Suppr超能文献

中性粒细胞中的脂肪酸代谢促进肺结核期间的肺损伤和细菌复制。

Fatty acid metabolism in neutrophils promotes lung damage and bacterial replication during tuberculosis.

机构信息

Department of Immunology and Microbial Disease, Albany Medical College, Albany, New York, United States of America.

Department of Molecular and Cellular Physiology, Albany Medical College, Albany, New York, United States of America.

出版信息

PLoS Pathog. 2024 Oct 4;20(10):e1012188. doi: 10.1371/journal.ppat.1012188. eCollection 2024 Oct.

Abstract

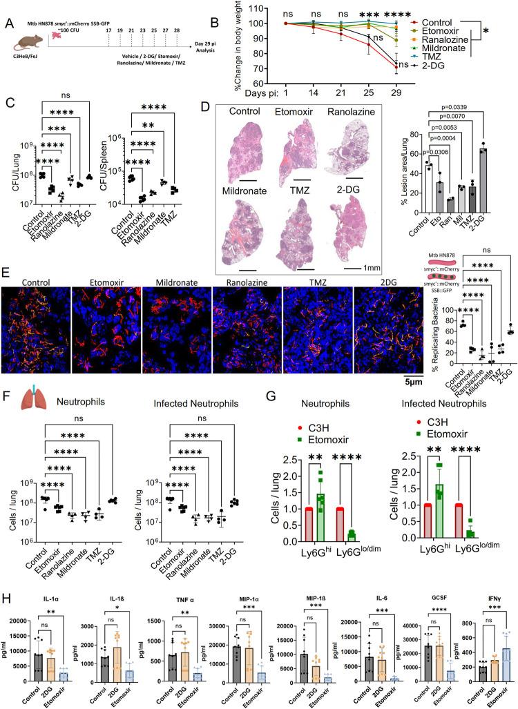
Mycobacterium tuberculosis (Mtb) infection induces a marked influx of neutrophils into the lungs, which intensifies the severity of tuberculosis (TB). The metabolic state of neutrophils significantly influences their functional response during inflammation and interaction with bacterial pathogens. However, the effect of Mtb infection on neutrophil metabolism and its consequent role in TB pathogenesis remain unclear. In this study, we examined the contribution of glycolysis and fatty acid metabolism on neutrophil responses to Mtb HN878 infection using ex-vivo assays and murine infection models. We discover that blocking glycolysis aggravates TB pathology, whereas inhibiting fatty acid oxidation (FAO) yields protective outcomes, including reduced weight loss, immunopathology, and bacterial burden in lung. Intriguingly, FAO inhibition preferentially disrupts the recruitment of a pathogen-permissive immature neutrophil population (Ly6Glo/dim), known to accumulate during TB. Targeting carnitine palmitoyl transferase 1a (Cpt1a)-a crucial enzyme in mitochondrial β-oxidation-either through chemical or genetic methods impairs neutrophils' ability to migrate to infection sites while also enhancing their antimicrobial function. Our findings illuminate the critical influence of neutrophil immunometabolism in TB pathogenesis, suggesting that manipulating fatty acid metabolism presents a novel avenue for host-directed TB therapies by modulating neutrophil functions.

摘要

结核分枝杆菌(Mtb)感染会导致大量中性粒细胞涌入肺部,从而加剧结核病(TB)的严重程度。中性粒细胞的代谢状态会显著影响其在炎症过程中的功能反应以及与细菌病原体的相互作用。然而,Mtb 感染对中性粒细胞代谢的影响及其在结核病发病机制中的作用仍不清楚。在这项研究中,我们使用体外实验和小鼠感染模型研究了糖酵解和脂肪酸代谢对中性粒细胞对 Mtb HN878 感染反应的贡献。我们发现,抑制糖酵解会加重结核病病理,而抑制脂肪酸氧化(FAO)则会产生保护作用,包括减轻体重减轻、免疫病理学和肺部细菌负荷。有趣的是,FAO 抑制优先破坏了一种有利于病原体的不成熟中性粒细胞群体(Ly6Glo/dim)的募集,这种细胞在结核病期间会积累。靶向肉碱棕榈酰转移酶 1a(Cpt1a)——线粒体β-氧化中的关键酶——无论是通过化学方法还是遗传方法,都会损害中性粒细胞向感染部位迁移的能力,同时增强其抗菌功能。我们的发现阐明了中性粒细胞免疫代谢在结核病发病机制中的关键影响,表明通过调节中性粒细胞功能,操纵脂肪酸代谢为宿主导向的结核病治疗提供了一种新途径。

https://cdn.ncbi.nlm.nih.gov/pmc/blobs/92c5/11482725/603d6bb735c3/ppat.1012188.g001.jpg

文献检索

告别复杂PubMed语法,用中文像聊天一样搜索,搜遍4000万医学文献。AI智能推荐,让科研检索更轻松。

立即免费搜索

文件翻译

保留排版,准确专业,支持PDF/Word/PPT等文件格式,支持 12+语言互译。

免费翻译文档

深度研究

AI帮你快速写综述,25分钟生成高质量综述,智能提取关键信息,辅助科研写作。

立即免费体验