• 文献检索
  • 文档翻译
  • 深度研究
  • 学术资讯
  • Suppr Zotero 插件Zotero 插件
  • 邀请有礼
  • 套餐&价格
  • 历史记录
应用&插件
Suppr Zotero 插件Zotero 插件浏览器插件Mac 客户端Windows 客户端微信小程序
定价
高级版会员购买积分包购买API积分包
服务
文献检索文档翻译深度研究API 文档MCP 服务
关于我们
关于 Suppr公司介绍联系我们用户协议隐私条款
关注我们

Suppr 超能文献

核心技术专利:CN118964589B侵权必究
粤ICP备2023148730 号-1Suppr @ 2026

文献检索

告别复杂PubMed语法,用中文像聊天一样搜索,搜遍4000万医学文献。AI智能推荐,让科研检索更轻松。

立即免费搜索

文件翻译

保留排版,准确专业,支持PDF/Word/PPT等文件格式,支持 12+语言互译。

免费翻译文档

深度研究

AI帮你快速写综述,25分钟生成高质量综述,智能提取关键信息,辅助科研写作。

立即免费体验

支气管内脂肪瘤合并阻塞性肺炎:一例报告

Endobronchial lipoma with obstructive pneumonia: A case report.

作者信息

Wang Yinjiao, Du Peng

机构信息

Department of Radiology, The Second Affiliated Hospital of Xuzhou Medical University, Xuzhou, Jiangsu 221000, P.R. China.

出版信息

Oncol Lett. 2024 Sep 26;28(6):566. doi: 10.3892/ol.2024.14699. eCollection 2024 Dec.

DOI:10.3892/ol.2024.14699
PMID:39390981
原文链接:https://pmc.ncbi.nlm.nih.gov/articles/PMC11465229/
Abstract

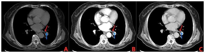
Endobronchial lipoma (EL) is a rare benign lung tumor, and its incidence rate only accounts for a tiny proportion of all lung tumors. EL has non-specific clinical symptoms and signs, and chest computed tomography is helpful in diagnosis. When fat density nodules are found in the bronchial lumen with no enhancement, EL should be considered. Once this disease is diagnosed, bronchoscopic intervention therapy is the first choice for treatment, and patients generally have a good prognosis. The present report describes the diagnosis and treatment processes of a patient with EL. The patient sought medical attention due to recurrent fever, cough and white sputum for >1 month. The chest CT revealed a hypodensity nodule at the bronchial opening of the basal segment of the lower lobe of the left lung, with the margins showing foci of punctate calcification. The patient underwent a bronchoscopy and the pathological diagnosis was EL. In the present study, a literature review analysis is also included to provide a reference for the diagnosis and treatment of this disease.

摘要

支气管内脂肪瘤(EL)是一种罕见的良性肺肿瘤,其发病率仅占所有肺肿瘤的极小比例。EL具有非特异性的临床症状和体征,胸部计算机断层扫描有助于诊断。当在支气管腔内发现脂肪密度结节且无强化时,应考虑EL。一旦确诊此病,支气管镜介入治疗是首选治疗方法,患者总体预后良好。本报告描述了一名EL患者的诊断和治疗过程。该患者因反复发热、咳嗽及咳白色痰1个月以上前来就医。胸部CT显示左肺下叶基底段支气管开口处有一个低密度结节,边缘可见点状钙化灶。患者接受了支气管镜检查,病理诊断为EL。本研究还纳入了文献综述分析,为该病的诊断和治疗提供参考。

https://cdn.ncbi.nlm.nih.gov/pmc/blobs/e8f5/11465229/342af55da49e/ol-28-06-14699-g04.jpg
https://cdn.ncbi.nlm.nih.gov/pmc/blobs/e8f5/11465229/20edb7b00ca2/ol-28-06-14699-g00.jpg
https://cdn.ncbi.nlm.nih.gov/pmc/blobs/e8f5/11465229/87d005f25b80/ol-28-06-14699-g01.jpg
https://cdn.ncbi.nlm.nih.gov/pmc/blobs/e8f5/11465229/62278efcee58/ol-28-06-14699-g02.jpg
https://cdn.ncbi.nlm.nih.gov/pmc/blobs/e8f5/11465229/f78e4987f5df/ol-28-06-14699-g03.jpg
https://cdn.ncbi.nlm.nih.gov/pmc/blobs/e8f5/11465229/342af55da49e/ol-28-06-14699-g04.jpg
https://cdn.ncbi.nlm.nih.gov/pmc/blobs/e8f5/11465229/20edb7b00ca2/ol-28-06-14699-g00.jpg
https://cdn.ncbi.nlm.nih.gov/pmc/blobs/e8f5/11465229/87d005f25b80/ol-28-06-14699-g01.jpg
https://cdn.ncbi.nlm.nih.gov/pmc/blobs/e8f5/11465229/62278efcee58/ol-28-06-14699-g02.jpg
https://cdn.ncbi.nlm.nih.gov/pmc/blobs/e8f5/11465229/f78e4987f5df/ol-28-06-14699-g03.jpg
https://cdn.ncbi.nlm.nih.gov/pmc/blobs/e8f5/11465229/342af55da49e/ol-28-06-14699-g04.jpg

相似文献

1
Endobronchial lipoma with obstructive pneumonia: A case report.支气管内脂肪瘤合并阻塞性肺炎:一例报告
Oncol Lett. 2024 Sep 26;28(6):566. doi: 10.3892/ol.2024.14699. eCollection 2024 Dec.
2
Multiple endo bronchial lipoma: a rare case report.多发性支气管内脂肪瘤:一例罕见病例报告。
BMC Pulm Med. 2020 Sep 22;20(1):251. doi: 10.1186/s12890-020-01287-4.
3
Endobronchial Lipoma: A Rare Cause of Bronchial Stenosis or Obstruction.支气管脂肪瘤:一种少见的支气管狭窄或阻塞病因。
Can Respir J. 2023 Dec 26;2023:2799436. doi: 10.1155/2023/2799436. eCollection 2023.
4
Removal of an endobronchial lipoma via uniportal thoracoscopic right basal segmentectomy.通过单孔胸腔镜右肺下叶基底段切除术切除支气管内脂肪瘤。
Surg Case Rep. 2020 Aug 17;6(1):212. doi: 10.1186/s40792-020-00973-z.
5
[A case of bronchoscopic treatment for endobronchial chondroma].[1例支气管内软骨瘤的支气管镜治疗病例]
Zhonghua Jie He He Hu Xi Za Zhi. 2024 Sep 12;47(9):838-840. doi: 10.3760/cma.j.cn112147-20240425-00222.
6
Computed tomography diagnosis of post-obstructive atelectasis by an endobronchial lipoma.支气管内脂肪瘤所致阻塞性肺不张的计算机断层扫描诊断
J Formos Med Assoc. 2004 Feb;103(2):148-50.
7
[Endobronchial lipoma: report of 2 cases and review of the Chinese literature].[支气管内脂肪瘤:2例报告并复习中文文献]
Zhonghua Jie He He Hu Xi Za Zhi. 2012 Mar;35(3):176-9.
8
An unexpected encounter and outcome between endobronchial lipoma and carcinoma: a case report and literature review.支气管脂肪瘤与癌之间的意外邂逅和结局:病例报告及文献复习。
Ther Adv Respir Dis. 2023 Jan-Dec;17:17534666231208575. doi: 10.1177/17534666231208575.
9
An obstructing endobronchial lipoma simulating COPD.一例模拟慢性阻塞性肺疾病的阻塞性支气管内脂肪瘤。
Eur Clin Respir J. 2014 Sep 12;1. doi: 10.3402/ecrj.v1.25664. eCollection 2014.
10
[Endobronchial Lipoma Treated Left Lower Lobectomy;Report of a Case].
Kyobu Geka. 2017 Jun;70(6):471-473.

本文引用的文献

1
Endobronchial Obstruction: A Case of Well-Differentiated Liposarcoma.支气管内阻塞:一例高分化脂肪肉瘤病例
Cureus. 2024 Apr 6;16(4):e57731. doi: 10.7759/cureus.57731. eCollection 2024 Apr.
2
Endobronchial Lipoma: A Rare Cause of Bronchial Stenosis or Obstruction.支气管脂肪瘤:一种少见的支气管狭窄或阻塞病因。
Can Respir J. 2023 Dec 26;2023:2799436. doi: 10.1155/2023/2799436. eCollection 2023.
3
An unexpected encounter and outcome between endobronchial lipoma and carcinoma: a case report and literature review.支气管脂肪瘤与癌之间的意外邂逅和结局:病例报告及文献复习。
Ther Adv Respir Dis. 2023 Jan-Dec;17:17534666231208575. doi: 10.1177/17534666231208575.
4
Benign endobronchial lipoma causing repeated pneumonia.引起反复肺炎的良性支气管内脂肪瘤。
Respirol Case Rep. 2023 Oct 16;11(11):e01237. doi: 10.1002/rcr2.1237. eCollection 2023 Nov.
5
Clinical features and risk factors of plastic bronchitis caused by refractory Mycoplasma pneumoniae pneumonia in children: a practical nomogram prediction model.儿童难治性肺炎支原体肺炎致塑性支气管炎的临床特征及危险因素:实用列线图预测模型。
Eur J Pediatr. 2023 Mar;182(3):1239-1249. doi: 10.1007/s00431-022-04761-9. Epub 2023 Jan 12.
6
Obstructive pneumonia caused by Gordonia bronchialis with a bronchial foreign body.支气管戈登菌伴支气管异物引起的阻塞性肺炎
Int J Infect Dis. 2022 Nov;124:157-158. doi: 10.1016/j.ijid.2022.09.028. Epub 2022 Sep 21.
7
Lipoma and Its Doppelganger: The Atypical Lipomatous Tumor/Well-Differentiated Liposarcoma.脂肪瘤及其相似物:非典型脂肪瘤性肿瘤/高分化脂肪肉瘤
Surg Clin North Am. 2022 Aug;102(4):637-656. doi: 10.1016/j.suc.2022.04.006.
8
Progressive frontal intraosseous lipoma: Detection of the mosaic AKT1 variant discloses Proteus syndrome.进行性额骨内脂肪瘤:镶嵌型AKT1变异体的检测揭示了Proteus综合征。
Clin Genet. 2022 Sep;102(3):239-241. doi: 10.1111/cge.14174. Epub 2022 Jun 17.
9
Endobronchial lipoma.支气管内脂肪瘤
Autops Case Rep. 2022 May 2;12:e2021377. doi: 10.4322/acr.2021.377. eCollection 2022.
10
Differential diagnosis of lipoma and atypical lipomatous tumor/well-differentiated liposarcoma by cytological analysis.通过细胞学分析诊断脂肪瘤和非典型性脂肪瘤/高分化脂肪肉瘤。
Diagn Cytopathol. 2022 Mar;50(3):112-122. doi: 10.1002/dc.24928. Epub 2022 Jan 4.