Suppr超能文献

基于深度学习的造影剂增强模型在慢性肝病患者中使用低浓度碘造影剂和低辐射肝脏多期CT的图像质量和病变可检测性

Image Quality and Lesion Detectability of Low-Concentration Iodine Contrast and Low Radiation Hepatic Multiphase CT Using a Deep-Learning-Based Contrast-Boosting Model in Chronic Liver Disease Patients.

作者信息

Lim Yewon, Kim Jin Sil, Lee Hyo Jeong, Lee Jeong Kyong, Lee Hye Ah, Park Chulwoo

机构信息

Department of Radiology, College of Medicine, Ewha Womans University, Seoul 07985, Republic of Korea.

Clinical Trial Center, Mokdong Hospital, Ewha Womans University, Seoul 07985, Republic of Korea.

出版信息

Diagnostics (Basel). 2024 Oct 17;14(20):2308. doi: 10.3390/diagnostics14202308.

Abstract

BACKGROUND

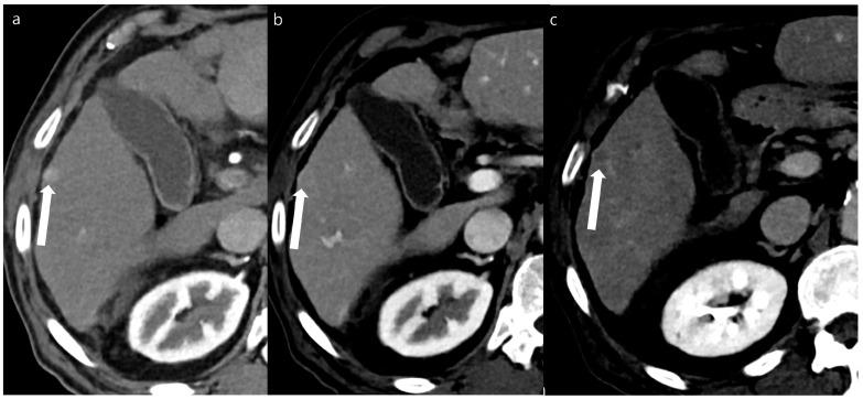
This study investigated the image quality and detectability of double low-dose hepatic multiphase CT (DLDCT, which targeted about 30% reductions of both the radiation and iodine concentration) using a vendor-agnostic deep-learning-based contrast-boosting model (DL-CB) compared to those of standard-dose CT (SDCT) using hybrid iterative reconstruction.

METHODS

The CT images of 73 patients with chronic liver disease who underwent DLDCT between June 2023 and October 2023 and had SDCT were analyzed. Qualitative analysis of the overall image quality, artificial sensation, and liver contour sharpness on the arterial and portal phase, along with the hepatic artery clarity was conducted by two radiologists using a 5-point scale. For quantitative analysis, the image noise, signal-to-noise ratio, and contrast-to-noise ratio were measured. The lesion conspicuity was analyzed using generalized estimating equation analysis. Lesion detection was evaluated using the jackknife free-response receiver operating characteristic figures-of-merit.

RESULTS

Compared with SDCT, a significantly lower effective dose (16.4 ± 7.2 mSv vs. 10.4 ± 6.0 mSv, 36.6% reduction) and iodine amount (350 mg iodine/mL vs. 270 mg iodine/mL, 22.9% reduction) were utilized in DLDCT. The mean overall arterial and portal phase image quality scores of DLDCT were significantly higher than SDCT (arterial phase, 4.77 ± 0.45 vs. 4.93 ± 0.24, AUC 0.572 [95% CI, 0.507-0.638]; portal phase, 4.83 ± 0.38 vs. 4.92 ± 0.26, AUC 0.535 [95% CI, 0.469-0.601]). Furthermore, DLDCT showed significantly superior quantitative results for the lesion contrast-to-noise ratio (7.55 ± 4.55 vs. 3.70 ± 2.64, < 0.001) and lesion detectability (0.97 vs. 0.86, = 0.003).

CONCLUSIONS

In patients with chronic liver disease, DLDCT using DL-CB can provide acceptable image quality without impairing the detection and evaluation of hepatic focal lesions compared to SDCT.

摘要

背景

本研究调查了使用基于深度学习的无厂商依赖的对比增强模型(DL-CB)的双低剂量肝脏多期CT(DLDCT,目标是使辐射和碘浓度均降低约30%)与使用混合迭代重建的标准剂量CT(SDCT)相比的图像质量和可检测性。

方法

分析了2023年6月至2023年10月期间接受DLDCT且有SDCT的73例慢性肝病患者的CT图像。由两名放射科医生使用5分制对动脉期和门脉期的整体图像质量、人工感觉、肝脏轮廓清晰度以及肝动脉清晰度进行定性分析。进行定量分析时,测量图像噪声、信噪比和对比噪声比。使用广义估计方程分析来分析病变的明显度。使用留一法自由响应接收器操作特征品质因数来评估病变检测情况。

结果

与SDCT相比,DLDCT使用的有效剂量(16.4±7.2 mSv对10.4±6.0 mSv,降低36.6%)和碘量(350 mg碘/毫升对270 mg碘/毫升,降低22.9%)显著更低。DLDCT动脉期和门脉期的平均整体图像质量评分显著高于SDCT(动脉期,4.77±0.45对4.93±0.24,AUC 0.572 [95% CI,0.507 - 0.638];门脉期,4.83±0.38对4.92±0.26,AUC 0.535 [95% CI,0.469 - 0.601])。此外,DLDCT在病变对比噪声比(7.55±4.55对3.70±2.64,<0.001)和病变可检测性(0.97对0.86,=0.003)方面显示出显著更优的定量结果。

结论

在慢性肝病患者中,与SDCT相比,使用DL-CB的DLDCT可提供可接受的图像质量,而不会损害肝脏局灶性病变的检测和评估。

https://cdn.ncbi.nlm.nih.gov/pmc/blobs/3ec5/11507254/648015cede65/diagnostics-14-02308-g001.jpg

文献检索

告别复杂PubMed语法,用中文像聊天一样搜索,搜遍4000万医学文献。AI智能推荐,让科研检索更轻松。

立即免费搜索

文件翻译

保留排版,准确专业,支持PDF/Word/PPT等文件格式,支持 12+语言互译。

免费翻译文档

深度研究

AI帮你快速写综述,25分钟生成高质量综述,智能提取关键信息,辅助科研写作。

立即免费体验