Suppr超能文献

在模糊的临床症状中解析获得性血友病A

Unravelling Acquired Hemophilia A in an Ambiguous Clinical Picture.

作者信息

Ayoobkhan Fathima Shehnaz, Padmanabhan Dakshin S, Mahayni Rula, Riaz Sara, Krishnamoorthy Geetha

机构信息

Internal Medicine, Trinity Health Oakland Hospital, Pontiac, USA.

Infectious Disease, Trinity Health Oakland Hospital, Pontiac, USA.

出版信息

Cureus. 2024 Sep 3;16(9):e68549. doi: 10.7759/cureus.68549. eCollection 2024 Sep.

Abstract

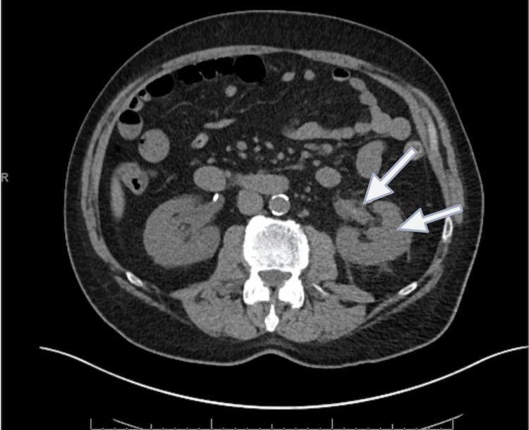
Acquired hemophilia A (AHA) is characterized by the development of neutralizing autoantibodies, called "inhibitors," against intrinsic factor VIII. Its presentation differs profoundly from congenital hemophilia. Here, we present the case of a 69-year-old patient presenting with right-sided flank pain and hematuria, initially diagnosed with acute pyelonephritis, who was found to have bilateral renal hemorrhage during the course of his hospitalization. Later, after a thorough diagnostic evaluation, he was deemed to have AHA.

摘要

获得性血友病A(AHA)的特征是产生针对内源性凝血因子VIII的中和性自身抗体,即“抑制剂”。其临床表现与先天性血友病有很大不同。在此,我们报告一例69岁患者,该患者以右侧胁腹疼痛和血尿就诊,最初被诊断为急性肾盂肾炎,在住院期间发现双侧肾出血。后来,经过全面的诊断评估,他被诊断为AHA。

https://cdn.ncbi.nlm.nih.gov/pmc/blobs/24dc/11449379/8466260f539c/cureus-0016-00000068549-i01.jpg

相似文献

1
Unravelling Acquired Hemophilia A in an Ambiguous Clinical Picture.
Cureus. 2024 Sep 3;16(9):e68549. doi: 10.7759/cureus.68549. eCollection 2024 Sep.
2
Diagnostic Challenges and Management of Acquired Hemophilia A Presenting as Gross Hematuria: A Case Report.
Cureus. 2023 Dec 31;15(12):e51426. doi: 10.7759/cureus.51426. eCollection 2023 Dec.
3
Acquired Hemophilia A Diagnosed Based on Gross Hematuria: A Case Report and Literature Review.
Case Rep Urol. 2024 Aug 12;2024:2760153. doi: 10.1155/2024/2760153. eCollection 2024.
4
[Diagnosis and treatment of congenital and acquired hemophilia].
Rinsho Ketsueki. 2017;58(7):857-865. doi: 10.11406/rinketsu.58.857.
5
Acquired hemophilia A as a disease of the elderly: A comprehensive review of epidemiology, pathogenesis, and novel therapy.
Geroscience. 2025 Feb;47(1):503-514. doi: 10.1007/s11357-024-01317-7. Epub 2024 Sep 23.
6
Acquired hemophilia A: a frequently overlooked autoimmune hemorrhagic disorder.
J Immunol Res. 2014;2014:320674. doi: 10.1155/2014/320674. Epub 2014 Mar 24.
7
An extra X does not prevent acquired hemophilia - Pregnancy-associated acquired hemophilia A.
Thromb Res. 2017 Mar;151 Suppl 1:S82-S85. doi: 10.1016/S0049-3848(17)30074-9.
9
Management of Acquired Factor VIII Inhibitors With NovoSeven and Obizur.
Cureus. 2021 Oct 30;13(10):e19145. doi: 10.7759/cureus.19145. eCollection 2021 Oct.
10
Acquired Hemophilia A in a Patient With Multiple Sclerosis.
Perm J. 2022 Jun 29;26(2):153-157. doi: 10.7812/TPP/21.109. Epub 2022 Jun 15.

本文引用的文献

3
Emicizumab for the treatment of acquired hemophilia A.
Blood. 2021 Jan 21;137(3):410-419. doi: 10.1182/blood.2020006315.
4
International recommendations on the diagnosis and treatment of acquired hemophilia A.
Haematologica. 2020 Jul;105(7):1791-1801. doi: 10.3324/haematol.2019.230771. Epub 2020 May 7.
5
Lessons from a systematic literature review of the effectiveness of recombinant factor VIIa in acquired haemophilia.
Ann Hematol. 2018 Oct;97(10):1889-1901. doi: 10.1007/s00277-018-3372-z. Epub 2018 May 26.
6
Acquired hemophilia A: Updated review of evidence and treatment guidance.
Am J Hematol. 2017 Jul;92(7):695-705. doi: 10.1002/ajh.24777. Epub 2017 Jun 5.
7
Acquired hemophilia A: a review of recent data and new therapeutic options.
Hematology. 2017 Oct;22(9):514-520. doi: 10.1080/10245332.2017.1319115. Epub 2017 Apr 25.
8
Prognostic factors for remission of and survival in acquired hemophilia A (AHA): results from the GTH-AH 01/2010 study.
Blood. 2015 Feb 12;125(7):1091-7. doi: 10.1182/blood-2014-07-587089. Epub 2014 Dec 18.
9
Acquired hemophilia: a case report and review of the literature.
Int J Lab Hematol. 2014 Jun;36(3):398-407. doi: 10.1111/ijlh.12210.

文献AI研究员

20分钟写一篇综述,助力文献阅读效率提升50倍。

立即体验

用中文搜PubMed

大模型驱动的PubMed中文搜索引擎

马上搜索

文档翻译

学术文献翻译模型,支持多种主流文档格式。

立即体验