• 文献检索
  • 文档翻译
  • 深度研究
  • 学术资讯
  • Suppr Zotero 插件Zotero 插件
  • 邀请有礼
  • 套餐&价格
  • 历史记录
应用&插件
Suppr Zotero 插件Zotero 插件浏览器插件Mac 客户端Windows 客户端微信小程序
定价
高级版会员购买积分包购买API积分包
服务
文献检索文档翻译深度研究API 文档MCP 服务
关于我们
关于 Suppr公司介绍联系我们用户协议隐私条款
关注我们

Suppr 超能文献

核心技术专利:CN118964589B侵权必究
粤ICP备2023148730 号-1Suppr @ 2026

文献检索

告别复杂PubMed语法,用中文像聊天一样搜索,搜遍4000万医学文献。AI智能推荐,让科研检索更轻松。

立即免费搜索

文件翻译

保留排版,准确专业,支持PDF/Word/PPT等文件格式,支持 12+语言互译。

免费翻译文档

深度研究

AI帮你快速写综述,25分钟生成高质量综述,智能提取关键信息,辅助科研写作。

立即免费体验

一侧同时存在颅内急性和慢性硬膜下血肿:一例罕见病例报告。

Simultaneous intracranial acute and chronic subdural hematoma on one side: A rare case report.

作者信息

Widodo Djoko, Pasaribu Mirza Ananda, Sjukur Kevin Jonathan, Harmansyah Husni, Faruk Muhammad

机构信息

Department of Neurosurgery, Faculty of Medicine, Hasanuddin University, Makassar, Indonesia; Department of Neurosurgery, Dr. Wahidin Sudirohusodo Hospital, Makassar, Indonesia.

Department of Neurosurgery, Faculty of Medicine, Hasanuddin University, Makassar, Indonesia.

出版信息

Int J Surg Case Rep. 2024 Nov;124:110436. doi: 10.1016/j.ijscr.2024.110436. Epub 2024 Oct 11.

DOI:10.1016/j.ijscr.2024.110436
PMID:39405761
原文链接:https://pmc.ncbi.nlm.nih.gov/articles/PMC11525120/
Abstract

INTRODUCTION

While acute and chronic subdural hematomas (SDH) are relatively common, co-occurrence is rare. Here, we report a case of unilateral simultaneous acute and chronic SDH.

CASE PRESENTATION

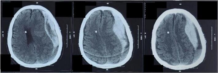
A 74-year-old man with comorbid diabetes mellitus and hypertension presented with decreased consciousness (Glasgow Coma Scale (GCS) 4; E1M2V1) with stable hemodynamics. Isochoric pupils and right motoric lateralization were found upon neurological examination. CT scan of the brain without contrast showed acute and chronic SDH in the left frontotemporoparietal area with a midline shift 2 cm to the right. An evacuation craniectomy of the SDH was performed. Postoperative care included mechanical ventilation, monitoring, fluid balance maintenance, and medication. The patient showed improvement during follow-up and was weaned off mechanical ventilation on the 5th day after surgery.

CLINICAL DISCUSSION

SDH with a thickness of 10 mm or more and mass effect requires surgical management. Various techniques can be used for surgical evacuation. The prognosis of chronic SDH patients depends on their clinical condition when admitted, with early diagnosis and intervention resulting in improved prognosis.

CONCLUSION

This rare case highlights the significance of promptly recognizing and addressing symptoms such as headache and decreased consciousness, especially in older patients with underlying health conditions. Good prognosis is dependent on prompt evaluation, including a head CT scan for recurrent headaches, and immediate treatment when necessary.

摘要

引言

虽然急性和慢性硬膜下血肿(SDH)相对常见,但同时出现的情况却很罕见。在此,我们报告一例单侧同时发生急性和慢性SDH的病例。

病例介绍

一名74岁患有糖尿病和高血压合并症的男性患者,意识下降(格拉斯哥昏迷量表(GCS)4分;E1M2V1),血流动力学稳定。神经系统检查发现双侧瞳孔等大,右侧有运动性偏侧化。脑部未增强CT扫描显示左额颞顶叶区域有急性和慢性SDH,中线向右移位2厘米。对SDH进行了颅骨切开引流术。术后护理包括机械通气、监测、维持液体平衡和药物治疗。患者在随访期间病情好转,术后第5天脱机。

临床讨论

厚度达10毫米或以上且有占位效应的SDH需要手术治疗。可采用多种技术进行手术引流。慢性SDH患者的预后取决于入院时的临床状况,早期诊断和干预可改善预后。

结论

这个罕见病例凸显了及时识别和处理头痛及意识下降等症状的重要性,尤其是在有基础健康问题的老年患者中。良好的预后取决于及时评估,包括对复发性头痛进行头部CT扫描,并在必要时立即治疗。

https://cdn.ncbi.nlm.nih.gov/pmc/blobs/99a5/11525120/cd4d425ae804/gr2.jpg
https://cdn.ncbi.nlm.nih.gov/pmc/blobs/99a5/11525120/a77de662d1a5/gr1.jpg
https://cdn.ncbi.nlm.nih.gov/pmc/blobs/99a5/11525120/cd4d425ae804/gr2.jpg
https://cdn.ncbi.nlm.nih.gov/pmc/blobs/99a5/11525120/a77de662d1a5/gr1.jpg
https://cdn.ncbi.nlm.nih.gov/pmc/blobs/99a5/11525120/cd4d425ae804/gr2.jpg

相似文献

1
Simultaneous intracranial acute and chronic subdural hematoma on one side: A rare case report.一侧同时存在颅内急性和慢性硬膜下血肿:一例罕见病例报告。
Int J Surg Case Rep. 2024 Nov;124:110436. doi: 10.1016/j.ijscr.2024.110436. Epub 2024 Oct 11.
2
Comparative Study of Single Burr-Hole Craniostomy versus Twist-Drill Craniostomy in Patients with Chronic Subdural Hematoma.慢性硬膜下血肿患者单骨孔开颅术与锥颅术的对比研究
Asian J Neurosurg. 2019 Apr-Jun;14(2):513-521. doi: 10.4103/ajns.AJNS_37_19.
3
Contralateral acute epidural hematoma after decompressive surgery of acute subdural hematoma: clinical features and outcome.急性硬膜下血肿减压术后对侧急性硬膜外血肿:临床特征与转归
J Trauma. 2008 Dec;65(6):1298-302. doi: 10.1097/TA.0b013e31815885d9.
4
Delayed Recognition, Surgical Dilemmas, and Complications: A Case Report of Acute-on-Chronic Subdural Hematoma With Ischemic Stroke.延迟诊断、手术困境与并发症:一例慢性硬膜下血肿合并急性缺血性脑卒中的病例报告
Cureus. 2023 Dec 15;15(12):e50610. doi: 10.7759/cureus.50610. eCollection 2023 Dec.
5
Surgical management of acute subdural hematomas.急性硬膜下血肿的外科治疗
Neurosurgery. 2006 Mar;58(3 Suppl):S16-24; discussion Si-iv.
6
Rapidly Resolving and Recurrent Contralateral Subdural Hematoma From Disseminated Intravascular Coagulation.迅速缓解并复发性的弥散性血管内凝血所致对侧硬脑膜下血肿。
J Stroke Cerebrovasc Dis. 2020 Aug;29(8):104872. doi: 10.1016/j.jstrokecerebrovasdis.2020.104872. Epub 2020 May 18.
7
Nonsurgical acute traumatic subdural hematoma: what is the risk?非手术性急性创伤性硬膜下血肿:风险是什么?
J Neurosurg. 2015 Nov;123(5):1176-83. doi: 10.3171/2014.10.JNS141728. Epub 2015 May 8.
8
Stroke and death due to spontaneous intracranial hypotension.因自发性颅内低血压导致的中风和死亡。
Neurocrit Care. 2013 Apr;18(2):248-51. doi: 10.1007/s12028-012-9800-3.
9
Enlarging acute tentorial subdural hematoma evacuated by surgery.手术清除扩大的急性小脑幕下硬膜下血肿。
Int Med Case Rep J. 2019 Apr 10;12:103-107. doi: 10.2147/IMCRJ.S198708. eCollection 2019.
10
Acute Extra-Arachnoid Subdural Hematomas in Patients 50 Years and Older: When Subdurals Act Like Epidurals.50岁及以上患者的急性蛛网膜外硬膜下血肿:硬膜下血肿表现类似硬膜外血肿时的情况。
World Neurosurg. 2023 Nov;179:e523-e529. doi: 10.1016/j.wneu.2023.08.134. Epub 2023 Sep 6.

本文引用的文献

1
Delayed Recognition, Surgical Dilemmas, and Complications: A Case Report of Acute-on-Chronic Subdural Hematoma With Ischemic Stroke.延迟诊断、手术困境与并发症:一例慢性硬膜下血肿合并急性缺血性脑卒中的病例报告
Cureus. 2023 Dec 15;15(12):e50610. doi: 10.7759/cureus.50610. eCollection 2023 Dec.
2
The SCARE 2023 guideline: updating consensus Surgical CAse REport (SCARE) guidelines.SCARE 2023 指南:更新共识外科病例报告(SCARE)指南。
Int J Surg. 2023 May 1;109(5):1136-1140. doi: 10.1097/JS9.0000000000000373.
3
Subdural hematoma expansion in relation to measured mean and peak systolic blood pressure: A retrospective analysis.
与测量的平均收缩压和收缩压峰值相关的硬膜下血肿扩大:一项回顾性分析。
Front Neurol. 2022 Oct 17;13:1026471. doi: 10.3389/fneur.2022.1026471. eCollection 2022.
4
Chronic Subdural Hematoma (cSDH): A review of the current state of the art.慢性硬膜下血肿(cSDH):当前技术水平综述
Brain Spine. 2021 Nov 2;1:100300. doi: 10.1016/j.bas.2021.100300. eCollection 2021.
5
Acute on Chronic Bilateral Subdural Hematoma in a Woman with a Remote History of Previous Subdural Hematoma Managed by Trephination: A Case Report.慢性双侧亚急性硬膜下血肿伴既往钻孔引流术后的女性:病例报告。
JNMA J Nepal Med Assoc. 2020 Jul 31;58(228):607-610. doi: 10.31729/jnma.5122.
6
Acute on chronic bilateral subdural hematoma presenting with acute complete flaccid paraplegia and urinary retention mimicking an acute spinal cord injury: a case report.以急性完全性弛缓性截瘫和尿潴留为表现、酷似急性脊髓损伤的慢性双侧硬膜下血肿急性发作:一例报告
BMC Res Notes. 2017 Nov 28;10(1):627. doi: 10.1186/s13104-017-2969-y.
7
Chronic subdural hematoma.慢性硬膜下血肿
Asian J Neurosurg. 2016 Oct-Dec;11(4):330-342. doi: 10.4103/1793-5482.145102.
8
The Neurocritical and Neurosurgical Care of Subdural Hematomas.硬膜下血肿的神经重症与神经外科护理
Neurocrit Care. 2016 Apr;24(2):294-307. doi: 10.1007/s12028-015-0194-x.