Suppr超能文献

下腔静脉转位伴半奇静脉延续:一例罕见病例报告。

Transposition of the inferior vena cava with hemiazygos continuation: A rare case report.

作者信息

Ez-Zaky Sara, Hadj Hsain Ihssan, Jellal Sanae, Essetti Sara, El Fenni Jamal, Saouab Rachida, Zamani Ouijdane

机构信息

Radiology Department, Mohamed V Military Training Hospital, Mohammed V University, Rabat, Morocco.

出版信息

Radiol Case Rep. 2024 Sep 28;19(12):6582-6586. doi: 10.1016/j.radcr.2024.09.072. eCollection 2024 Dec.

Abstract

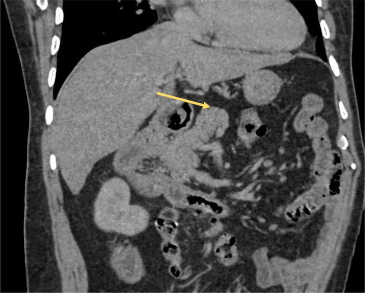
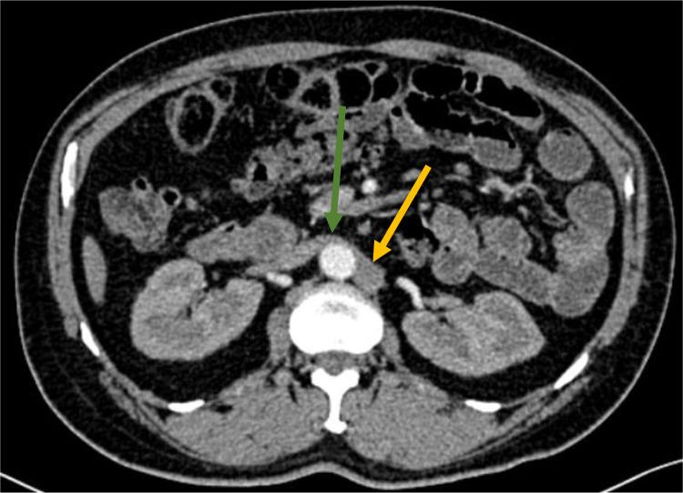
Hemiazygos continuation of a left-sided inferior vena cava (IVC) is an extremely rare developmental anomaly. We present the case of a male patient in whom this condition was incidentally discovered during a thoraco-abdominopelvic CT scan. With the widespread use of contrast-enhanced computed tomography and magnetic resonance angiography, the detection of congenital IVC anomalies has become more accessible. These anomalies are often found incidentally during imaging performed for other clinical reasons. Awareness of this anomaly is crucial before any surgical or endovascular procedures to avoid potential complications.

摘要

左侧下腔静脉(IVC)半奇静脉延续是一种极其罕见的发育异常。我们报告一例男性患者,该病症在胸腹部盆腔CT扫描时被偶然发现。随着增强计算机断层扫描和磁共振血管造影的广泛应用,先天性IVC异常的检测变得更加容易。这些异常常在因其他临床原因进行的成像检查中偶然发现。在进行任何外科手术或血管内介入手术之前,认识到这种异常对于避免潜在并发症至关重要。

https://cdn.ncbi.nlm.nih.gov/pmc/blobs/239d/11459459/e1c7694b8e21/gr1.jpg

文献AI研究员

20分钟写一篇综述,助力文献阅读效率提升50倍。

立即体验

用中文搜PubMed

大模型驱动的PubMed中文搜索引擎

马上搜索

文档翻译

学术文献翻译模型,支持多种主流文档格式。

立即体验