Suppr超能文献

tau 病理学通过表观遗传重塑阿尔茨海默病中的神经元-胶质细胞通讯。

Tau pathology epigenetically remodels the neuron-glial cross-talk in Alzheimer's disease.

机构信息

Department of Pathophysiology, School of Basic Medicine, Tongji Medical College, Huazhong University of Science and Technology, Wuhan, Hubei 430030, China.

School of Basic Medicine, Hubei University of Arts and Science, Xiangyang, Hubei 441053, China.

出版信息

Sci Adv. 2023 Apr 21;9(16):eabq7105. doi: 10.1126/sciadv.abq7105.

Abstract

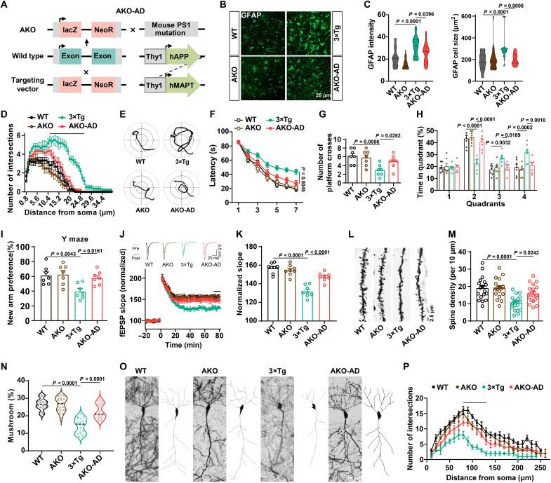
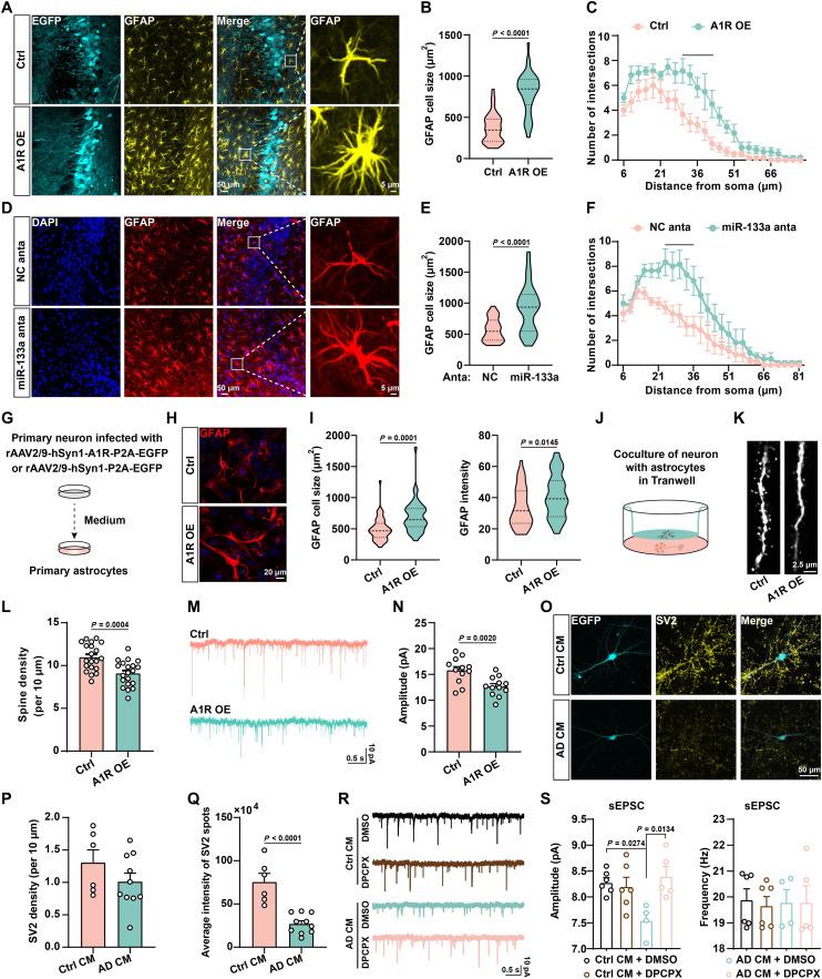
The neuron-glia cross-talk is critical to brain homeostasis and is particularly affected by neurodegenerative diseases. How neurons manipulate the neuron-astrocyte interaction under pathological conditions, such as hyperphosphorylated tau, a pathological hallmark in Alzheimer's disease (AD), remains elusive. In this study, we identified excessively elevated neuronal expression of adenosine receptor 1 (Adora1 or A1R) in 3×Tg mice, MAPT P301L (rTg4510) mice, patients with AD, and patient-derived neurons. The up-regulation of A1R was found to be tau pathology dependent and posttranscriptionally regulated by Mef2c via miR-133a-3p. Rebuilding the miR-133a-3p/A1R signal effectively rescued synaptic and memory impairments in AD mice. Furthermore, neuronal A1R promoted the release of lipocalin 2 (Lcn2) and resulted in astrocyte activation. Last, silencing neuronal Lcn2 in AD mice ameliorated astrocyte activation and restored synaptic plasticity and learning/memory. Our findings reveal that the tau pathology remodels neuron-glial cross-talk and promotes neurodegenerative progression. Approaches targeting A1R and modulating this signaling pathway might be a potential therapeutic strategy for AD.

摘要

神经元-胶质细胞的串扰对于大脑的内稳态至关重要,尤其容易受到神经退行性疾病的影响。在病理条件下,神经元如何操纵神经元-星形胶质细胞的相互作用,例如阿尔茨海默病(AD)中的病理性标志过度磷酸化的 tau,仍然难以捉摸。在这项研究中,我们在 3×Tg 小鼠、MAPT P301L(rTg4510)小鼠、AD 患者和患者来源的神经元中发现了过度升高的神经元腺苷受体 1(Adora1 或 A1R)表达。发现 A1R 的上调依赖于 tau 病理学,并通过 Mef2c 通过 miR-133a-3p 进行转录后调节。重建 miR-133a-3p/A1R 信号可有效挽救 AD 小鼠的突触和记忆损伤。此外,神经元 A1R 促进了脂联素 2(Lcn2)的释放,并导致星形胶质细胞激活。最后,在 AD 小鼠中沉默神经元 Lcn2 可改善星形胶质细胞激活并恢复突触可塑性和学习/记忆。我们的研究结果表明,tau 病理学重塑了神经元-胶质细胞的串扰并促进了神经退行性进展。针对 A1R 并调节这种信号通路的方法可能是 AD 的一种潜在治疗策略。

https://cdn.ncbi.nlm.nih.gov/pmc/blobs/9da8/10121173/464063395878/sciadv.abq7105-f1.jpg

文献AI研究员

20分钟写一篇综述,助力文献阅读效率提升50倍。

立即体验

用中文搜PubMed

大模型驱动的PubMed中文搜索引擎

马上搜索

文档翻译

学术文献翻译模型,支持多种主流文档格式。

立即体验