• 文献检索
  • 文档翻译
  • 深度研究
  • 学术资讯
  • Suppr Zotero 插件Zotero 插件
  • 邀请有礼
  • 套餐&价格
  • 历史记录
应用&插件
Suppr Zotero 插件Zotero 插件浏览器插件Mac 客户端Windows 客户端微信小程序
定价
高级版会员购买积分包购买API积分包
服务
文献检索文档翻译深度研究API 文档MCP 服务
关于我们
关于 Suppr公司介绍联系我们用户协议隐私条款
关注我们

Suppr 超能文献

核心技术专利:CN118964589B侵权必究
粤ICP备2023148730 号-1Suppr @ 2026

文献检索

告别复杂PubMed语法,用中文像聊天一样搜索,搜遍4000万医学文献。AI智能推荐,让科研检索更轻松。

立即免费搜索

文件翻译

保留排版,准确专业,支持PDF/Word/PPT等文件格式,支持 12+语言互译。

免费翻译文档

深度研究

AI帮你快速写综述,25分钟生成高质量综述,智能提取关键信息,辅助科研写作。

立即免费体验

牙源性眶蜂窝织炎的临床和影像学特征

Clinical and radiological characteristics of odontogenic orbital cellulitis.

作者信息

Tumuluri Vinay, Tong Jessica Y, Tumuluri Krishna, Selva Dinesh

机构信息

Faculty of Health and Medical Sciences, School of Dentistry, University of Adelaide, Adelaide, Australia.

Department of Ophthalmology & Visual Sciences, University of Adelaide, North Terrace, 5000, Adelaide, South Australia, Australia.

出版信息

J Ophthalmic Inflamm Infect. 2024 Oct 1;14(1):48. doi: 10.1186/s12348-024-00422-0.

DOI:10.1186/s12348-024-00422-0
PMID:39352433
原文链接:https://pmc.ncbi.nlm.nih.gov/articles/PMC11445216/
Abstract

PURPOSE

To assess the radiological features and clinical outcomes of odontogenic orbital cellulitis.

METHOD

Multi-centre retrospective study of odontogenic orbital cellulitis. Primary outcomes assessed were causal organism(s), clinical signs, radiological findings, management and visual outcomes.

RESULTS

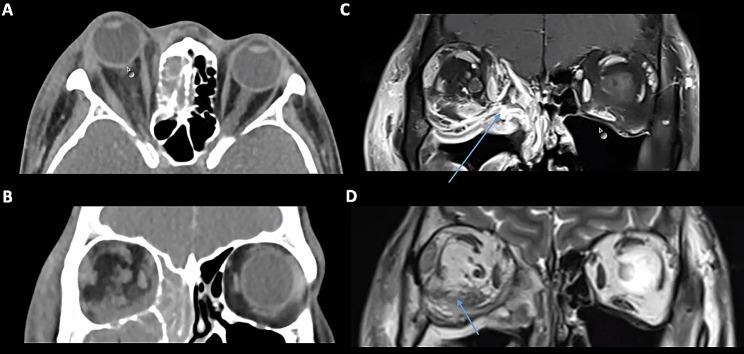
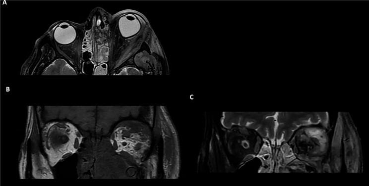
Four patients with odontogenic orbital cellulitis were identified for inclusion. There was an equal proportion of men and women with a mean age of 43 years (range 25-56 years). All patients presented with an orbital compartment syndrome, with visual acuity of counting fingers (n = 1, 25%), hand movements (n = 1, 25%) and no perception of light (n = 2, 50%). The organisms implicated were Streptococcus milleri (n = 3, 75%) and Streptococcus constellatus (n = 1, 25%). MRI findings showed a subperiosteal abscess was present in all cases, which was characterised radiologically as a T1-hyperintense, T2 minimally hyperintense collection with restricted diffusion and a low apparent diffusion coefficient signal. Final visual acuity ranged from 6/6 to no light perception. One patient required an orbital exenteration due to extensive necrosis with sepsis and systemic deterioration.

CONCLUSIONS

Odontogenic orbital cellulitis carries a serious risk of vision loss with a propensity to present with an orbital compartment syndrome secondary to Streptococcus species. Outcomes were highly variable, with two cases progressing to blindness of which one required an orbital exenteration.

摘要

目的

评估牙源性眶蜂窝织炎的影像学特征及临床结局。

方法

对牙源性眶蜂窝织炎进行多中心回顾性研究。评估的主要结局包括致病微生物、临床体征、影像学表现、治疗及视力结局。

结果

确定纳入4例牙源性眶蜂窝织炎患者。男女比例相等,平均年龄43岁(范围25 - 56岁)。所有患者均出现眶间隔综合征,视力分别为指数(n = 1,25%)、手动(n = 1,25%)和无光感(n = 2,50%)。涉及的微生物为米勒链球菌(n = 3,75%)和星座链球菌(n = 1,25%)。MRI表现显示所有病例均存在骨膜下脓肿,其影像学特征为T1高信号、T2轻度高信号,弥散受限,表观扩散系数信号低。最终视力范围从6/6到无光感。1例患者因广泛坏死伴脓毒症和全身状况恶化而需要进行眶内容摘除术。

结论

牙源性眶蜂窝织炎存在严重的视力丧失风险,倾向于继发链球菌属感染而出现眶间隔综合征。结局差异很大,2例进展为失明,其中1例需要进行眶内容摘除术。

https://cdn.ncbi.nlm.nih.gov/pmc/blobs/b481/11445216/72ec293fcb0f/12348_2024_422_Figf_HTML.jpg
https://cdn.ncbi.nlm.nih.gov/pmc/blobs/b481/11445216/3b98459bcae5/12348_2024_422_Figa_HTML.jpg
https://cdn.ncbi.nlm.nih.gov/pmc/blobs/b481/11445216/5c1b996e7b96/12348_2024_422_Figb_HTML.jpg
https://cdn.ncbi.nlm.nih.gov/pmc/blobs/b481/11445216/f6d7a1b33eff/12348_2024_422_Figc_HTML.jpg
https://cdn.ncbi.nlm.nih.gov/pmc/blobs/b481/11445216/3579fd373e49/12348_2024_422_Figd_HTML.jpg
https://cdn.ncbi.nlm.nih.gov/pmc/blobs/b481/11445216/c8bb38d6d0e2/12348_2024_422_Fige_HTML.jpg
https://cdn.ncbi.nlm.nih.gov/pmc/blobs/b481/11445216/72ec293fcb0f/12348_2024_422_Figf_HTML.jpg
https://cdn.ncbi.nlm.nih.gov/pmc/blobs/b481/11445216/3b98459bcae5/12348_2024_422_Figa_HTML.jpg
https://cdn.ncbi.nlm.nih.gov/pmc/blobs/b481/11445216/5c1b996e7b96/12348_2024_422_Figb_HTML.jpg
https://cdn.ncbi.nlm.nih.gov/pmc/blobs/b481/11445216/f6d7a1b33eff/12348_2024_422_Figc_HTML.jpg
https://cdn.ncbi.nlm.nih.gov/pmc/blobs/b481/11445216/3579fd373e49/12348_2024_422_Figd_HTML.jpg
https://cdn.ncbi.nlm.nih.gov/pmc/blobs/b481/11445216/c8bb38d6d0e2/12348_2024_422_Fige_HTML.jpg
https://cdn.ncbi.nlm.nih.gov/pmc/blobs/b481/11445216/72ec293fcb0f/12348_2024_422_Figf_HTML.jpg

相似文献

1
Clinical and radiological characteristics of odontogenic orbital cellulitis.牙源性眶蜂窝织炎的临床和影像学特征
J Ophthalmic Inflamm Infect. 2024 Oct 1;14(1):48. doi: 10.1186/s12348-024-00422-0.
2
Case Report: Vision Loss in a Child Caused by Streptococcus constellatus.病例报告:由星座链球菌引起的儿童视力丧失。
Optom Vis Sci. 2023 Oct 1;100(10):721-725. doi: 10.1097/OPX.0000000000002062. Epub 2023 Aug 29.
3
Odontogenic orbital cellulitis associated with cavernous sinus thrombosis and pulmonary embolism: a case report.牙源性眶蜂窝织炎合并海绵窦血栓形成和肺栓塞:一例报告
J Med Case Rep. 2017 Jun 20;11(1):164. doi: 10.1186/s13256-017-1309-0.
4
Necrotizing Orbital Cellulitis Secondary to Odontogenic Streptococcus constellatus.
Ophthalmic Plast Reconstr Surg. 2018 Sep/Oct;34(5):e160-e162. doi: 10.1097/IOP.0000000000001185.
5
Odontogenic orbital cellulitis.牙源性眶蜂窝织炎
Ophthalmic Plast Reconstr Surg. 2008 Jan-Feb;24(1):29-35. doi: 10.1097/IOP.0b013e318160c950.
6
Microbiology of orbital cellulitis with subperiosteal abscess in children: Prevalence and characteristics of group infection.儿童眶蜂窝织炎伴骨膜下脓肿的微生物学:群感染的流行情况和特征。
Orbit. 2022 Apr;41(2):204-210. doi: 10.1080/01676830.2020.1862247. Epub 2021 Jan 1.
7
A case of odontogenic orbital cellulitis causing blindness by severe tension orbit.一例因严重张力性眼眶导致失明的牙源性眶蜂窝织炎。
J Korean Med Sci. 2013 Feb;28(2):340-3. doi: 10.3346/jkms.2013.28.2.340. Epub 2013 Jan 29.
8
Outcome of treated orbital cellulitis in a tertiary eye care center in the middle East.中东一家三级眼科护理中心治疗眼眶蜂窝织炎的结果
Ophthalmology. 2007 Feb;114(2):345-54. doi: 10.1016/j.ophtha.2006.07.059.
9
Odontogenic orbital inflammation.牙源性眼眶炎症。
Rom J Ophthalmol. 2020 Apr-Jun;64(2):116-121.
10
Fatal Orbital Cellulitis With Intracranial Abscess: A Case Report.致命性眼眶蜂窝织炎合并颅内脓肿:一例报告
Cureus. 2023 Jul 25;15(7):e42435. doi: 10.7759/cureus.42435. eCollection 2023 Jul.

本文引用的文献

1
Surgical Approaches in Odontogenic Orbital Cellulitis (OOC): Our Experience and Review of Literature.牙源性眶蜂窝织炎(OOC)的手术治疗方法:我们的经验及文献综述
Indian J Otolaryngol Head Neck Surg. 2022 Dec;74(Suppl 3):4552-4561. doi: 10.1007/s12070-021-02576-y. Epub 2021 May 2.
2
Microbiological profile of aerobic and anaerobic bacteria and its clinical significance in antibiotic sensitivity of odontogenic space infection: A prospective study of 5 years.需氧菌和厌氧菌的微生物学特征及其在牙源性间隙感染抗生素敏感性中的临床意义:一项为期5年的前瞻性研究
Natl J Maxillofac Surg. 2021 Sep-Dec;12(3):372-379. doi: 10.4103/njms.NJMS_1_20. Epub 2021 Dec 13.
3
Orbital cellulitis and osteomyelitis secondary to odontogenic infection with campylobacter rectus: a case report.
直型弯曲菌致牙源性感染引起眶蜂窝织炎和骨髓炎:病例报告。
Orbit. 2023 Apr;42(2):221-223. doi: 10.1080/01676830.2021.1990349. Epub 2021 Dec 13.
4
Blindness Secondary to Odontogenic Orbital Cellulitis During the COVID-19 Dental Shutdown.
Ophthalmic Plast Reconstr Surg. 2021;37(5):e194. doi: 10.1097/IOP.0000000000002020.
5
CT definition of the surgical apex in the orbit.眶部手术顶点的 CT 定义。
Sci Rep. 2021 May 26;11(1):11016. doi: 10.1038/s41598-021-90419-9.
6
Neonatal tooth infection resulting in subperiosteal orbital abscess: A case report.新生儿牙感染致骨膜下眶脓肿:病例报告。
Int J Pediatr Otorhinolaryngol. 2021 Jan;140:110524. doi: 10.1016/j.ijporl.2020.110524. Epub 2020 Nov 28.
7
Odontogenic Abscess With Orbital Extension Through the Inferior Orbital Fissure Treated With Bony Decompression.经骨性减压治疗经下眶裂扩展的牙源性脓肿。
Ophthalmic Plast Reconstr Surg. 2020 Sep/Oct;36(5):e131-e134. doi: 10.1097/IOP.0000000000001655.
8
Preseptal and Postseptal Orbital Cellulitis of Odontogenic Origin.牙源性眶隔前及眶隔后蜂窝织炎
Cureus. 2019 Jul 6;11(7):e5087. doi: 10.7759/cureus.5087.
9
Orbital Subperiosteal Abscess Associated with Mandibular Wisdom Tooth Infection: A Case Report.与下颌智齿感染相关的眶骨膜下脓肿:一例报告
J Maxillofac Oral Surg. 2019 Mar;18(1):30-33. doi: 10.1007/s12663-017-1074-z. Epub 2017 Dec 14.
10
Sinonasal-Related Orbital Infections in Children: A Clinical and Therapeutic Overview.儿童鼻窦相关眼眶感染:临床与治疗概述
J Clin Med. 2019 Jan 16;8(1):101. doi: 10.3390/jcm8010101.