• 文献检索
  • 文档翻译
  • 深度研究
  • 学术资讯
  • Suppr Zotero 插件Zotero 插件
  • 邀请有礼
  • 套餐&价格
  • 历史记录
应用&插件
Suppr Zotero 插件Zotero 插件浏览器插件Mac 客户端Windows 客户端微信小程序
定价
高级版会员购买积分包购买API积分包
服务
文献检索文档翻译深度研究API 文档MCP 服务
关于我们
关于 Suppr公司介绍联系我们用户协议隐私条款
关注我们

Suppr 超能文献

核心技术专利:CN118964589B侵权必究
粤ICP备2023148730 号-1Suppr @ 2026

文献检索

告别复杂PubMed语法,用中文像聊天一样搜索,搜遍4000万医学文献。AI智能推荐,让科研检索更轻松。

立即免费搜索

文件翻译

保留排版,准确专业,支持PDF/Word/PPT等文件格式,支持 12+语言互译。

免费翻译文档

深度研究

AI帮你快速写综述,25分钟生成高质量综述,智能提取关键信息,辅助科研写作。

立即免费体验

垂体梭形细胞嗜酸细胞瘤:两例报告及文献复习

Pituitary spindle cell oncocytoma: Two cases report and literature review.

作者信息

Hsieh Yi-Ying, Chien Shuo-Chi, Tsai Hong-Chieh, Wei Kuo-Chen, Chuang Chi-Cheng, Jung Shih-Ming

机构信息

Department of Neurosurgery, Chang Gung Memorial Hospital, Linkou Center, Taoyuan City, Taiwan.

Department of Neurosurgery, Chang Gung Memorial Hospital, Linkou Center, Taoyuan City, Taiwan.

出版信息

Int J Surg Case Rep. 2024 Nov;124:110328. doi: 10.1016/j.ijscr.2024.110328. Epub 2024 Sep 21.

DOI:10.1016/j.ijscr.2024.110328
PMID:39353313
原文链接:https://pmc.ncbi.nlm.nih.gov/articles/PMC11472096/
Abstract

INTRODUCTION

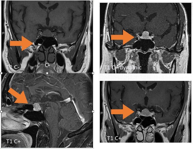
Pituitary spindle cell oncocytoma (PSCO) is a seldom-encountered type of pituitary neoplasm with distinctive histological features. It was first described as a distinct entity by Roncaroli et al. in 2002. We present two cases of PSCO and discuss its clinical, radiological, and histopathological features, along with a review of the existing literature.

PRESENTATION OF CASE

Two cases underwent trans-nasal transsphenoidal surgery for tumor resection and had different treatment following would be discussed in this article. Both had unique pathology pattern as Pituitary spindle cell oncocytoma.

DISCUSSION

Tumors positive for TTF-1 in the sellar region, such as pituicytoma, granular cell tumor, and spindle cell oncocytoma, originate from the posterior pituitary gland and are rare. The expression of thyroid transcription factor-1 (TTF-1) in these tumors aids in distinguishing them from other pituitary neoplasms.

CONCLUSION

Pituitary spindle cell oncocytoma is a rare entity among pituitary tumors. This case report highlights the clinical, radiological, histopathological, and immunohistochemical features of PSCO. Surgeons and pathologists should consider this rare diagnosis in patients with sellar and suprasellar masses, as early recognition and complete surgical resection can lead to favorable outcomes.

摘要

引言

垂体梭形细胞嗜酸细胞瘤(PSCO)是一种罕见的垂体肿瘤类型,具有独特的组织学特征。它于2002年被龙卡罗利等人首次描述为一种独特的实体。我们报告两例PSCO病例,并讨论其临床、放射学和组织病理学特征,同时回顾现有文献。

病例介绍

两例患者均接受了经鼻蝶窦手术以切除肿瘤,术后接受了不同的治疗,本文将对此进行讨论。两例均具有垂体梭形细胞嗜酸细胞瘤独特的病理模式。

讨论

鞍区中甲状腺转录因子-1(TTF-1)阳性的肿瘤,如垂体细胞瘤、颗粒细胞瘤和梭形细胞嗜酸细胞瘤,起源于垂体后叶,较为罕见。这些肿瘤中甲状腺转录因子-1(TTF-1)的表达有助于将它们与其他垂体肿瘤区分开来。

结论

垂体梭形细胞嗜酸细胞瘤在垂体肿瘤中是一种罕见的实体。本病例报告突出了PSCO的临床、放射学、组织病理学和免疫组化特征。对于鞍区和鞍上肿块患者,外科医生和病理学家应考虑这种罕见的诊断,因为早期识别和完整的手术切除可带来良好的结果。

https://cdn.ncbi.nlm.nih.gov/pmc/blobs/93f8/11472096/6b9b3aa574a5/gr2.jpg
https://cdn.ncbi.nlm.nih.gov/pmc/blobs/93f8/11472096/d839616c805a/gr1.jpg
https://cdn.ncbi.nlm.nih.gov/pmc/blobs/93f8/11472096/6b9b3aa574a5/gr2.jpg
https://cdn.ncbi.nlm.nih.gov/pmc/blobs/93f8/11472096/d839616c805a/gr1.jpg
https://cdn.ncbi.nlm.nih.gov/pmc/blobs/93f8/11472096/6b9b3aa574a5/gr2.jpg

相似文献

1
Pituitary spindle cell oncocytoma: Two cases report and literature review.垂体梭形细胞嗜酸细胞瘤:两例报告及文献复习
Int J Surg Case Rep. 2024 Nov;124:110328. doi: 10.1016/j.ijscr.2024.110328. Epub 2024 Sep 21.
2
Pituitary spindle cell oncocytoma presented as pituitary apoplexy.垂体梭形细胞嗜酸细胞瘤表现为垂体卒中。
J Surg Case Rep. 2019 Jun 14;2019(6):rjz179. doi: 10.1093/jscr/rjz179. eCollection 2019 Jun.
3
Clinical features and endoscopic findings of granular cell tumor of the sellar region: A case report and review of the literature.鞍区颗粒细胞瘤的临床特征及内镜检查结果:1例病例报告并文献复习
Surg Neurol Int. 2020 May 9;11:101. doi: 10.25259/SNI_111_2020. eCollection 2020.
4
Spindle cell oncocytoma of the pituitary gland.垂体细胞 spindle 细胞瘤。
J Neurosurg. 2018 Oct 19;131(2):517-525. doi: 10.3171/2018.4.JNS18211. Print 2019 Aug 1.
5
Supra-sellar granular cell tumor: Report of a case with literature review.鞍上颗粒细胞瘤:1例报告并文献复习
Int J Surg Case Rep. 2023 Nov;112:108977. doi: 10.1016/j.ijscr.2023.108977. Epub 2023 Oct 24.
6
Update on hypophysitis and TTF-1 expressing sellar region masses.关于垂体炎和 TTF-1 表达的鞍区肿块的最新进展。
Brain Pathol. 2013 Sep;23(5):495-514. doi: 10.1111/bpa.12068. Epub 2013 Jul 5.
7
Pituicytoma: Review of commonalities and distinguishing features among TTF-1 positive tumors of the central nervous system.垂体细胞瘤:中枢神经系统TTF-1阳性肿瘤的共性与鉴别特征综述
Ann Diagn Pathol. 2017 Aug;29:57-61. doi: 10.1016/j.anndiagpath.2017.05.004. Epub 2017 May 11.
8
Rare Thyroid Transcription Factor 1-Positive Tumors of the Sellar Region: Barrow Neurological Institute Retrospective Case Series.鞍区罕见甲状腺转录因子 1 阳性肿瘤:巴罗神经学研究所回顾性病例系列。
World Neurosurg. 2019 Sep;129:e294-e302. doi: 10.1016/j.wneu.2019.05.132. Epub 2019 May 24.
9
Posterior pituitary tumours: patient outcomes and determinants of disease recurrence or persistence.垂体后叶肿瘤:患者预后及疾病复发或持续存在的决定因素
Endocr Connect. 2021 Apr;10(4):387-400. doi: 10.1530/EC-20-0621.
10
Welcoming the new WHO classification of pituitary tumors 2017: revolution in TTF-1-positive posterior pituitary tumors.欢迎 2017 年世界卫生组织垂体肿瘤分类:TTF-1 阳性垂体后叶肿瘤的革命。
Brain Tumor Pathol. 2018 Apr;35(2):62-70. doi: 10.1007/s10014-018-0311-6. Epub 2018 Mar 2.

引用本文的文献

1
Histopathological Types, Clinical Presentation, Imaging Studies, Treatment Strategies, and Prognosis of Posterior Pituitary Tumors: An Updated Review.垂体后叶肿瘤的组织病理学类型、临床表现、影像学研究、治疗策略及预后:最新综述
J Clin Med. 2025 Jun 26;14(13):4553. doi: 10.3390/jcm14134553.
2
Pituitary Spindle Cell Oncocytoma: More than a Grade 1 Tumor?垂体梭形细胞嗜酸细胞瘤:不止是1级肿瘤?
Neurol Int. 2025 Jan 22;17(2):16. doi: 10.3390/neurolint17020016.