• 文献检索
  • 文档翻译
  • 深度研究
  • 学术资讯
  • Suppr Zotero 插件Zotero 插件
  • 邀请有礼
  • 套餐&价格
  • 历史记录
应用&插件
Suppr Zotero 插件Zotero 插件浏览器插件Mac 客户端Windows 客户端微信小程序
定价
高级版会员购买积分包购买API积分包
服务
文献检索文档翻译深度研究API 文档MCP 服务
关于我们
关于 Suppr公司介绍联系我们用户协议隐私条款
关注我们

Suppr 超能文献

核心技术专利:CN118964589B侵权必究
粤ICP备2023148730 号-1Suppr @ 2026

文献检索

告别复杂PubMed语法,用中文像聊天一样搜索,搜遍4000万医学文献。AI智能推荐,让科研检索更轻松。

立即免费搜索

文件翻译

保留排版,准确专业,支持PDF/Word/PPT等文件格式,支持 12+语言互译。

免费翻译文档

深度研究

AI帮你快速写综述,25分钟生成高质量综述,智能提取关键信息,辅助科研写作。

立即免费体验

高危神经母细胞瘤患儿中白消安所致肺损伤的管理

Management of Busulfan-Induced Lung Injury in Pediatric Patients with High-Risk Neuroblastoma.

作者信息

Castelli Sveva, Thorwarth Anne, van Schewick Claudia, Wendt Anke, Astrahantseff Kathy, Szymansky Annabell, Lodrini Marco, Veldhoen Simon, Gratopp Alexander, Mall Marcus A, Eggert Angelika, Deubzer Hedwig E

机构信息

Department of Pediatric Oncology and Hematology, Charité-Universitätsmedizin Berlin, Corporate Member of Freie Universität Berlin and Humboldt-Universität zu Berlin, Campus Virchow Klinikum, Augustenburger Platz 1, 13353 Berlin, Germany.

Department of Pediatric Respiratory Medicine, Immunology and Critical Care Medicine, Charité-Universitätsmedizin Berlin, Campus Virchow Klinikum, Augustenburger Platz 1, 13353 Berlin, Germany.

出版信息

J Clin Med. 2024 Oct 8;13(19):5995. doi: 10.3390/jcm13195995.

DOI:10.3390/jcm13195995
PMID:39408056
原文链接:https://pmc.ncbi.nlm.nih.gov/articles/PMC11477708/
Abstract

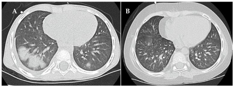
: Integrating the cytotoxic drug busulfan into a high-dose chemotherapy regimen prior to autologous hematopoietic stem cell rescue in patients with high-risk neuroblastoma has improved the survival of children battling this deadly disease. Busulfan-induced toxicities can, however, be severe. Here, we describe the diagnosis and successful treatment of acute pulmonary injury by total-body-weight-adjusted busulfan therapy in two children with high-risk neuroblastoma. : Patient 1 developed life-threatening biphasic acute respiratory failure on days +60 and +100 after busulfan therapy, requiring intubation and invasive mechanical ventilation. Despite intensive anti-inflammatory and immunomodulatory therapy, including systemic corticosteroids, topical inhalation regimens, azithromycin, nintedanib and extracorporal photopheresis, patient 1 required extended intensive care measures and non-invasive respiratory support for a total of 20 months. High-resolution computed tomography showed diffuse intra-alveolar and interstitial patterns. Patient 2 developed partial respiratory failure with insufficient oxygen saturation and dyspnea on day +52 after busulfan therapy. Symptoms were resolved after 6 months of systemic corticosteroids, topical inhalation regimens and azithromycin. High-resolution computed tomography showed atypical pneumonic changes with ground-glass opacities. While both patients fully recovered without evidence of pulmonary fibrosis, cancer therapy had to be paused and then modified until full recovery from busulfan-induced lung injury. : Busulfan-induced lung injury requires prompt diagnosis and intervention. Symptoms and signs are nonspecific and difficult to differentiate from other causes. Therapeutic busulfan drug level monitoring and the identification of patients at risk for drug overdosing through promoter polymorphisms in the glutathione S-transferase alpha 1 gene encoding the main enzyme in busulfan metabolism are expected to reduce the risk of busulfan-induced toxicities.

摘要

在高危神经母细胞瘤患者进行自体造血干细胞救援之前,将细胞毒性药物白消安纳入大剂量化疗方案可提高与这种致命疾病作斗争的儿童的生存率。然而,白消安引起的毒性可能很严重。在此,我们描述了两名高危神经母细胞瘤儿童因按总体重调整白消安治疗而导致的急性肺损伤的诊断和成功治疗。患者1在白消安治疗后第60天和第100天出现危及生命的双相性急性呼吸衰竭,需要插管和有创机械通气。尽管进行了强化抗炎和免疫调节治疗,包括全身用皮质类固醇、局部吸入方案、阿奇霉素、尼达尼布和体外光化学疗法,患者1仍需要延长的重症监护措施和无创呼吸支持,总共持续了20个月。高分辨率计算机断层扫描显示弥漫性肺泡和间质模式。患者2在白消安治疗后第52天出现部分呼吸衰竭,血氧饱和度不足和呼吸困难。经过6个月的全身用皮质类固醇、局部吸入方案和阿奇霉素治疗后症状得到缓解。高分辨率计算机断层扫描显示非典型肺炎改变伴磨玻璃影。虽然两名患者均完全康复且无肺纤维化迹象,但癌症治疗不得不暂停,然后进行调整,直到从白消安引起的肺损伤中完全康复。白消安引起的肺损伤需要及时诊断和干预。症状和体征是非特异性的,难以与其他原因区分开来。治疗性白消安药物水平监测以及通过编码白消安代谢主要酶的谷胱甘肽S-转移酶α1基因中的启动子多态性来识别药物过量风险患者,有望降低白消安引起的毒性风险。

https://cdn.ncbi.nlm.nih.gov/pmc/blobs/e477/11477708/126e1313fb0b/jcm-13-05995-g005.jpg
https://cdn.ncbi.nlm.nih.gov/pmc/blobs/e477/11477708/3f01efe0440f/jcm-13-05995-g001.jpg
https://cdn.ncbi.nlm.nih.gov/pmc/blobs/e477/11477708/45b64ee08d47/jcm-13-05995-g002.jpg
https://cdn.ncbi.nlm.nih.gov/pmc/blobs/e477/11477708/8c174728f6a2/jcm-13-05995-g003.jpg
https://cdn.ncbi.nlm.nih.gov/pmc/blobs/e477/11477708/a09c700edc9f/jcm-13-05995-g004.jpg
https://cdn.ncbi.nlm.nih.gov/pmc/blobs/e477/11477708/126e1313fb0b/jcm-13-05995-g005.jpg
https://cdn.ncbi.nlm.nih.gov/pmc/blobs/e477/11477708/3f01efe0440f/jcm-13-05995-g001.jpg
https://cdn.ncbi.nlm.nih.gov/pmc/blobs/e477/11477708/45b64ee08d47/jcm-13-05995-g002.jpg
https://cdn.ncbi.nlm.nih.gov/pmc/blobs/e477/11477708/8c174728f6a2/jcm-13-05995-g003.jpg
https://cdn.ncbi.nlm.nih.gov/pmc/blobs/e477/11477708/a09c700edc9f/jcm-13-05995-g004.jpg
https://cdn.ncbi.nlm.nih.gov/pmc/blobs/e477/11477708/126e1313fb0b/jcm-13-05995-g005.jpg

相似文献

1
Management of Busulfan-Induced Lung Injury in Pediatric Patients with High-Risk Neuroblastoma.高危神经母细胞瘤患儿中白消安所致肺损伤的管理
J Clin Med. 2024 Oct 8;13(19):5995. doi: 10.3390/jcm13195995.
2
[Standard technical specifications for methacholine chloride (Methacholine) bronchial challenge test (2023)].[氯化乙酰甲胆碱支气管激发试验标准技术规范(2023年)]
Zhonghua Jie He He Hu Xi Za Zhi. 2024 Feb 12;47(2):101-119. doi: 10.3760/cma.j.cn112147-20231019-00247.
3
Busulfan and melphalan versus carboplatin, etoposide, and melphalan as high-dose chemotherapy for high-risk neuroblastoma (HR-NBL1/SIOPEN): an international, randomised, multi-arm, open-label, phase 3 trial.白消安和马法兰与卡铂、依托泊苷和马法兰在高危神经母细胞瘤(HR-NBL1/SIOPEN)的高剂量化疗中的比较:一项国际、随机、多臂、开放标签、3 期临床试验。
Lancet Oncol. 2017 Apr;18(4):500-514. doi: 10.1016/S1470-2045(17)30070-0. Epub 2017 Mar 2.
4
Busulfan-Induced Lung Injury in Pediatric Oncology Patients-Review of the Literature with an Illustrative Case.小儿肿瘤患者中白消安诱导的肺损伤——文献综述及病例说明
Pediatr Allergy Immunol Pulmonol. 2019 Sep 1;32(3):86-91. doi: 10.1089/ped.2019.0990. Epub 2019 Sep 17.
5
[Chinese experts consensus statement: diagnosis and treatment of cystic fibrosis (2023)].[中国专家共识声明:囊性纤维化的诊断与治疗(2023年)]
Zhonghua Jie He He Hu Xi Za Zhi. 2023 Apr 12;46(4):352-372. doi: 10.3760/cma.j.cn112147-20221214-00971.
6
Idiopathic pneumonia syndrome following myeloablative chemotherapy and autologous transplantation.清髓性化疗和自体移植后的特发性肺炎综合征
Ann Pharmacother. 2001 Feb;35(2):196-201. doi: 10.1345/aph.10071.
7
Resource Utilization and Toxicities After Carboplatin/Etoposide/Melphalan and Busulfan/Melphalan for Autologous Stem Cell Rescue in High-Risk Neuroblastoma Using a National Administrative Database.使用国家行政数据库对高危神经母细胞瘤患者进行自体干细胞救援时,卡铂/依托泊苷/美法仑及白消安/美法仑治疗后的资源利用及毒性反应
Pediatr Blood Cancer. 2016 May;63(5):901-7. doi: 10.1002/pbc.25893. Epub 2016 Jan 21.
8
Veno-occlusive disease after high-dose busulfan-melphalan in neuroblastoma.神经母细胞瘤患者接受大剂量白消安-美法仑治疗后的肝静脉闭塞病
Bone Marrow Transplant. 2020 Mar;55(3):531-537. doi: 10.1038/s41409-018-0298-y. Epub 2018 Sep 4.
9
A Phase I/II Clinical Trial to evaluate the efficacy of baricitinib to prevent respiratory insufficiency progression in onco-hematological patients affected with COVID19: A structured summary of a study protocol for a randomised controlled trial.一项评估巴瑞替尼预防 COVID19 相关血液肿瘤患者呼吸功能不全进展的疗效的 I/II 期临床试验:一项随机对照试验研究方案的结构化总结。
Trials. 2021 Feb 5;22(1):116. doi: 10.1186/s13063-021-05072-4.
10
Safety and Efficacy of Imatinib for Hospitalized Adults with COVID-19: A structured summary of a study protocol for a randomised controlled trial.COVID-19 住院成人患者使用伊马替尼的安全性和疗效:一项随机对照试验研究方案的结构化总结。
Trials. 2020 Oct 28;21(1):897. doi: 10.1186/s13063-020-04819-9.

引用本文的文献

1
Genetically predicted interleukin 7 levels and neuroblastoma risk combined with analysis of radiation therapy timing effects.基因预测的白细胞介素7水平与神经母细胞瘤风险以及放射治疗时间效应分析相结合。
Discov Oncol. 2025 Aug 23;16(1):1601. doi: 10.1007/s12672-025-03336-y.

本文引用的文献

1
ERS/EBMT clinical practice guidelines on treatment of pulmonary chronic graft--host disease in adults.ERS/EBMT 临床实践指南:成人肺慢性移植物抗宿主病的治疗。
Eur Respir J. 2024 Mar 28;63(3). doi: 10.1183/13993003.01727-2023. Print 2024 Mar.
2
Nintedanib in children and adolescents with fibrosing interstitial lung diseases.尼达尼布治疗儿童和青少年肺纤维化间质性肺疾病。
Eur Respir J. 2023 Feb 2;61(2). doi: 10.1183/13993003.01512-2022. Print 2023 Feb.
3
Effective Extracorporeal Photopheresis of Patients with Transplantation Induced Acute Intestinal GvHD and Bronchiolitis Obliterans Syndrome.
移植诱导的急性肠道移植物抗宿主病和闭塞性细支气管炎综合征患者的有效体外光化学疗法
Biomedicines. 2022 Aug 4;10(8):1887. doi: 10.3390/biomedicines10081887.
4
Drug-induced interstitial lung disease during cancer therapies: expert opinion on diagnosis and treatment.癌症治疗期间的药物性间质性肺病:诊断和治疗的专家意见。
ESMO Open. 2022 Apr;7(2):100404. doi: 10.1016/j.esmoop.2022.100404. Epub 2022 Feb 24.
5
Extracorporeal photopheresis to attenuate decline in lung function due to refractory obstructive allograft dysfunction.体外光分离术减轻难治性阻塞性移植物功能障碍导致的肺功能下降。
Transfus Med. 2021 Aug;31(4):292-302. doi: 10.1111/tme.12779. Epub 2021 May 5.
6
Myeloablative Busulfan/Melphalan Consolidation following Induction Chemotherapy for Patients with Newly Diagnosed High-Risk Neuroblastoma: Children's Oncology Group Trial ANBL12P1.新诊断高危神经母细胞瘤患者诱导化疗后白消安/美法仑清髓巩固治疗:儿童肿瘤协作组试验ANBL12P1
Transplant Cell Ther. 2021 Jun;27(6):490.e1-490.e8. doi: 10.1016/j.jtct.2021.03.006. Epub 2021 Mar 6.
7
The analysis of GSTA1 promoter genetic and functional diversity of human populations.人群 GSTAl 启动子遗传和功能多样性分析。
Sci Rep. 2021 Mar 3;11(1):5038. doi: 10.1038/s41598-021-83996-2.
8
HRCT Patterns of Drug-Induced Interstitial Lung Diseases: A Review.药物性间质性肺疾病的高分辨率CT表现:综述
Diagnostics (Basel). 2020 Apr 22;10(4):244. doi: 10.3390/diagnostics10040244.
9
Busulfan-Induced Lung Injury in Pediatric Oncology Patients-Review of the Literature with an Illustrative Case.小儿肿瘤患者中白消安诱导的肺损伤——文献综述及病例说明
Pediatr Allergy Immunol Pulmonol. 2019 Sep 1;32(3):86-91. doi: 10.1089/ped.2019.0990. Epub 2019 Sep 17.
10
Nintedanib in Progressive Fibrosing Interstitial Lung Diseases.尼达尼布治疗进行性纤维化间质性肺疾病。
N Engl J Med. 2019 Oct 31;381(18):1718-1727. doi: 10.1056/NEJMoa1908681. Epub 2019 Sep 29.