• 文献检索
  • 文档翻译
  • 深度研究
  • 学术资讯
  • Suppr Zotero 插件Zotero 插件
  • 邀请有礼
  • 套餐&价格
  • 历史记录
应用&插件
Suppr Zotero 插件Zotero 插件浏览器插件Mac 客户端Windows 客户端微信小程序
定价
高级版会员购买积分包购买API积分包
服务
文献检索文档翻译深度研究API 文档MCP 服务
关于我们
关于 Suppr公司介绍联系我们用户协议隐私条款
关注我们

Suppr 超能文献

核心技术专利:CN118964589B侵权必究
粤ICP备2023148730 号-1Suppr @ 2026

文献检索

告别复杂PubMed语法,用中文像聊天一样搜索,搜遍4000万医学文献。AI智能推荐,让科研检索更轻松。

立即免费搜索

文件翻译

保留排版,准确专业,支持PDF/Word/PPT等文件格式,支持 12+语言互译。

免费翻译文档

深度研究

AI帮你快速写综述,25分钟生成高质量综述,智能提取关键信息,辅助科研写作。

立即免费体验

脾血管肉瘤相关全血细胞减少症:一例报告及文献综述

Pancytopenia Related to Splenic Angiosarcoma: A Case Report and Literature Review.

作者信息

Misiak Jakub, Sokołowski Bernard, Skrobisz Norbert, Matczak Mateusz, Braun Marcin

机构信息

Department of Pathology, Chair of Oncology, Medical University of Lodz, 92-213 Lodz, Poland.

出版信息

Hematol Rep. 2024 Oct 18;16(4):648-655. doi: 10.3390/hematolrep16040063.

DOI:10.3390/hematolrep16040063
PMID:39449306
原文链接:https://pmc.ncbi.nlm.nih.gov/articles/PMC11503393/
Abstract

BACKGROUND

Angiosarcomas are highly aggressive malignancies with endothelial differentiation, presenting considerable challenges in oncology, especially when arising in rare locations such as the spleen. These tumors predominantly affect adults and are commonly found in the skin, breast, liver, or soft tissues, with more unusual occurrences in other organs. Angiosarcomas have a high propensity for metastasis, typically spreading to the liver, lungs, lymph nodes, and gastrointestinal tract. Splenic angiosarcoma, with fewer than 300 documented cases, is an especially rare and complex form of this malignancy.

CASE PRESENTATION

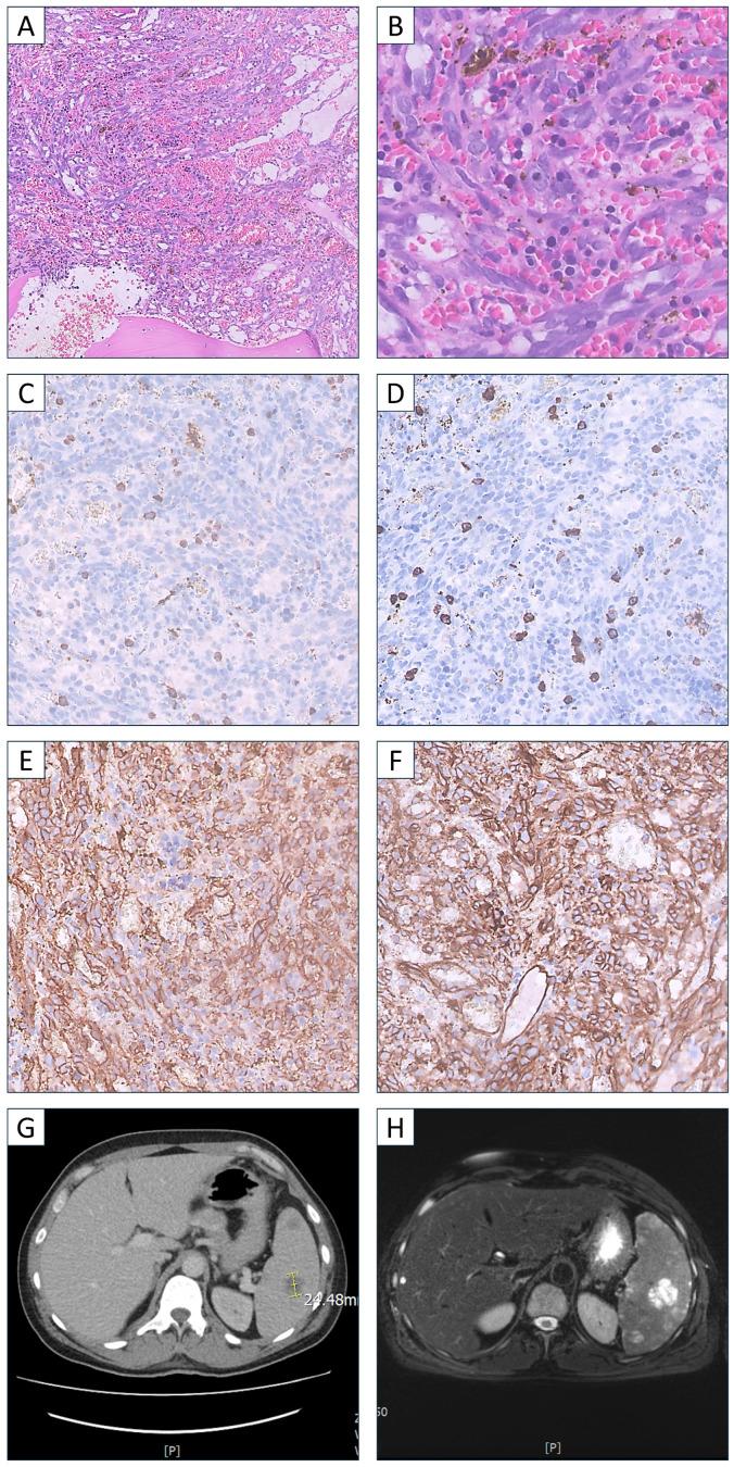
This report details a case of splenic angiosarcoma in a 45-year-old male, where bone marrow metastases were the first clinical presentation, initially mimicking myelodysplastic syndrome (MDS) due to persistent pancytopenia.

CONCLUSIONS

The eventual identification of the splenic origin underscores the diagnostic difficulties and clinical challenges inherent in managing such atypical and rare presentations.

摘要

背景

血管肉瘤是具有内皮分化的高度侵袭性恶性肿瘤,在肿瘤学中带来了相当大的挑战,尤其是当它发生在脾脏等罕见部位时。这些肿瘤主要影响成年人,常见于皮肤、乳腺、肝脏或软组织,在其他器官中的发生则较为罕见。血管肉瘤具有很高的转移倾向,通常会扩散到肝脏、肺、淋巴结和胃肠道。脾脏血管肉瘤记录在案的病例不到300例,是这种恶性肿瘤中一种特别罕见且复杂的形式。

病例报告

本报告详细介绍了一名45岁男性脾脏血管肉瘤的病例,其中骨髓转移是最初的临床表现,由于持续性全血细胞减少,最初类似骨髓增生异常综合征(MDS)。

结论

脾脏起源的最终确定凸显了处理此类非典型和罕见表现时固有的诊断困难和临床挑战。

https://cdn.ncbi.nlm.nih.gov/pmc/blobs/a042/11503393/2cd457317403/hematolrep-16-00063-g002.jpg
https://cdn.ncbi.nlm.nih.gov/pmc/blobs/a042/11503393/e8cd804b381e/hematolrep-16-00063-g001.jpg
https://cdn.ncbi.nlm.nih.gov/pmc/blobs/a042/11503393/2cd457317403/hematolrep-16-00063-g002.jpg
https://cdn.ncbi.nlm.nih.gov/pmc/blobs/a042/11503393/e8cd804b381e/hematolrep-16-00063-g001.jpg
https://cdn.ncbi.nlm.nih.gov/pmc/blobs/a042/11503393/2cd457317403/hematolrep-16-00063-g002.jpg

相似文献

1
Pancytopenia Related to Splenic Angiosarcoma: A Case Report and Literature Review.脾血管肉瘤相关全血细胞减少症:一例报告及文献综述
Hematol Rep. 2024 Oct 18;16(4):648-655. doi: 10.3390/hematolrep16040063.
2
Metastatic splenic angiosarcoma presenting with anemia and bone marrow fibrosis mimicking primary myelofibrosis: A case report and literature review.以贫血和骨髓纤维化表现的转移性脾血管肉瘤酷似原发性骨髓纤维化:一例报告及文献复习
Mol Clin Oncol. 2024 Jan 4;20(2):16. doi: 10.3892/mco.2024.2714. eCollection 2024 Feb.
3
Bone marrow metastasis of angiosarcoma.血管肉瘤的骨髓转移
Pathol Res Pract. 2004;200(7-8):551-5. doi: 10.1016/j.prp.2004.05.003.
4
Primary Splenic Angiosarcoma Presenting as Idiopathic Thrombocytopenic Purpura: A Case Report and Review of the Literature.以特发性血小板减少性紫癜为表现的原发性脾血管肉瘤:一例报告并文献复习
Case Rep Surg. 2016;2016:4173060. doi: 10.1155/2016/4173060. Epub 2016 Aug 29.
5
Splenic Angiosarcoma with Bone Marrow Involvement Initially Diagnosed as Systemic Mastocytosis: A Case Report.
Cureus. 2019 Sep 30;11(9):e5804. doi: 10.7759/cureus.5804.
6
Splenic Angiosarcoma Diagnosed on Bone Marrow Biopsy: Case Report and Literature Review.骨髓活检诊断的脾血管肉瘤:病例报告及文献复习
Radiol Case Rep. 2019 Jan 4;14(3):390-395. doi: 10.1016/j.radcr.2018.12.008. eCollection 2019 Mar.
7
A rare case of primary epithelioid angiosarcoma of the ureter.一例罕见的原发性输尿管上皮样血管肉瘤。
Ann R Coll Surg Engl. 2016 Nov;98(8):e184-e185. doi: 10.1308/rcsann.2016.0230. Epub 2016 Aug 9.
8
Angiosarcoma of the spleen presenting as spontaneous splenic rupture: A rare case report and review of the literature.表现为自发性脾破裂的脾脏血管肉瘤:一例罕见病例报告及文献复习
Int J Surg Case Rep. 2013;4(9):765-7. doi: 10.1016/j.ijscr.2013.06.007. Epub 2013 Jun 24.
9
Oral and salivary gland angiosarcoma: a clinicopathologic study of 29 cases.口腔及涎腺血管肉瘤:29例临床病理研究
Mod Pathol. 2003 Mar;16(3):263-71. doi: 10.1097/01.MP.0000056986.08999.FD.
10
Case Report: A rare case of multicentric angiosarcomas of bone mimicking multiple myeloma on F-FDG PET/CT.病例报告:1例罕见的骨多中心血管肉瘤在F-FDG PET/CT上酷似多发性骨髓瘤。
Front Med (Lausanne). 2023 Nov 28;10:1330341. doi: 10.3389/fmed.2023.1330341. eCollection 2023.

本文引用的文献

1
Angiosarcoma: an unexpected cause of fever of unknown origin.血管肉瘤:不明原因发热的一个意想不到的病因。
Pol Arch Intern Med. 2024 Dec 19;134(12). doi: 10.20452/pamw.16828. Epub 2024 Aug 19.
2
Primary Angiosarcoma of the Spleen: An Aggressive Neoplasm.脾脏原发性血管肉瘤:一种侵袭性肿瘤。
World J Oncol. 2022 Dec;13(6):337-342. doi: 10.14740/wjon1542. Epub 2022 Dec 24.
3
Long-Term Survival due to Chemotherapy including Paclitaxel in a Patient with Metastatic Primary Splenic Angiosarcoma.一名转移性原发性脾血管肉瘤患者经含紫杉醇化疗后的长期生存
Case Rep Gastroenterol. 2021 Oct 11;15(3):910-918. doi: 10.1159/000519211. eCollection 2021 Sep-Dec.
4
Primary Splenic Epithelioid Angiosarcoma with Hepatic Metastases.
J Gastrointest Surg. 2021 Dec;25(12):3268-3269. doi: 10.1007/s11605-021-05064-4. Epub 2021 Jul 9.
5
Primary angiosarcoma of the spleen, a rare indication for splenectomy: a case report.脾脏原发性血管肉瘤,脾切除术的罕见指征:一例病例报告
Int J Surg Case Rep. 2021 May;82:105929. doi: 10.1016/j.ijscr.2021.105929. Epub 2021 Apr 29.
6
Primary Splenic Angiosarcoma with Liver Metastasis Caused by Malign Transformation of Hemangioma: A Case Report and Literature Review.
J Gastrointest Cancer. 2021 Sep;52(3):1086-1089. doi: 10.1007/s12029-020-00550-5. Epub 2020 Nov 10.
7
Unexpected death due to spontaneous splenic rupture: A rare case in splenic angiosarcoma.自发性脾破裂导致的意外死亡:脾血管肉瘤中的罕见病例。
Leg Med (Tokyo). 2020 Nov;47:101785. doi: 10.1016/j.legalmed.2020.101785. Epub 2020 Sep 8.
8
Primary splenic angiosarcoma: a very rare and aggressive neoplasm with a poor prognosis.原发性脾血管肉瘤:一种非常罕见且侵袭性强、预后不良的肿瘤。
Pol Arch Intern Med. 2020 Feb 27;130(2):142-144. doi: 10.20452/pamw.15127. Epub 2020 Jan 9.
9
Splenic Angiosarcoma with Bone Marrow Involvement Initially Diagnosed as Systemic Mastocytosis: A Case Report.
Cureus. 2019 Sep 30;11(9):e5804. doi: 10.7759/cureus.5804.
10
Primary splenic angiosarcoma: a rare entity often associated with rupture and hemoperitoneum.原发性脾血管肉瘤:一种罕见的疾病,常与破裂和腹腔积血相关。
Autops Case Rep. 2019 Jul 12;9(3):e2019100. doi: 10.4322/acr.2019.100. eCollection 2019 Jul-Sep.