Suppr超能文献

垂体梭形细胞嗜酸细胞瘤表现为垂体卒中。

Pituitary spindle cell oncocytoma presented as pituitary apoplexy.

作者信息

Yip Chi-Man, Lee Huai-Pao, Hsieh Pin-Pen

机构信息

Division of Neurosurgery, Kaohsiung Veterans General Hospital, Kaohsiung, Taiwan, R.O.C.

Department of Pathology and Laboratory Medicine, Kaohsiung Veterans General Hospital, Taiwan, R.O.C.

出版信息

J Surg Case Rep. 2019 Jun 14;2019(6):rjz179. doi: 10.1093/jscr/rjz179. eCollection 2019 Jun.

Abstract

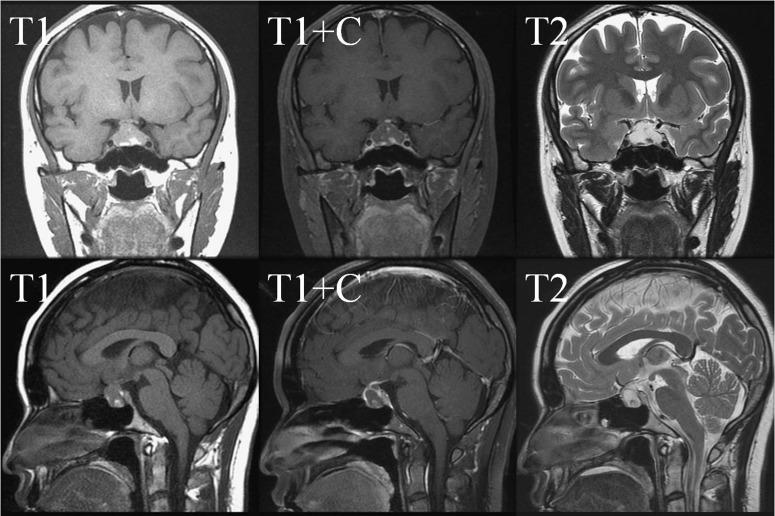
Spindle cell oncocytoma is a rare nonfunctioning neoplasm of the adenohypophysis, and was first described in 2002 by Roncaroli In 2007, spindle cell oncocytoma has been categorized as a separate entity by the World Health Organization (WHO) and is classified as a Grade 1 tumor of the central nervous system. Spindle cell oncocytoma of pituitary gland usually occurs in adults and accounts for 0.1-0.4% of all sellar region tumors. Clinically and radiologically, they are indistinguishable from nonfunctioning pituitary adenomas. From 2002 to 2018, approximately 46 cases of spindle cell oncocytoma of pituitary gland had been reported in the English literature and we would like to report a case of 28-year-old woman presented with pituitary apoplexy proved to be a case of spindle cell oncocytoma of pituitary gland which probably will be the 47th reported case.

摘要

梭形细胞嗜酸细胞瘤是一种罕见的腺垂体无功能性肿瘤,于2002年由龙卡罗利首次描述。2007年,世界卫生组织(WHO)将梭形细胞嗜酸细胞瘤归类为一个独立的实体,并将其列为中枢神经系统1级肿瘤。垂体梭形细胞嗜酸细胞瘤通常发生于成年人,占所有鞍区肿瘤的0.1 - 0.4%。在临床和影像学上,它们与无功能性垂体腺瘤无法区分。从2002年到2018年,英文文献中报道了约46例垂体梭形细胞嗜酸细胞瘤病例,我们在此报告一例28岁女性垂体卒中患者,经证实为垂体梭形细胞嗜酸细胞瘤,这可能是第47例报道病例。

https://cdn.ncbi.nlm.nih.gov/pmc/blobs/5db0/6565827/51da7741525f/rjz179f01.jpg

文献AI研究员

20分钟写一篇综述,助力文献阅读效率提升50倍。

立即体验

用中文搜PubMed

大模型驱动的PubMed中文搜索引擎

马上搜索

文档翻译

学术文献翻译模型,支持多种主流文档格式。

立即体验