• 文献检索
  • 文档翻译
  • 深度研究
  • 学术资讯
  • Suppr Zotero 插件Zotero 插件
  • 邀请有礼
  • 套餐&价格
  • 历史记录
应用&插件
Suppr Zotero 插件Zotero 插件浏览器插件Mac 客户端Windows 客户端微信小程序
定价
高级版会员购买积分包购买API积分包
服务
文献检索文档翻译深度研究API 文档MCP 服务
关于我们
关于 Suppr公司介绍联系我们用户协议隐私条款
关注我们

Suppr 超能文献

核心技术专利:CN118964589B侵权必究
粤ICP备2023148730 号-1Suppr @ 2026

文献检索

告别复杂PubMed语法,用中文像聊天一样搜索,搜遍4000万医学文献。AI智能推荐,让科研检索更轻松。

立即免费搜索

文件翻译

保留排版,准确专业,支持PDF/Word/PPT等文件格式,支持 12+语言互译。

免费翻译文档

深度研究

AI帮你快速写综述,25分钟生成高质量综述,智能提取关键信息,辅助科研写作。

立即免费体验

来自[具体来源未给出]的三萜类化合物复合物对阿霉素诱导的人肝癌细胞衰老模型[模型具体名称未给出]和[模型具体名称未给出]的促衰老细胞清除作用 。

Senolytic effect of triterpenoid complex from on adriamycin-induced senescent human hepatocellular carcinoma cells model and .

作者信息

Abdelmoaty Ahmed Attia Ahmed, Chen Jing, Zhang Kun, Wu Changhui, Li Ye, Li Peng, Xu Jianhua

机构信息

Fujian Provincial Key Laboratory of Pharmacology of Natural Medicine, School of Pharmacy, Fujian Medical University, Fuzhou, China.

Fujian Xianzhilou Biological Science and Technology Co., Ltd., Fuzhou, China.

出版信息

Front Pharmacol. 2024 Sep 19;15:1422363. doi: 10.3389/fphar.2024.1422363. eCollection 2024.

DOI:10.3389/fphar.2024.1422363
PMID:39364046
原文链接:https://pmc.ncbi.nlm.nih.gov/articles/PMC11447279/
Abstract

BACKGROUND

() is a famous medicinal mushroom that has been reported to prevent and treat a variety of diseases. Different extractions from have been used to manage age-related diseases, including cancer. Nevertheless, the senolytic activity of against senescent cancer cells has not been investigated. Although cellular senescence causes tumor growth inhibition, senescent cells promote the growth of the neighboring tumor cells through paracrine effects. Therefore, the elimination of senescent cells is a new strategy for cancer treatment.

METHODS

In this study, senescence was triggered in HCC cells by the chemotherapeutic agent Adriamycin (ADR), and subsequently, cells were treated with TC to assess its senolytic activity.

RESULTS

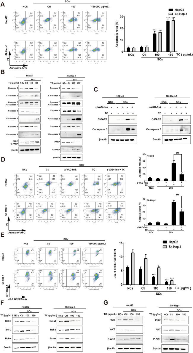
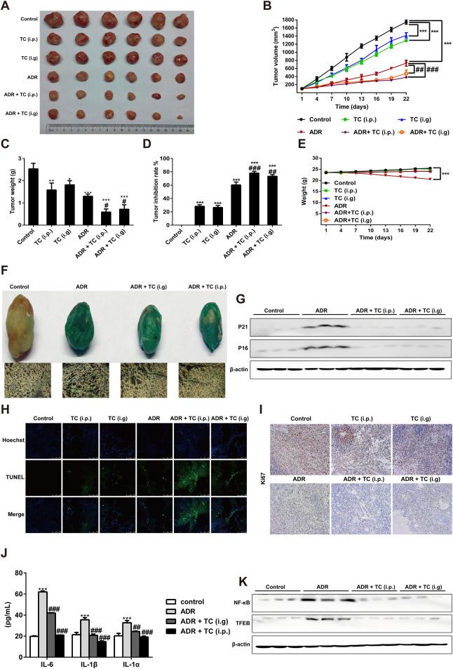
We found for the first time that the triterpenoid complex (TC) from had senolytic effect, which could selectively eliminate adriamycin (ADR)-induced senescent cells (SCs) of hepatocellular carcinoma (HCC) cells via caspase-dependent and mitochondrial pathways-mediated apoptosis and reduce the levels of senescence markers, thereby inhibiting the progression of cancers caused by SCs. TC could block autophagy at the late stage in SCs, resulting in a significant activation of TC-induced apoptosis. Furthermore, TC inhibited the senescence-associated secretory phenotype (SASP) in SCs through the inhibition of NF-κB, TFEB, P38, ERK, and mTOR signaling pathways and reducing the number of SCs. Sequential administration of ADR and TC significantly reduced tumor growth and reversed the toxicity of ADR.

CONCLUSION

A triterpenoid complex isolated from may serve as a novel senolytic agent against SCs, and its combination with chemotherapeutic agents may enhance their antitumor efficacy.

摘要

背景

(某种蘑菇名称未给出)是一种著名的药用蘑菇,据报道可预防和治疗多种疾病。该蘑菇的不同提取物已被用于管理与年龄相关的疾病,包括癌症。然而,其对衰老癌细胞的溶衰老活性尚未得到研究。尽管细胞衰老会导致肿瘤生长抑制,但衰老细胞通过旁分泌作用促进邻近肿瘤细胞的生长。因此,消除衰老细胞是一种新的癌症治疗策略。

方法

在本研究中,用化疗药物阿霉素(ADR)诱导肝癌细胞发生衰老,随后用(该蘑菇提取物)TC处理细胞以评估其溶衰老活性。

结果

我们首次发现来自(该蘑菇)的三萜类化合物复合物(TC)具有溶衰老作用,它可以通过半胱天冬酶依赖性和线粒体途径介导的凋亡选择性地消除阿霉素(ADR)诱导的肝癌(HCC)细胞衰老细胞(SCs),并降低衰老标志物水平,从而抑制由SCs引起的癌症进展。TC可在SCs的后期阻断自噬,导致TC诱导的凋亡显著激活。此外,TC通过抑制NF-κB、TFEB、P38、ERK和mTOR信号通路并减少SCs数量,抑制SCs中的衰老相关分泌表型(SASP)。序贯给予ADR和TC可显著降低肿瘤生长并逆转ADR的毒性。

结论

从(该蘑菇)中分离出的三萜类化合物复合物可能作为一种新型的针对SCs的溶衰老剂,其与化疗药物联合使用可能增强它们的抗肿瘤疗效。

https://cdn.ncbi.nlm.nih.gov/pmc/blobs/3913/11447279/90fe8da7a760/fphar-15-1422363-g007.jpg
https://cdn.ncbi.nlm.nih.gov/pmc/blobs/3913/11447279/9c3b00fb3bdd/fphar-15-1422363-g001.jpg
https://cdn.ncbi.nlm.nih.gov/pmc/blobs/3913/11447279/a99d65bfab05/fphar-15-1422363-g002.jpg
https://cdn.ncbi.nlm.nih.gov/pmc/blobs/3913/11447279/f6a9e6182e78/fphar-15-1422363-g003.jpg
https://cdn.ncbi.nlm.nih.gov/pmc/blobs/3913/11447279/dd966cff6888/fphar-15-1422363-g004.jpg
https://cdn.ncbi.nlm.nih.gov/pmc/blobs/3913/11447279/85e7ef7eaffe/fphar-15-1422363-g005.jpg
https://cdn.ncbi.nlm.nih.gov/pmc/blobs/3913/11447279/792d15952c14/fphar-15-1422363-g006.jpg
https://cdn.ncbi.nlm.nih.gov/pmc/blobs/3913/11447279/90fe8da7a760/fphar-15-1422363-g007.jpg
https://cdn.ncbi.nlm.nih.gov/pmc/blobs/3913/11447279/9c3b00fb3bdd/fphar-15-1422363-g001.jpg
https://cdn.ncbi.nlm.nih.gov/pmc/blobs/3913/11447279/a99d65bfab05/fphar-15-1422363-g002.jpg
https://cdn.ncbi.nlm.nih.gov/pmc/blobs/3913/11447279/f6a9e6182e78/fphar-15-1422363-g003.jpg
https://cdn.ncbi.nlm.nih.gov/pmc/blobs/3913/11447279/dd966cff6888/fphar-15-1422363-g004.jpg
https://cdn.ncbi.nlm.nih.gov/pmc/blobs/3913/11447279/85e7ef7eaffe/fphar-15-1422363-g005.jpg
https://cdn.ncbi.nlm.nih.gov/pmc/blobs/3913/11447279/792d15952c14/fphar-15-1422363-g006.jpg
https://cdn.ncbi.nlm.nih.gov/pmc/blobs/3913/11447279/90fe8da7a760/fphar-15-1422363-g007.jpg

相似文献

1
Senolytic effect of triterpenoid complex from on adriamycin-induced senescent human hepatocellular carcinoma cells model and .来自[具体来源未给出]的三萜类化合物复合物对阿霉素诱导的人肝癌细胞衰老模型[模型具体名称未给出]和[模型具体名称未给出]的促衰老细胞清除作用 。
Front Pharmacol. 2024 Sep 19;15:1422363. doi: 10.3389/fphar.2024.1422363. eCollection 2024.
2
Cycloastragenol: A Novel Senolytic Agent That Induces Senescent Cell Apoptosis and Restores Physical Function in TBI-Aged Mice.环黄芪醇:一种新型的衰老细胞溶解剂,可诱导衰老细胞凋亡并恢复 TBI 老年小鼠的生理功能。
Int J Mol Sci. 2023 Mar 31;24(7):6554. doi: 10.3390/ijms24076554.
3
The senolytic agent ABT263 ameliorates osteoporosis caused by active vitamin D insufficiency through selective clearance of senescent skeletal cells.衰老细胞溶解剂ABT263通过选择性清除衰老的骨骼细胞来改善活性维生素D缺乏引起的骨质疏松症。
J Orthop Translat. 2024 Oct 5;49:107-118. doi: 10.1016/j.jot.2024.08.012. eCollection 2024 Nov.
4
Triterpenes from Ganoderma lucidum inhibit hepatocellular carcinoma by regulating enhancer-associated lncRNA in vivo.灵芝三萜通过调控增强子相关长链非编码 RNA 抑制体内肝癌。
J Ethnopharmacol. 2025 Jan 10;336:118706. doi: 10.1016/j.jep.2024.118706. Epub 2024 Aug 24.
5
Anti-cancer Effects of a Neutral Triterpene Fraction from Ganoderma lucidum and its Active Constituents on SW620 Human Colorectal Cancer Cells.灵芝中性三萜类化合物及其活性成分对 SW620 人结肠癌细胞的抗癌作用。
Anticancer Agents Med Chem. 2020;20(2):237-244. doi: 10.2174/1871520619666191015102442.
6
High-Pressure Supercritical CO Extracts of Fruiting Body and Their Anti-hepatoma Effect Associated With the Ras/Raf/MEK/ERK Signaling Pathway.子实体的高压超临界CO提取物及其与Ras/Raf/MEK/ERK信号通路相关的抗肝癌作用。
Front Pharmacol. 2020 Dec 14;11:602702. doi: 10.3389/fphar.2020.602702. eCollection 2020.
7
Senolytic compounds control a distinct fate of androgen receptor agonist- and antagonist-induced cellular senescent LNCaP prostate cancer cells.衰老细胞裂解化合物可控制雄激素受体激动剂和拮抗剂诱导的细胞衰老LNCaP前列腺癌细胞的不同命运。
Cell Biosci. 2020 Apr 25;10:59. doi: 10.1186/s13578-020-00422-2. eCollection 2020.
8
Androgen-deprivation induced senescence in prostate cancer cells is permissive for the development of castration-resistance but susceptible to senolytic therapy.雄激素剥夺诱导的前列腺癌细胞衰老有利于去势抵抗的发展,但易受衰老细胞选择性清除疗法的影响。
Biochem Pharmacol. 2021 Nov;193:114765. doi: 10.1016/j.bcp.2021.114765. Epub 2021 Sep 15.
9
The Senolytic Drug JQ1 Removes Senescent Cells via Ferroptosis.衰老细胞清除剂 JQ1 通过铁死亡途径消除衰老细胞。
Tissue Eng Regen Med. 2021 Oct;18(5):841-850. doi: 10.1007/s13770-021-00346-z. Epub 2021 May 18.
10
Senolytic Cocktail Dasatinib+Quercetin (D+Q) Does Not Enhance the Efficacy of Senescence-Inducing Chemotherapy in Liver Cancer.衰老细胞溶解鸡尾酒疗法(达沙替尼+槲皮素,即D+Q)不会增强肝癌中诱导衰老化疗的疗效。
Front Oncol. 2018 Oct 30;8:459. doi: 10.3389/fonc.2018.00459. eCollection 2018.

引用本文的文献

1
Extract Modulates Gene Expression Profiles Associated with Antioxidant Defense, Cytoprotection, and Senescence in Human Dermal Fibroblasts: Investigation of Quantitative Gene Expression by qPCR.提取物调节人皮肤成纤维细胞中与抗氧化防御、细胞保护和衰老相关的基因表达谱:通过qPCR对基因表达定量的研究
Curr Issues Mol Biol. 2025 Feb 18;47(2):130. doi: 10.3390/cimb47020130.

本文引用的文献

1
Which is the best TACE agent for patients with different NLR hepatocellular carcinomas? A systematic review and network meta-analysis.对于不同中性粒细胞与淋巴细胞比值(NLR)的肝细胞癌患者,哪种经动脉化疗栓塞(TACE)药物最佳?一项系统评价和网状Meta分析。
Heliyon. 2024 May 4;10(9):e30759. doi: 10.1016/j.heliyon.2024.e30759. eCollection 2024 May 15.
2
Doxorubicin-An Agent with Multiple Mechanisms of Anticancer Activity.多柔比星——一种具有多种抗癌活性机制的药物。
Cells. 2023 Feb 19;12(4):659. doi: 10.3390/cells12040659.
3
cFLIP suppression and DR5 activation sensitize senescent cancer cells to senolysis.
cFLIP抑制和DR5激活使衰老癌细胞对衰老细胞溶解敏感。
Nat Cancer. 2022 Nov;3(11):1284-1299. doi: 10.1038/s43018-022-00462-2. Epub 2022 Nov 22.
4
Pharmacological senolysis reduces doxorubicin-induced cardiotoxicity and improves cardiac function in mice.药物性衰老细胞清除减轻蒽环类药物诱导的心肌毒性并改善小鼠心功能。
Pharmacol Res. 2022 Sep;183:106356. doi: 10.1016/j.phrs.2022.106356. Epub 2022 Jul 14.
5
Hallmarks of Cancer: New Dimensions.癌症的特征:新视角。
Cancer Discov. 2022 Jan;12(1):31-46. doi: 10.1158/2159-8290.CD-21-1059.
6
Senescent cells in cancer therapy: why and how to remove them.衰老细胞在癌症治疗中的作用:为什么以及如何清除它们。
Cancer Lett. 2021 Nov 1;520:68-79. doi: 10.1016/j.canlet.2021.07.002. Epub 2021 Jul 5.
7
Therapy-Induced Senescence: Opportunities to Improve Anticancer Therapy.治疗诱导衰老:改善抗癌疗法的机会。
J Natl Cancer Inst. 2021 Oct 1;113(10):1285-1298. doi: 10.1093/jnci/djab064.
8
High-Pressure Supercritical CO Extracts of Fruiting Body and Their Anti-hepatoma Effect Associated With the Ras/Raf/MEK/ERK Signaling Pathway.子实体的高压超临界CO提取物及其与Ras/Raf/MEK/ERK信号通路相关的抗肝癌作用。
Front Pharmacol. 2020 Dec 14;11:602702. doi: 10.3389/fphar.2020.602702. eCollection 2020.
9
Hepatocellular Senescence: Immunosurveillance and Future Senescence-Induced Therapy in Hepatocellular Carcinoma.肝细胞衰老:肝细胞癌中的免疫监视及未来衰老诱导疗法
Front Oncol. 2020 Nov 27;10:589908. doi: 10.3389/fonc.2020.589908. eCollection 2020.
10
Advancements in therapeutic drugs targeting of senescence.针对衰老的治疗药物的进展。
Ther Adv Chronic Dis. 2020 Oct 13;11:2040622320964125. doi: 10.1177/2040622320964125. eCollection 2020.