Suppr超能文献

卡尼三联征合并胃肠道间质瘤行腹腔镜全胃切除术:一例报告

Gastrointestinal stromal tumor in Carney's triad with laparoscopic total gastrectomy: a case report.

作者信息

Midoritani Hajime, Kawada Hironori, Kaneda Kosuke, Toda Shuichiro, Awane Kento, Tanino Keisuke, Harada Kaichiro, Tachibana Keigo, Honjo Masahiko, Kitamura Koji, Yoshitomi Mami, Shirakata Yoshiharu, Nishitai Ryuta

机构信息

Hyogo Amagasaki General Center, Amagasaki, Japan.

出版信息

Surg Case Rep. 2024 Oct 23;10(1):240. doi: 10.1186/s40792-024-02041-2.

Abstract

INTRODUCTION

Carney's triad is a rare syndrome characterized by the co-occurrence of gastric gastrointestinal stromal tumor (GIST), pulmonary chondroma, and extra-adrenal paraganglioma. We present a case of a young woman with GISTs associated with this triad.

CASE PRESENTATION

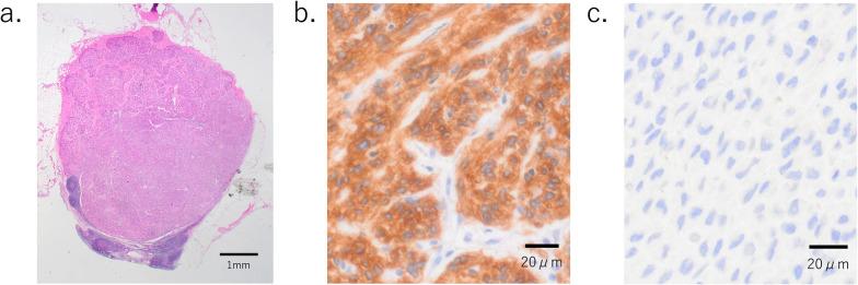
A 28-year-old woman was identified with multiple gastric tumors and a right lung nodule during a routine health check-up. CT scans and upper gastrointestinal endoscopy revealed a 50 mm mass on the lesser curvature of the stomach, along with two additional gastric lesions and a 20 mm nodule in the right lung. The patient had a history of right middle lobectomy at the age of 19 for pulmonary chondroma. During surgery, enlarged lymph nodes were observed, indicating metastasis, which necessitated a total gastrectomy with radical (D2) lymph node dissection. Pathological examination confirmed seven GISTs, with immunohistochemical staining positive for KIT (+), DOG1 (+), and negative for SDHB (-). The postoperative course was uneventful, and the patient was discharged on the seventh postoperative day. Despite opting out of adjuvant imatinib therapy, she remains disease-free 2 years postoperatively.

CONCLUSIONS

This case underscores the necessity of total gastrectomy with lymph node dissection due to the high incidence of metastasis in GISTs associated with Carney's triad. Further research is required to determine the optimal extent of lymph node dissection in such cases.

摘要

引言

卡尼三联征是一种罕见的综合征,其特征为胃胃肠道间质瘤(GIST)、肺软骨瘤和肾上腺外副神经节瘤同时出现。我们报告一例与该三联征相关的患有GIST的年轻女性病例。

病例介绍

一名28岁女性在常规健康检查中被发现有多个胃肿瘤和一个右肺结节。CT扫描和上消化道内镜检查显示胃小弯处有一个50毫米的肿块,还有另外两个胃部病变以及右肺一个20毫米的结节。该患者19岁时因肺软骨瘤接受了右肺中叶切除术。手术中观察到肿大的淋巴结,提示有转移,因此需要进行全胃切除术及根治性(D2)淋巴结清扫术。病理检查证实有七个GIST,免疫组化染色显示KIT(+)、DOG1(+)阳性,SDHB(-)阴性。术后过程顺利,患者术后第七天出院。尽管未选择辅助伊马替尼治疗,但她术后两年仍无疾病复发。

结论

该病例强调了由于与卡尼三联征相关的GIST转移发生率高,进行全胃切除术及淋巴结清扫术的必要性。需要进一步研究以确定此类病例中淋巴结清扫的最佳范围。

https://cdn.ncbi.nlm.nih.gov/pmc/blobs/b65e/11499490/d5d2034f14e1/40792_2024_2041_Fig1_HTML.jpg

文献检索

告别复杂PubMed语法,用中文像聊天一样搜索,搜遍4000万医学文献。AI智能推荐,让科研检索更轻松。

立即免费搜索

文件翻译

保留排版,准确专业,支持PDF/Word/PPT等文件格式,支持 12+语言互译。

免费翻译文档

深度研究

AI帮你快速写综述,25分钟生成高质量综述,智能提取关键信息,辅助科研写作。

立即免费体验