular tumor: case report.胰腺腺癌表现为下颌骨肿瘤:病例报告。
Oral Surg Oral Med Oral Pathol Oral Radiol. 2014 Jan;117(1):23-6. doi: 10.1016/j.oooo.2013.08.009. Epub 2013 Oct 31.
6
[Condylar reconstruction after resection of an intracapsular stomach carcinoma metastasis].[囊内胃癌转移灶切除术后的髁突重建]
Mund Kiefer Gesichtschir. 2003 Sep;7(5):306-10. doi: 10.1007/s10006-003-0496-6. Epub 2003 Sep 16.
7
Metastatic prostate cancer mimicking primary osteosarcoma of the jaw: an infrequent clinical case.转移性前列腺癌酷似颌骨原发性骨肉瘤:1例罕见临床病例
South Med J. 2008 Jun;101(6):657-9. doi: 10.1097/SMJ.0b013e318172f6dc.
8
[Mandibular metastases from colonic adenocarcinoma].[结肠腺癌的下颌骨转移]
Harefuah. 1990 Mar 1;118(5):258-60.
9
Dental pulp metastases and pan-osseous mandibular involvement with mammary adenocarcinoma.牙髓转移及乳腺腺癌累及下颌骨全骨
Br J Oral Maxillofac Surg. 1984 Dec;22(6):455-61. doi: 10.1016/0266-4356(84)90053-6.
10
Metastatic adenocarcinoma involving several bones of the body and the cranio-maxillofacial region: a case report.转移性腺癌累及身体多处骨骼及颅颌面区域:一例报告
J Can Dent Assoc. 2009 Apr;75(3):211-4.

本文引用的文献

1
Primary intestinal-type adenocarcinoma of the buccal mucosa: A case report and literature review.原发性口腔黏膜肠型腺癌 1 例报告并文献复习
Oral Surg Oral Med Oral Pathol Oral Radiol. 2019 Feb;127(2):e61-e70. doi: 10.1016/j.oooo.2018.05.010. Epub 2018 May 30.
2
Primary intestinal-type adenocarcinoma of the oral tongue: Case report and review of histologic origin and oncologic management.原发性舌口腔型肠型腺癌:病例报告及组织起源和肿瘤治疗的回顾。
Head Neck. 2018 Jul;40(7):E68-E72. doi: 10.1002/hed.25203. Epub 2018 May 13.
3
Intestinal-Type Adenocarcinoma: Classification, Immunophenotype, Molecular Features and Differential Diagnosis.
肠型腺癌:分类、免疫表型、分子特征及鉴别诊断
Head Neck Pathol. 2017 Sep;11(3):295-300. doi: 10.1007/s12105-017-0800-7. Epub 2017 Mar 20.
4
Metastatic adenocarcinoma of the colon presenting as a mass in the mandible.以颌骨肿块为表现的结肠转移性腺癌。
Head Neck. 2005 Aug;27(8):729-32. doi: 10.1002/hed.20224.