• 文献检索
  • 文档翻译
  • 深度研究
  • 学术资讯
  • Suppr Zotero 插件Zotero 插件
  • 邀请有礼
  • 套餐&价格
  • 历史记录
应用&插件
Suppr Zotero 插件Zotero 插件浏览器插件Mac 客户端Windows 客户端微信小程序
定价
高级版会员购买积分包购买API积分包
服务
文献检索文档翻译深度研究API 文档MCP 服务
关于我们
关于 Suppr公司介绍联系我们用户协议隐私条款
关注我们

Suppr 超能文献

核心技术专利:CN118964589B侵权必究
粤ICP备2023148730 号-1Suppr @ 2026

文献检索

告别复杂PubMed语法,用中文像聊天一样搜索,搜遍4000万医学文献。AI智能推荐,让科研检索更轻松。

立即免费搜索

文件翻译

保留排版,准确专业,支持PDF/Word/PPT等文件格式,支持 12+语言互译。

免费翻译文档

深度研究

AI帮你快速写综述,25分钟生成高质量综述,智能提取关键信息,辅助科研写作。

立即免费体验

USP9X 介导的 Raptor 去泛素化导致 P301S 小鼠自噬损伤和记忆缺陷。

USP9X-mediated deubiquitination of Raptor contributes to autophagy impairment and memory deficits in P301S mice.

机构信息

Department of Neurology, Union Hospital, Tongji Medical College, Huazhong University of Science and Technology, Wuhan, 430022, China.

Department of Neurology, Wuhan Fourth Hospital, Wuhan, 430033, China.

出版信息

Cell Commun Signal. 2024 Oct 24;22(1):516. doi: 10.1186/s12964-024-01872-8.

DOI:10.1186/s12964-024-01872-8
PMID:39449082
原文链接:https://pmc.ncbi.nlm.nih.gov/articles/PMC11515493/
Abstract

BACKGROUND

Tauopathies, including Alzheimer's disease, are characterized by the pathological aggregation of tau protein, which is strongly linked to dysregulation of the autophagy-lysosomal degradation pathway. However, therapeutic strategies targeting this pathway remain limited.

METHODS

We used both in vitro and in vivo models to investigate the role of Raptor in tau pathology. Knockdown of Raptor was performed to assess its impact on mTORC1 activation, autophagy, and tau accumulation. The relationship between USP9X and Raptor was also examined. Pharmacological inhibition of USP9X with WP1130 was employed to further confirm the involvement of the USP9X-Raptor-mTORC1 axis in tau degradation.

RESULTS

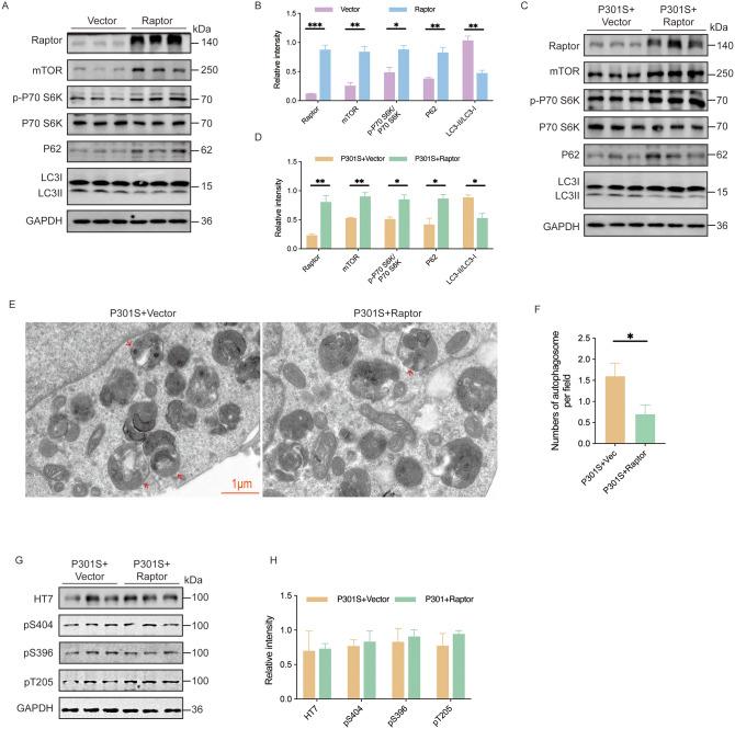
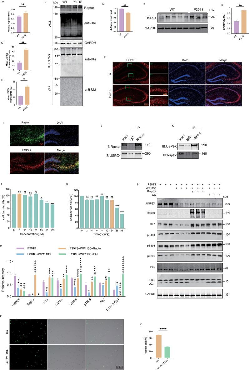
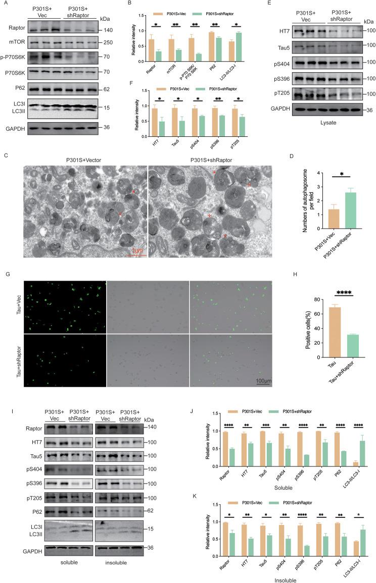
Elevated Raptor levels in the hippocampus of P301S mice led to hyperactivation of mTORC1, impairing autophagy flux. Knockdown of Raptor effectively suppressed mTORC1 activation, promoted autophagy, and mitigated the accumulation of tau and its phosphorylated isoforms. This reduction in tau pathology was accompanied by decreased neuronal loss in the hippocampus, amelioration of synaptic damage, and improvement in cognitive function. The increased Raptor protein observed in the hippocampus of P301S mice was likely attributable to elevated USP9X content, which enhanced Raptor deubiquitination and protected it from proteasomal degradation. Pharmacological inhibition of USP9X with WP1130 in vitro effectively suppressed Raptor, promoted autophagy, and accelerated the degradation of tau and phosphorylated tau.

CONCLUSIONS

Our findings highlight Raptor and USP9X as promising molecular targets for therapeutic intervention in tauopathies. Targeting the USP9X-Raptor-mTORC1 axis may provide a novel strategy for promoting autophagy and mitigating tau pathology in Alzheimer's disease and other tauopathies.

摘要

背景

包括阿尔茨海默病在内的 Tau 病的特征是 Tau 蛋白的病理性聚集,这与自噬-溶酶体降解途径的失调密切相关。然而,针对该途径的治疗策略仍然有限。

方法

我们使用体外和体内模型来研究 Raptor 在 Tau 病理学中的作用。通过敲低 Raptor 来评估其对 mTORC1 激活、自噬和 Tau 积累的影响。还检查了 USP9X 和 Raptor 之间的关系。使用 WP1130 抑制 USP9X 的药理学抑制作用,进一步证实了 USP9X-Raptor-mTORC1 轴在 Tau 降解中的参与。

结果

P301S 小鼠海马中 Raptor 水平升高导致 mTORC1 过度激活,损害自噬流。敲低 Raptor 可有效抑制 mTORC1 激活,促进自噬,并减轻 Tau 和其磷酸化同工型的积累。Tau 病理学的减少伴随着海马中神经元丢失的减少、突触损伤的改善和认知功能的提高。P301S 小鼠海马中观察到的 Raptor 蛋白增加可能归因于 USP9X 含量的升高,这增强了 Raptor 的去泛素化作用,并防止其被蛋白酶体降解。WP1130 在体外对 USP9X 的药理学抑制作用可有效抑制 Raptor,促进自噬,并加速 Tau 和磷酸化 Tau 的降解。

结论

我们的研究结果强调了 Raptor 和 USP9X 作为 Tau 病治疗干预的有前途的分子靶点。靶向 USP9X-Raptor-mTORC1 轴可能为促进自噬和减轻阿尔茨海默病和其他 Tau 病中的 Tau 病理学提供一种新策略。

https://cdn.ncbi.nlm.nih.gov/pmc/blobs/bf2e/11515493/62cfa899b9b5/12964_2024_1872_Fig7_HTML.jpg
https://cdn.ncbi.nlm.nih.gov/pmc/blobs/bf2e/11515493/956b096f15e0/12964_2024_1872_Fig1_HTML.jpg
https://cdn.ncbi.nlm.nih.gov/pmc/blobs/bf2e/11515493/cc80bafd02de/12964_2024_1872_Fig2_HTML.jpg
https://cdn.ncbi.nlm.nih.gov/pmc/blobs/bf2e/11515493/52e34af14e3c/12964_2024_1872_Fig3_HTML.jpg
https://cdn.ncbi.nlm.nih.gov/pmc/blobs/bf2e/11515493/31cb24de3b1d/12964_2024_1872_Fig4_HTML.jpg
https://cdn.ncbi.nlm.nih.gov/pmc/blobs/bf2e/11515493/498e4069982a/12964_2024_1872_Fig5_HTML.jpg
https://cdn.ncbi.nlm.nih.gov/pmc/blobs/bf2e/11515493/923d0df93b05/12964_2024_1872_Fig6_HTML.jpg
https://cdn.ncbi.nlm.nih.gov/pmc/blobs/bf2e/11515493/62cfa899b9b5/12964_2024_1872_Fig7_HTML.jpg
https://cdn.ncbi.nlm.nih.gov/pmc/blobs/bf2e/11515493/956b096f15e0/12964_2024_1872_Fig1_HTML.jpg
https://cdn.ncbi.nlm.nih.gov/pmc/blobs/bf2e/11515493/cc80bafd02de/12964_2024_1872_Fig2_HTML.jpg
https://cdn.ncbi.nlm.nih.gov/pmc/blobs/bf2e/11515493/52e34af14e3c/12964_2024_1872_Fig3_HTML.jpg
https://cdn.ncbi.nlm.nih.gov/pmc/blobs/bf2e/11515493/31cb24de3b1d/12964_2024_1872_Fig4_HTML.jpg
https://cdn.ncbi.nlm.nih.gov/pmc/blobs/bf2e/11515493/498e4069982a/12964_2024_1872_Fig5_HTML.jpg
https://cdn.ncbi.nlm.nih.gov/pmc/blobs/bf2e/11515493/923d0df93b05/12964_2024_1872_Fig6_HTML.jpg
https://cdn.ncbi.nlm.nih.gov/pmc/blobs/bf2e/11515493/62cfa899b9b5/12964_2024_1872_Fig7_HTML.jpg

相似文献

1
USP9X-mediated deubiquitination of Raptor contributes to autophagy impairment and memory deficits in P301S mice.USP9X 介导的 Raptor 去泛素化导致 P301S 小鼠自噬损伤和记忆缺陷。
Cell Commun Signal. 2024 Oct 24;22(1):516. doi: 10.1186/s12964-024-01872-8.
2
USP9X deubiquitylating enzyme maintains RAPTOR protein levels, mTORC1 signalling and proliferation in neural progenitors.USP9X 去泛素化酶维持神经祖细胞中 RAPTOR 蛋白水平、mTORC1 信号转导和增殖。
Sci Rep. 2017 Mar 24;7(1):391. doi: 10.1038/s41598-017-00149-0.
3
Memory deficits correlate with tau and spine pathology in P301S MAPT transgenic mice.记忆缺陷与 P301S MAPT 转基因小鼠中的 tau 和脊柱病理学相关。
Neuropathol Appl Neurobiol. 2014 Dec;40(7):833-43. doi: 10.1111/nan.12160.
4
Locus Coeruleus Ablation Exacerbates Cognitive Deficits, Neuropathology, and Lethality in P301S Tau Transgenic Mice.蓝斑核消融加剧 P301S tau 转基因小鼠的认知缺陷、神经病理学和致死性。
J Neurosci. 2018 Jan 3;38(1):74-92. doi: 10.1523/JNEUROSCI.1483-17.2017. Epub 2017 Nov 13.
5
Ubiquitin-specific peptidase 9, X-linked (USP9X) modulates activity of mammalian target of rapamycin (mTOR).泛素特异性肽酶 9,X 连锁(USP9X)调节哺乳动物雷帕霉素靶蛋白(mTOR)的活性。
J Biol Chem. 2012 Jun 15;287(25):21164-75. doi: 10.1074/jbc.M111.328021. Epub 2012 Apr 27.
6
TFEB Overexpression in the P301S Model of Tauopathy Mitigates Increased PHF1 Levels and Lipofuscin Puncta and Rescues Memory Deficits.tau 病 P301S 模型中 TFEB 的过表达可减轻 PHF1 水平升高和脂褐素斑点,并挽救记忆缺陷。
eNeuro. 2016 May 23;3(2). doi: 10.1523/ENEURO.0042-16.2016. eCollection 2016 Mar-Apr.
7
Selective interference of mTORC1/RAPTOR protects against human disc cellular apoptosis, senescence, and extracellular matrix catabolism with Akt and autophagy induction.选择性干扰 mTORC1/RAPTOR 可通过激活 Akt 和诱导自噬来防止人椎间盘细胞凋亡、衰老和细胞外基质代谢。
Osteoarthritis Cartilage. 2017 Dec;25(12):2134-2146. doi: 10.1016/j.joca.2017.08.019. Epub 2017 Sep 6.
8
Tetrandrine ameliorates cognitive deficits and mitigates tau aggregation in cell and animal models of tauopathies.汉防己甲素可改善神经退行性疾病细胞和动物模型中的认知缺陷,并减轻 Tau 聚集。
J Biomed Sci. 2022 Oct 22;29(1):85. doi: 10.1186/s12929-022-00871-6.
9
AdipoRon mitigates tau pathology and restores mitochondrial dynamics via AMPK-related pathway in a mouse model of Alzheimer's disease.在阿尔茨海默病小鼠模型中,AdipoRon通过与AMPK相关的途径减轻tau蛋白病理并恢复线粒体动力学。
Exp Neurol. 2023 May;363:114355. doi: 10.1016/j.expneurol.2023.114355. Epub 2023 Mar 1.
10
Temsirolimus attenuates tauopathy in vitro and in vivo by targeting tau hyperphosphorylation and autophagic clearance.替西罗莫司通过靶向tau蛋白过度磷酸化和自噬清除在体外和体内减轻tau蛋白病。
Neuropharmacology. 2014 Oct;85:121-30. doi: 10.1016/j.neuropharm.2014.05.032. Epub 2014 May 29.

引用本文的文献

1
Post-translational modifications orchestrate mTOR-driven cell death in cardiovascular disease.翻译后修饰调控心血管疾病中mTOR驱动的细胞死亡。
Front Cardiovasc Med. 2025 Jul 15;12:1620669. doi: 10.3389/fcvm.2025.1620669. eCollection 2025.

本文引用的文献

1
Mechanisms of autophagy-lysosome dysfunction in neurodegenerative diseases.神经退行性疾病中自噬-溶酶体功能障碍的机制。
Nat Rev Mol Cell Biol. 2024 Nov;25(11):926-946. doi: 10.1038/s41580-024-00757-5. Epub 2024 Aug 6.
2
Bacterial ubiquitin ligases hijack the host deubiquitinase OTUB1 to inhibit MTORC1 signaling and promote autophagy.细菌泛素连接酶劫持宿主去泛素化酶 OTUB1 以抑制 MTORC1 信号传导并促进自噬。
Autophagy. 2024 Sep;20(9):1968-1983. doi: 10.1080/15548627.2024.2353492. Epub 2024 May 31.
3
Clearance of β-amyloid mediated by autophagy is enhanced by MTORC1 inhibition but not AMPK activation in APP/PSEN1 astrocytes.
在APP/PSEN1星形胶质细胞中,mTORC1抑制可增强自噬介导的β-淀粉样蛋白清除,而AMPK激活则无此作用。
Glia. 2024 Mar;72(3):588-606. doi: 10.1002/glia.24492. Epub 2023 Nov 27.
4
Soluble TREM2 ameliorates tau phosphorylation and cognitive deficits through activating transgelin-2 in Alzheimer's disease.可溶性TREM2通过激活转胶蛋白-2改善阿尔茨海默病中的tau蛋白磷酸化和认知缺陷。
Nat Commun. 2023 Oct 21;14(1):6670. doi: 10.1038/s41467-023-42505-x.
5
Multifaceted role of mTOR (mammalian target of rapamycin) signaling pathway in human health and disease.mTOR(哺乳动物雷帕霉素靶蛋白)信号通路在人类健康和疾病中的多方面作用。
Signal Transduct Target Ther. 2023 Oct 2;8(1):375. doi: 10.1038/s41392-023-01608-z.
6
Clemastine fumarate attenuates tauopathy and meliorates cognition in hTau mice via autophagy enhancement.富马酸氯马斯汀通过增强自噬来减轻 hTau 小鼠的 tau 病并改善认知。
Int Immunopharmacol. 2023 Oct;123:110649. doi: 10.1016/j.intimp.2023.110649. Epub 2023 Jul 24.
7
TBK1 Knockdown Alleviates Axonal Transport Deficits in Retinal Ganglion Cells Via mTORC1 Activation in a Retinal Damage Mouse Model.TBK1 敲低通过激活 mTORC1 缓解视网膜损伤小鼠模型中视网膜神经节细胞的轴突运输缺陷。
Invest Ophthalmol Vis Sci. 2023 Jul 3;64(10):1. doi: 10.1167/iovs.64.10.1.
8
Tau pathology epigenetically remodels the neuron-glial cross-talk in Alzheimer's disease.tau 病理学通过表观遗传重塑阿尔茨海默病中的神经元-胶质细胞通讯。
Sci Adv. 2023 Apr 21;9(16):eabq7105. doi: 10.1126/sciadv.abq7105.
9
Parallel molecular alteration between Alzheimer's disease and major depressive disorder in the human brain dorsolateral prefrontal cortex: an insight from gene expression and methylation profile analyses.人类大脑背外侧前额叶皮质中阿尔茨海默病与重度抑郁症之间的平行分子改变:来自基因表达和甲基化谱分析的见解
Genes Genet Syst. 2023 Apr 18;97(6):311-324. doi: 10.1266/ggs.22-00022. Epub 2023 Mar 16.
10
2023 Alzheimer's disease facts and figures.2023 年阿尔茨海默病事实和数据。
Alzheimers Dement. 2023 Apr;19(4):1598-1695. doi: 10.1002/alz.13016. Epub 2023 Mar 14.