• 文献检索
  • 文档翻译
  • 深度研究
  • 学术资讯
  • Suppr Zotero 插件Zotero 插件
  • 邀请有礼
  • 套餐&价格
  • 历史记录
应用&插件
Suppr Zotero 插件Zotero 插件浏览器插件Mac 客户端Windows 客户端微信小程序
定价
高级版会员购买积分包购买API积分包
服务
文献检索文档翻译深度研究API 文档MCP 服务
关于我们
关于 Suppr公司介绍联系我们用户协议隐私条款
关注我们

Suppr 超能文献

核心技术专利:CN118964589B侵权必究
粤ICP备2023148730 号-1Suppr @ 2026

文献检索

告别复杂PubMed语法,用中文像聊天一样搜索,搜遍4000万医学文献。AI智能推荐,让科研检索更轻松。

立即免费搜索

文件翻译

保留排版,准确专业,支持PDF/Word/PPT等文件格式,支持 12+语言互译。

免费翻译文档

深度研究

AI帮你快速写综述,25分钟生成高质量综述,智能提取关键信息,辅助科研写作。

立即免费体验

病例报告:一种新型FBXW7基因变异导致全面发育迟缓。

Case report: A novel FBXW7 gene variant causes global developmental delay.

作者信息

Wang Yu, Ma Xiaoping, Li Hua, Dai Yanrui, Wang Xiaochen, Liu Li

机构信息

College of Clinical Medicine, Ningxia Medical University, Yinchuan, China.

Department of Pediatric Rehabilitation, The First People's Hospital of Yinchuan, Yinchuan, China.

出版信息

Front Genet. 2024 Sep 19;15:1436462. doi: 10.3389/fgene.2024.1436462. eCollection 2024.

DOI:10.3389/fgene.2024.1436462
PMID:39364007
原文链接:https://pmc.ncbi.nlm.nih.gov/articles/PMC11446863/
Abstract

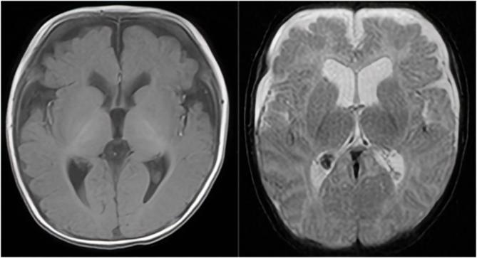
To investigate a case of neurodevelopmental disorder caused by mutation of . Clinical data were collected from the patient, trio-WES (whole-exome sequencing) was performed on the patient and his parents (trio), and the results were verified by Sanger sequencing. RESULTS: The patient was a 2-year and 1-month old male who presented with facial dysmorphism (prominent forehead, ocular hypertelorism, and low nasal bridge), global developmental delay, language impairment, hypertonia, labial hemangioma, hydrocele, and overgrowth. The trio-WES confirmed that the child had a pathogenic gene variant, c.1612C>T (p.G1n538*), a heretofore unreported locus. This case of developmental delay, hypotonia, and impaired language (OMIM: #620012) related to a mutation in , is a rare genetic disorder, newly identified in recent years, and seldom reported. The presence of hypertonia, labial hemangioma, and hydrocele in this child suggests significant phenotypic heterogeneity of the disease, and the discovery of new mutant loci enriches the spectrum of pathogenic variants of the disease.

摘要

为调查一例由……突变引起的神经发育障碍病例。收集了该患者的临床资料,对患者及其父母进行了三联全外显子测序(trio-WES),并通过桑格测序对结果进行了验证。结果:该患者为一名2岁1个月大的男性,表现为面部畸形(前额突出、眼距增宽、鼻梁低平)、全面发育迟缓、语言障碍、肌张力亢进、唇部血管瘤、鞘膜积液和生长过速。三联全外显子测序证实该患儿有一个致病基因变异,c.1612C>T(p.Gln538*),这是一个此前未报道的位点。这例与……突变相关的发育迟缓、肌张力减退和语言障碍(OMIM:#620012)病例是一种近年来新发现的罕见遗传病,鲜有报道。该患儿存在肌张力亢进、唇部血管瘤和鞘膜积液,提示该病具有显著的表型异质性,新突变位点的发现丰富了该病的致病变异体谱。

https://cdn.ncbi.nlm.nih.gov/pmc/blobs/4cc6/11446863/4ca213a84153/fgene-15-1436462-g002.jpg
https://cdn.ncbi.nlm.nih.gov/pmc/blobs/4cc6/11446863/e6072d0823af/fgene-15-1436462-g001.jpg
https://cdn.ncbi.nlm.nih.gov/pmc/blobs/4cc6/11446863/4ca213a84153/fgene-15-1436462-g002.jpg
https://cdn.ncbi.nlm.nih.gov/pmc/blobs/4cc6/11446863/e6072d0823af/fgene-15-1436462-g001.jpg
https://cdn.ncbi.nlm.nih.gov/pmc/blobs/4cc6/11446863/4ca213a84153/fgene-15-1436462-g002.jpg

相似文献

1
Case report: A novel FBXW7 gene variant causes global developmental delay.病例报告:一种新型FBXW7基因变异导致全面发育迟缓。
Front Genet. 2024 Sep 19;15:1436462. doi: 10.3389/fgene.2024.1436462. eCollection 2024.
2
Case report : a novel ASXL3 gene variant in a Sudanese boy.病例报告:苏丹男孩新型 ASXL3 基因突变。
BMC Pediatr. 2021 Dec 9;21(1):557. doi: 10.1186/s12887-021-03038-8.
3
Trio exome sequencing identified a novel de novo WASF1 missense variant leading to recurrent site substitution in a Chinese patient with developmental delay, microcephaly, and early-onset seizures: A mutational hotspot p.Trp161 and literature review.三例外显子组测序鉴定出一个新的从头 WASF1 错义变异,导致一名中国发育迟缓、小头畸形和早发性癫痫患者的反复出现的位点取代:一个突变热点 p.Trp161 和文献复习。
Clin Chim Acta. 2021 Dec;523:10-18. doi: 10.1016/j.cca.2021.08.030. Epub 2021 Aug 31.
4
Clinical use of whole exome sequencing in children with developmental delay/intellectual disability.全外显子组测序在儿童发育迟缓/智力障碍中的临床应用。
Pediatr Neonatol. 2024 Sep;65(5):445-450. doi: 10.1016/j.pedneo.2023.05.015. Epub 2024 Jan 23.
5
Wiedemann-Steiner Syndrome with a Pathogenic Variant in from Taiwan.来自台湾的携带致病变异的维德曼-施泰纳综合征。
Children (Basel). 2021 Oct 22;8(11):952. doi: 10.3390/children8110952.
6
[Analysis of clinical features and genetic variants in a child with autosomal recessive cutis laxa due to variants of ATP6V0A2 gene].[ATP6V0A2基因变异所致常染色体隐性遗传性皮肤松弛症患儿的临床特征及基因变异分析]
Zhonghua Yi Xue Yi Chuan Xue Za Zhi. 2022 Oct 10;39(10):1135-1139. doi: 10.3760/cma.j.cn511374-20210928-00784.
7
Phenotypic and genetic analysis of children with unexplained neurodevelopmental delay and neurodevelopmental comorbidities in a Chinese cohort using trio-based whole-exome sequencing.采用基于三亲的全外显子组测序对中国队列中不明原因神经发育迟缓及神经发育合并症患儿进行表型和遗传学分析。
Orphanet J Rare Dis. 2024 May 19;19(1):205. doi: 10.1186/s13023-024-03214-w.
8
Genetic analysis and literature review of a Poirier-Bienvenu neurodevelopmental syndrome family line caused by a de novo frameshift variant in CSNK2B.CSNK2B 基因中新生移码变异导致的 Poirier-Bienvenu 神经发育综合征家系的遗传学分析及文献复习
Mol Genet Genomic Med. 2024 Jan;12(1):e2327. doi: 10.1002/mgg3.2327. Epub 2023 Nov 30.
9
A Novel Missense Variant in the Gene Causes a Rare Neurodevelopmental Disorder with Increased Phenotype.一种新的基因错义变异导致一种罕见的神经发育障碍,并伴有表型增加。
Biomed Res Int. 2021 Feb 11;2021:6661860. doi: 10.1155/2021/6661860. eCollection 2021.
10
The first Chinese intellectual developmental disorder, autosomal recessive 57 patient with two novel MBOAT7 variants.中国首例常染色体隐性遗传智力发育障碍 57 号患者,携带两个新型 MBOAT7 变异。
Mol Genet Genomic Med. 2024 Feb;12(2):e2391. doi: 10.1002/mgg3.2391.

引用本文的文献

1
Cullin-RING Ubiquitin Ligases in Neurodevelopment and Neurodevelopmental Disorders.神经发育及神经发育障碍中的Cullin-RING泛素连接酶
Biomedicines. 2025 Mar 28;13(4):810. doi: 10.3390/biomedicines13040810.

本文引用的文献

1
Further evidence that the neurodevelopmental gene FBXW7 predisposes to Wilms tumor.进一步证据表明神经发育基因 FBXW7 易致肾母细胞瘤。
Am J Med Genet A. 2024 Jun;194(6):e63528. doi: 10.1002/ajmg.a.63528. Epub 2024 Jan 2.
2
The Highs and Lows of FBXW7: New Insights into Substrate Affinity in Disease and Development.FBXW7 的优缺点:疾病和发育中底物亲和力的新见解。
Cells. 2023 Aug 24;12(17):2141. doi: 10.3390/cells12172141.
3
Identification of a functional circRNA-miRNA-mRNA regulatory network in infantile hemangioma by bioinformatics analysis.
通过生物信息学分析鉴定婴幼儿血管瘤中功能性 circRNA-miRNA-mRNA 调控网络。
Medicine (Baltimore). 2022 Sep 30;101(39):e30791. doi: 10.1097/MD.0000000000030791.
4
Germline variants in tumor suppressor FBXW7 lead to impaired ubiquitination and a neurodevelopmental syndrome.肿瘤抑制因子 FBXW7 中的种系变异导致泛素化受损和神经发育综合征。
Am J Hum Genet. 2022 Apr 7;109(4):601-617. doi: 10.1016/j.ajhg.2022.03.002.
5
Implications of FBXW7 in Neurodevelopment and Neurodegeneration: Molecular Mechanisms and Therapeutic Potential.FBXW7在神经发育和神经退行性变中的意义:分子机制与治疗潜力
Front Cell Neurosci. 2021 Aug 25;15:736008. doi: 10.3389/fncel.2021.736008. eCollection 2021.
6
FBXW7: a critical tumor suppressor of human cancers.FBXW7:人类癌症的关键肿瘤抑制因子。
Mol Cancer. 2018 Aug 7;17(1):115. doi: 10.1186/s12943-018-0857-2.
7
Fbxw7 regulates Notch to control specification of neural precursors for oligodendrocyte fate.Fbxw7 通过调控 Notch 来控制少突胶质前体细胞的命运特化。
Neural Dev. 2012 May 3;7:15. doi: 10.1186/1749-8104-7-15.