Suppr超能文献

Basement membrane as a spatial organizer of polarized epithelia. Exogenous basement membrane reorients pancreatic epithelial tumor cells in vitro.

作者信息

Ingber D E, Madri J A, Jamieson J D

出版信息

Am J Pathol. 1986 Jan;122(1):129-39.

Abstract

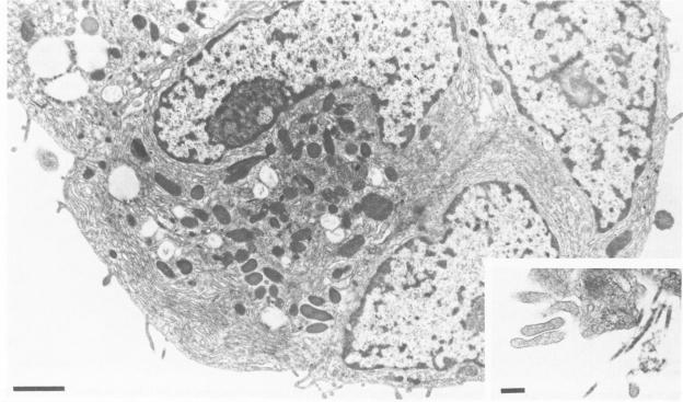
The authors have previously described a transplantable pancreatic acinar carcinoma that comprises cells which reorganize and display normal epithelial orientation only when in contact with basement membrane (BM) in vivo. In the present study, they investigated whether exogenous acellular BM or collagenous stroma (prepared from human amnion) was sufficient to reorient pancreatic acinar tumor cells in vitro. Mechanically dispersed tumor cells could not spontaneously attach to standard culture substrata; yet they adhered to exogenous intact BM or to dishes coated with purified laminin or Type IV collagen. Cell contact with amniotic BM resulted in tumor cell shape changes, assembly of intracellular actin into fibrous bundles, and restoration of normal epithelial cell-cell interactions. Computerized morphometry confirmed that tumor cells exhibited a normal polarized distribution of lipid droplets, nuclei, Golgi complexes, and zymogen granules (from base to apex) within 6 hours of culture on BM. Adhering zonules and microvilli were observed only along apical tumor cell surfaces, although full junctional complexes and distinct membrane domains did not reform. Similar attachment, cytoskeletal alterations, and reorientation occurred in the absence of protein synthesis (25 micrograms/ml cycloheximide). In contrast, tumor cells that were maintained on amniotic stroma remained round, displayed circumferential rings of actin, and appeared randomly oriented. Thus, BM may normally serve to integrate and maintain individual cells within a polarized epithelium.

摘要
https://cdn.ncbi.nlm.nih.gov/pmc/blobs/0ec9/1888129/367fafa5a279/amjpathol00160-0139-a.jpg

文献检索

告别复杂PubMed语法,用中文像聊天一样搜索,搜遍4000万医学文献。AI智能推荐,让科研检索更轻松。

立即免费搜索

文件翻译

保留排版,准确专业,支持PDF/Word/PPT等文件格式,支持 12+语言互译。

免费翻译文档

深度研究

AI帮你快速写综述,25分钟生成高质量综述,智能提取关键信息,辅助科研写作。

立即免费体验