• 文献检索
  • 文档翻译
  • 深度研究
  • 学术资讯
  • Suppr Zotero 插件Zotero 插件
  • 邀请有礼
  • 套餐&价格
  • 历史记录
应用&插件
Suppr Zotero 插件Zotero 插件浏览器插件Mac 客户端Windows 客户端微信小程序
定价
高级版会员购买积分包购买API积分包
服务
文献检索文档翻译深度研究API 文档MCP 服务
关于我们
关于 Suppr公司介绍联系我们用户协议隐私条款
关注我们

Suppr 超能文献

核心技术专利:CN118964589B侵权必究
粤ICP备2023148730 号-1Suppr @ 2026

文献检索

告别复杂PubMed语法,用中文像聊天一样搜索,搜遍4000万医学文献。AI智能推荐,让科研检索更轻松。

立即免费搜索

文件翻译

保留排版,准确专业,支持PDF/Word/PPT等文件格式,支持 12+语言互译。

免费翻译文档

深度研究

AI帮你快速写综述,25分钟生成高质量综述,智能提取关键信息,辅助科研写作。

立即免费体验

一名慢性淋巴细胞白血病合并浆细胞瘤患者的诊断与管理

Diagnosis and Management of a Patient With Chronic Lymphocytic Leukemia and a Concurrent Plasmacytoma.

作者信息

Thor Danielle C, Umrani Rohan, Bergal Jack, Yang Charles, Gordon Richard

机构信息

Department of Internal Medicine Thomas Jefferson University, Philadelphia, Pennsylvania, USA.

出版信息

Case Rep Oncol Med. 2024 Sep 24;2024:8870681. doi: 10.1155/2024/8870681. eCollection 2024.

DOI:10.1155/2024/8870681
PMID:39355346
原文链接:https://pmc.ncbi.nlm.nih.gov/articles/PMC11444798/
Abstract

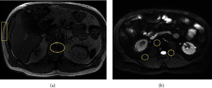
Chronic lymphocytic leukemia (CLL) typically presents as an indolent disease with a benign disposition in most patients. In select patients, CLL can progress into a more aggressive disease via its original morphology, following a Richter transformation to an alternative non-Hodgkin's lymphoma, or with the concomitant development of multiple myeloma. In an extremely rare subset of individuals with CLL, an extramedullary plasmacytoma may coexist. This case report seeks to describe the diagnosis and treatment of a patient with concurrent CLL and a plasmacytoma.

摘要

慢性淋巴细胞白血病(CLL)在大多数患者中通常表现为一种惰性疾病,具有良性病程。在部分患者中,CLL可通过其原始形态进展为侵袭性更强的疾病,发生里氏转化成为另一种非霍奇金淋巴瘤,或同时合并多发性骨髓瘤。在CLL患者的一个极其罕见的亚组中,可能并存髓外浆细胞瘤。本病例报告旨在描述一名同时患有CLL和浆细胞瘤患者的诊断和治疗情况。

https://cdn.ncbi.nlm.nih.gov/pmc/blobs/5918/11444798/37c0fc343c44/CRIONM2024-8870681.001.jpg
https://cdn.ncbi.nlm.nih.gov/pmc/blobs/5918/11444798/37c0fc343c44/CRIONM2024-8870681.001.jpg
https://cdn.ncbi.nlm.nih.gov/pmc/blobs/5918/11444798/37c0fc343c44/CRIONM2024-8870681.001.jpg

相似文献

1
Diagnosis and Management of a Patient With Chronic Lymphocytic Leukemia and a Concurrent Plasmacytoma.一名慢性淋巴细胞白血病合并浆细胞瘤患者的诊断与管理
Case Rep Oncol Med. 2024 Sep 24;2024:8870681. doi: 10.1155/2024/8870681. eCollection 2024.
2
Rituximab: a review of its use in non-Hodgkin's lymphoma and chronic lymphocytic leukaemia.利妥昔单抗:用于非霍奇金淋巴瘤和慢性淋巴细胞白血病的综述
Drugs. 2003;63(8):803-43. doi: 10.2165/00003495-200363080-00005.
3
Unusual Extramedullary Plasmacytoma: A Rare but Possible Cause of Lymphadenopathy in Chronic Lymphocytic Leukemia.不寻常的髓外浆细胞瘤:慢性淋巴细胞白血病患者淋巴结病的一种罕见但可能的病因。
Case Rep Med. 2015;2015:657049. doi: 10.1155/2015/657049. Epub 2015 Jul 7.
4
Richter syndrome: A rare complication of chronic lymphocytic leukemia or small lymphocytic lymphoma.里氏综合征:慢性淋巴细胞白血病或小淋巴细胞淋巴瘤的一种罕见并发症。
Adv Clin Exp Med. 2018 Dec;27(12):1683-1689. doi: 10.17219/acem/75903.
5
Hodgkin's lymphoma as a rare variant of Richter's transformation in chronic lymphocytic leukemia: A case report and review of the literature.霍奇金淋巴瘤作为慢性淋巴细胞白血病里氏转化的一种罕见变体:一例病例报告及文献综述
Mol Clin Oncol. 2016 Mar;4(3):390-392. doi: 10.3892/mco.2016.727. Epub 2016 Jan 8.
6
Hodgkin's variant of Richter transformation in chronic lymphocytic leukemia; a retrospective study from the Israeli CLL study group.慢性淋巴细胞白血病中的里希特转化霍奇金淋巴瘤变异型:以色列 CLL 研究组的回顾性研究。
Anticancer Res. 2014 Feb;34(2):785-90.
7
Computed tomography textural analysis for the differentiation of chronic lymphocytic leukemia and diffuse large B cell lymphoma of Richter syndrome.计算机断层扫描纹理分析在慢性淋巴细胞白血病和里希特综合征弥漫性大 B 细胞淋巴瘤中的鉴别诊断。
Eur Radiol. 2019 Dec;29(12):6911-6921. doi: 10.1007/s00330-019-06291-9. Epub 2019 Jun 24.
8
Angioimmunoblastic T-Cell Lymphoma and Chronic Lymphocytic Leukemia/Small Lymphocytic Lymphoma: A Novel Form of Composite Lymphoma Potentially Mimicking Richter Syndrome.血管免疫母细胞性 T 细胞淋巴瘤和慢性淋巴细胞白血病/小淋巴细胞淋巴瘤:一种潜在模拟里希特综合征的新型复合淋巴瘤形式。
Am J Surg Pathol. 2021 Jun 1;45(6):773-786. doi: 10.1097/PAS.0000000000001646.
9
Chronic Lymphocytic Leukemia with Divergent Richter's Transformation into a Clonally Related Classical Hodgkin's and Plasmablastic Lymphoma: A Case Report.慢性淋巴细胞白血病伴不同类型的里氏转化为克隆相关的经典型霍奇金淋巴瘤和浆母细胞淋巴瘤:一例报告
Case Rep Oncol. 2020 Feb 13;13(1):120-129. doi: 10.1159/000505683. eCollection 2020 Jan-Apr.
10
Richter Transformation Arising From Chronic Lymphocytic Leukemia.慢性淋巴细胞白血病引起的 Richter 转化。
Clin J Oncol Nurs. 2022 Feb 1;26(1):14-17. doi: 10.1188/22.CJON.14-17.

本文引用的文献

1
Next-Generation Sequencing for Clinical Management of Multiple Myeloma: Ready for Prime Time?用于多发性骨髓瘤临床管理的下一代测序:准备好进入黄金时代了吗?
Front Oncol. 2020 Feb 25;10:189. doi: 10.3389/fonc.2020.00189. eCollection 2020.
2
Cancer statistics, 2020.癌症统计数据,2020 年。
CA Cancer J Clin. 2020 Jan;70(1):7-30. doi: 10.3322/caac.21590. Epub 2020 Jan 8.
3
Next-generation sequencing in chronic lymphocytic leukemia: recent findings and new horizons.慢性淋巴细胞白血病中的下一代测序:最新发现与新视野
Oncotarget. 2017 Jul 24;8(41):71234-71248. doi: 10.18632/oncotarget.19525. eCollection 2017 Sep 19.
4
Unusual Extramedullary Plasmacytoma: A Rare but Possible Cause of Lymphadenopathy in Chronic Lymphocytic Leukemia.不寻常的髓外浆细胞瘤:慢性淋巴细胞白血病患者淋巴结病的一种罕见但可能的病因。
Case Rep Med. 2015;2015:657049. doi: 10.1155/2015/657049. Epub 2015 Jul 7.
5
Second malignancies and Richter's syndrome in patients with chronic lymphocytic leukemia.慢性淋巴细胞白血病患者的第二原发性恶性肿瘤及里氏综合征
Hematology. 2004 Oct-Dec;9(5-6):387-400. doi: 10.1080/10245330400018599.
6
Chronic lymphocytic leukemia complicated by plasmacytoma originating from different clones.慢性淋巴细胞白血病合并源自不同克隆的浆细胞瘤。
Leuk Lymphoma. 2000 Sep;39(1-2):203-7. doi: 10.3109/10428190009053555.
7
Extramedullary plasmacytoma: tumor occurrence and therapeutic concepts.髓外浆细胞瘤:肿瘤发生与治疗理念
Cancer. 1999 Jun 1;85(11):2305-14.
8
Transformation of chronic lymphocytic leukemia to plasmacytoma.慢性淋巴细胞白血病转化为浆细胞瘤。
Cancer. 1984 Nov 1;54(9):1904-7. doi: 10.1002/1097-0142(19841101)54:9<1904::aid-cncr2820540921>3.0.co;2-e.