Suppr超能文献

靶向 IRE1α 重编程肿瘤微环境并增强前列腺癌的抗肿瘤免疫。

Targeting IRE1α reprograms the tumor microenvironment and enhances anti-tumor immunity in prostate cancer.

机构信息

Department of Biosciences, University of Oslo, Oslo, Norway.

Institute for Cancer Genetics and Informatics, Oslo University Hospital, Oslo, Norway.

出版信息

Nat Commun. 2024 Oct 15;15(1):8895. doi: 10.1038/s41467-024-53039-1.

Abstract

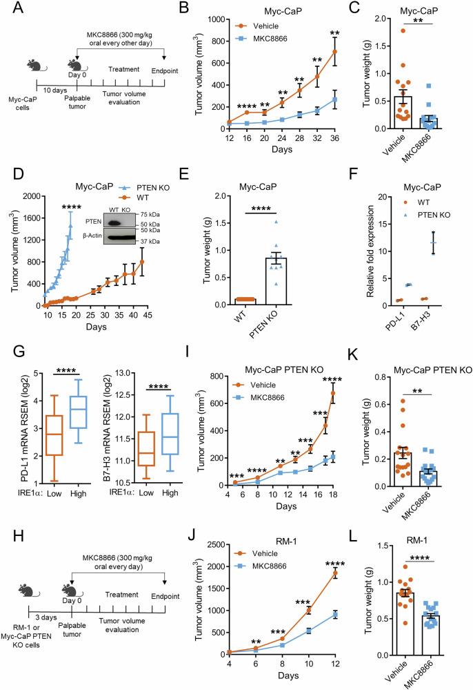
Unfolded protein response (UPR) is a central stress response pathway that is hijacked by tumor cells for their survival. Here, we find that IRE1α signaling, one of the canonical UPR arms, is increased in prostate cancer (PCa) patient tumors. Genetic or small molecule inhibition of IRE1α in syngeneic mouse PCa models and an orthotopic model decreases tumor growth. IRE1α ablation in cancer cells potentiates interferon responses and activates immune system related pathways in the tumor microenvironment (TME). Single-cell RNA-sequencing analysis reveals that targeting IRE1α in cancer cells reduces tumor-associated macrophage abundance. Consistently, the small molecule IRE1α inhibitor MKC8866, currently in clinical trials, reprograms the TME and enhances anti-PD-1 therapy. Our findings show that IRE1α signaling not only promotes cancer cell growth and survival but also interferes with anti-tumor immunity in the TME. Thus, targeting IRE1α can be a promising approach for improving anti-PD-1 immunotherapy in PCa.

摘要

未折叠蛋白反应(UPR)是一种重要的应激反应途径,肿瘤细胞会利用该途径来维持自身的存活。在这里,我们发现,IRE1α 信号通路是 UPR 的一个经典分支,在前列腺癌(PCa)患者肿瘤中会增加。在同种小鼠 PCa 模型和原位模型中,通过基因或小分子抑制 IRE1α 会抑制肿瘤生长。在癌细胞中敲除 IRE1α 会增强干扰素反应,并激活肿瘤微环境(TME)中的免疫系统相关途径。单细胞 RNA 测序分析表明,靶向癌细胞中的 IRE1α 会减少肿瘤相关巨噬细胞的丰度。同样,目前正在临床试验中的小分子 IRE1α 抑制剂 MKC8866 可重塑 TME 并增强抗 PD-1 治疗效果。我们的研究结果表明,IRE1α 信号不仅促进癌细胞的生长和存活,还会干扰 TME 中的抗肿瘤免疫。因此,靶向 IRE1α 可能是改善 PCa 中抗 PD-1 免疫治疗的一种有前途的方法。

https://cdn.ncbi.nlm.nih.gov/pmc/blobs/74a8/11480464/baaf5ae5f251/41467_2024_53039_Fig1_HTML.jpg

文献检索

告别复杂PubMed语法,用中文像聊天一样搜索,搜遍4000万医学文献。AI智能推荐,让科研检索更轻松。

立即免费搜索

文件翻译

保留排版,准确专业,支持PDF/Word/PPT等文件格式,支持 12+语言互译。

免费翻译文档

深度研究

AI帮你快速写综述,25分钟生成高质量综述,智能提取关键信息,辅助科研写作。

立即免费体验