Suppr超能文献

出生后敲低5-羟色胺自身受体可挽救早期生活逆境对压力反应性的性别特异性及发育影响。

Sex-specific and developmental effects of early life adversity on stress reactivity are rescued by postnatal knockdown of 5-HT autoreceptors.

作者信息

Dixon Rushell, Malave Lauren, Thompson Rory, Wu Serena, Li Yifei, Sadik Noah, Anacker Christoph

机构信息

Division of Systems Neuroscience, Department of Psychiatry, Columbia University, and Research Foundation for Mental Hygiene, Inc. (RFMH), New York State Psychiatric Institute (NYSPI), New York, NY, 10032, USA.

Columbia University Institute for Developmental Sciences, Research Foundation for Mental Hygiene, Inc. (RFMH)/New York State Psychiatric Institute (NYSPI), Department of Psychiatry, Columbia University Irving Medical Center (CUIMC), New York, NY, 10032, USA.

出版信息

Neuropsychopharmacology. 2025 Feb;50(3):507-518. doi: 10.1038/s41386-024-01999-9. Epub 2024 Oct 12.

Abstract

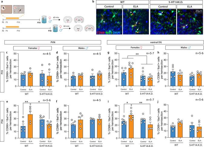
Early Life Adversity (ELA) predisposes to stress hypersensitivity in adulthood, but neurobiological mechanisms that protect from the enduring effects of ELA are poorly understood. Serotonin 1A (5HT) autoreceptors in the raphé nuclei regulate adult stress vulnerability, but whether 5HT could be targeted to prevent ELA effects on susceptibility to future stressors is unknown. Here, we exposed mice with postnatal knockdown of 5HT autoreceptors to the limited bedding and nesting model of ELA from postnatal day (P)3-10 and tested behavioral, neuroendocrine, neurogenic, and neuroinflammatory responses to an acute swim stress in male and female mice in adolescence (P35) and in adulthood (P56). In females, ELA decreased raphé 5HT neuron activity in adulthood and increased passive coping with the acute swim stress, corticosterone levels, neuronal activity, and corticotropin-releasing factor (CRF) levels in the paraventricular nucleus (PVN) of the hypothalamus. ELA also reduced neurogenesis in the ventral dentate gyrus (vDG) of the hippocampus, an important mediator of individual differences in stress susceptibility, and increased microglia activation in the PVN and vDG. These effects of ELA were specific to females and manifested predominantly in adulthood, but not earlier on in adolescence. Postnatal knockdown of 5HT autoreceptors prevented these effects of ELA on 5HT neuron activity, stress reactivity, neurogenesis, and neuroinflammation in adult female mice. Our findings demonstrate that ELA induces long-lasting and sex-specific impairments in the serotonin system, stress reactivity, and vDG function, and identify 5HT autoreceptors as potential targets to prevent these enduring effects of ELA.

摘要

早年生活逆境(ELA)会使成年后易出现应激超敏反应,但能保护机体免受ELA持久影响的神经生物学机制却鲜为人知。中缝核中的5-羟色胺1A(5HT)自身受体调节成年期应激易感性,但5HT是否可作为靶点来预防ELA对未来应激源易感性的影响尚不清楚。在此,我们使出生后5HT自身受体敲低的小鼠在出生后第(P)3至10天暴露于ELA的有限垫料和筑巢模型中,并测试了青春期(P35)和成年期(P56)雄性和雌性小鼠对急性游泳应激的行为、神经内分泌、神经源性和神经炎症反应。在雌性小鼠中,ELA会降低成年期的中缝5HT神经元活性,并增加对急性游泳应激的被动应对、皮质酮水平、神经元活性以及下丘脑室旁核(PVN)中的促肾上腺皮质激素释放因子(CRF)水平。ELA还会减少海马腹侧齿状回(vDG)中的神经发生,vDG是应激易感性个体差异的重要调节因子,同时增加PVN和vDG中的小胶质细胞活化。ELA的这些影响具有雌性特异性,且主要在成年期表现出来,而在青春期则未出现。出生后5HT自身受体敲低可预防ELA对成年雌性小鼠5HT神经元活性、应激反应性、神经发生和神经炎症的这些影响。我们的研究结果表明,ELA会在5-羟色胺系统、应激反应性和vDG功能中诱导长期且具有性别特异性的损伤,并确定5HT自身受体是预防ELA这些持久影响的潜在靶点。

https://cdn.ncbi.nlm.nih.gov/pmc/blobs/6c9f/11736140/b6bae97d70f5/41386_2024_1999_Fig1_HTML.jpg

文献检索

告别复杂PubMed语法,用中文像聊天一样搜索,搜遍4000万医学文献。AI智能推荐,让科研检索更轻松。

立即免费搜索

文件翻译

保留排版,准确专业,支持PDF/Word/PPT等文件格式,支持 12+语言互译。

免费翻译文档

深度研究

AI帮你快速写综述,25分钟生成高质量综述,智能提取关键信息,辅助科研写作。

立即免费体验