Suppr超能文献

床旁超声检查发现下腔静脉缺如:一例左侧下腔静脉伴奇静脉延续的病例

Missing Inferior Vena Cava on POCUS: A Case of Left-Sided IVC with Azygos Continuation.

作者信息

Mehta Ankit, Reierson Kreegan, Mathews Benji

机构信息

Department of Internal Medicine, HealthPartners St. Paul, MN USA.

Department of Internal Medicine, University of Minnesota Minneapolis, MN USA.

出版信息

POCUS J. 2023 Apr 26;8(1):43-47. doi: 10.24908/pocus.v8i1.16240. eCollection 2023.

Abstract

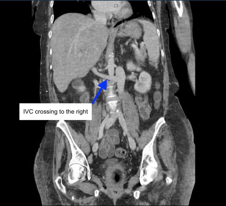
The merits of utilizing point of care ultrasound (POCUS) in acutely ill patients is leading to a widespread embrace. Assessment of IVC via POCUS as part of a comprehensive multi-organ approach can help guide volume tolerance. Anatomical/developmental variations of IVC can vary widely in prevalence. As the use of POCUS expands as a diagnostic modality, it is prudent for frontline POCUS users to be cognizant of the IVC anomalies. We present a case of left sided IVC with azygous continuation discovered with POCUS that was performed to assess the volume status of the patient. This case illustrates that the awareness of different anomalies of the IVC is necessary for POCUS users to prevent misinterpretation of aberrant vessels and avoid diagnostic pitfalls.

摘要

在急性病患者中使用床旁超声(POCUS)的优点正促使其被广泛采用。通过POCUS评估下腔静脉(IVC)作为全面多器官评估方法的一部分,有助于指导容量耐受性。IVC的解剖学/发育变异在患病率上差异很大。随着POCUS作为一种诊断方式的使用范围扩大,一线POCUS使用者了解IVC异常情况是很谨慎的做法。我们报告一例通过POCUS发现的左侧IVC伴奇静脉延续的病例,该POCUS检查是为评估患者的容量状态而进行的。该病例表明,POCUS使用者了解IVC的不同异常情况对于防止对异常血管的错误解读和避免诊断陷阱是必要的。

https://cdn.ncbi.nlm.nih.gov/pmc/blobs/bdf3/10155737/75b1efc4f2b7/pocusj-08-16240-g001.jpg

文献AI研究员

20分钟写一篇综述,助力文献阅读效率提升50倍。

立即体验

用中文搜PubMed

大模型驱动的PubMed中文搜索引擎

马上搜索

文档翻译

学术文献翻译模型,支持多种主流文档格式。

立即体验